Primary Antibodies
Secondary Antibodies
Proteins & Peptides
ELISA Kits
About Us
Contact Us
Sign In/Register
0
ISO 9001:2015 Certified
Live Customer Support
4.5/5 on Trustpilot
100% Quality Guarantee
Home
Biochemicals
BCECF-AM - pH Indicator Dye (A57484)
BCECF-AM - pH Indicator Dye (A57484)
Overview
Specifications
Images
Enlarge Image
Enlarge Image
$745
Product Datasheet
100% Guarantee
Price Match Guarantee
Product Size:
1mg
Quantity:
1
2
3
4
5
6
7
8
9
10
Add To Cart
Request a Quotation
Custom or Bulk Request
Shipping Information
Freight/Packing Charges:
$40
Dispatched from St. Louis, MO.
Lead Time: 10-14 business days.
Specifications
Name
BCECF-AM - pH Indicator Dye
Description
A cell-permeable pH-sensitive fluorescent dye; intracellular esterases cleave AM groups to yield active BCECF for intracellular pH measurement.
Applications
Fluorescence Microscopy, Confocal Microscopy, High Content Imaging, Flow Cytometry, Intracellular Flow Cytometry, Functional Assays, Cell Staining
Molecular Formula
C35H28O15
Molecular Weight
688.59
Disclaimer
This product is for research use only. It is not intended for diagnostic or therapeutic use.
Scientific Validation Data
Validation Data
(2)
Enlarge Image
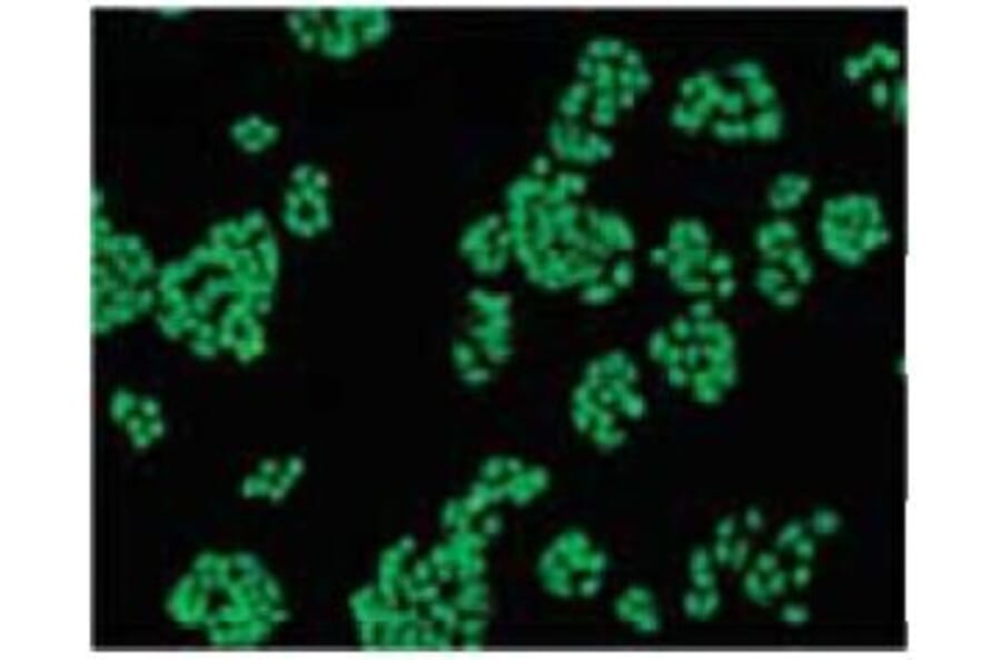
BCECF-AM - pH Indicator Dye (A57484)
Intracellular activation of BCECF-AM. The membrane-permeable AM ester is hydrolysed by cellular esterases to form BCECF, which accumulates in viable cells and emits green fluorescence.
Enlarge Image
BCECF-AM - pH Indicator Dye (A57484)
Fluorescence micrograph of cells stained with acridine orange (AO), showing nucleic acid–associated fluorescence.
Publishing research using BCECF-AM - pH Indicator Dye (A57484)? Please
let us know
so that we can list the citation on this page.
Top