Western Blot - Anti-14-3-3 sigma/SFN Antibody (A84164)
14-3-3 sigma/SFN expression in Human Skin lysate analyzed by western blot. Cells were lysed in RIPA buffer and 35µg protein was run per lane. Primary antibody incubation was performed for 1 hour with Anti-14-3-3 sigma/SFN Antibody (A84164) at 0.03µg/ml and detected by chemiluminescence.
Western Blot - Anti-14-3-3 sigma/SFN Antibody (A84164)
14-3-3 sigma/SFN expression in A431 (A) and U2OS (B) cell lysate analyzed by western blot. Cells were lysed in RIPA buffer and 35µg protein was run per lane. Primary antibody incubation was performed with Anti-14-3-3 sigma/SFN Antibody (A84164) at 0.03µg/ml and detected by chemiluminescence.
Western Blot - Anti-14-3-3 sigma/SFN Antibody (A84164)
14-3-3 sigma/SFN expression in Mouse (A) and Rat (B) Skin lysates analyzed by western blot. Cells were lysed in RIPA buffer and 35µg protein was run per lane. Primary antibody incubation was performed with Anti-14-3-3 sigma/SFN Antibody (A84164) at 0.03µg/ml and detected by chemiluminescence.
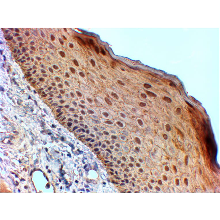
14-3-3 sigma/SFN expression in Human Skin analyzed by immunohistochemistry. Tissue was paraffin-embedded, and antigen retrieval was achieved by steaming in Tris/EDTA buffer, pH 9. Staining was performed with Anti-14-3-3 sigma/SFN Antibody (A84164) at 2µg/ml and revealed with horseradish peroxidase (HRP).
Publishing research using Anti-14-3-3 sigma/SFN Antibody (A84164)? Please let us know so that we can list the citation on this page.