ISO 9001:2015 Certified
Live Customer Support
4.5/5 on Trustpilot
100% Quality Guarantee

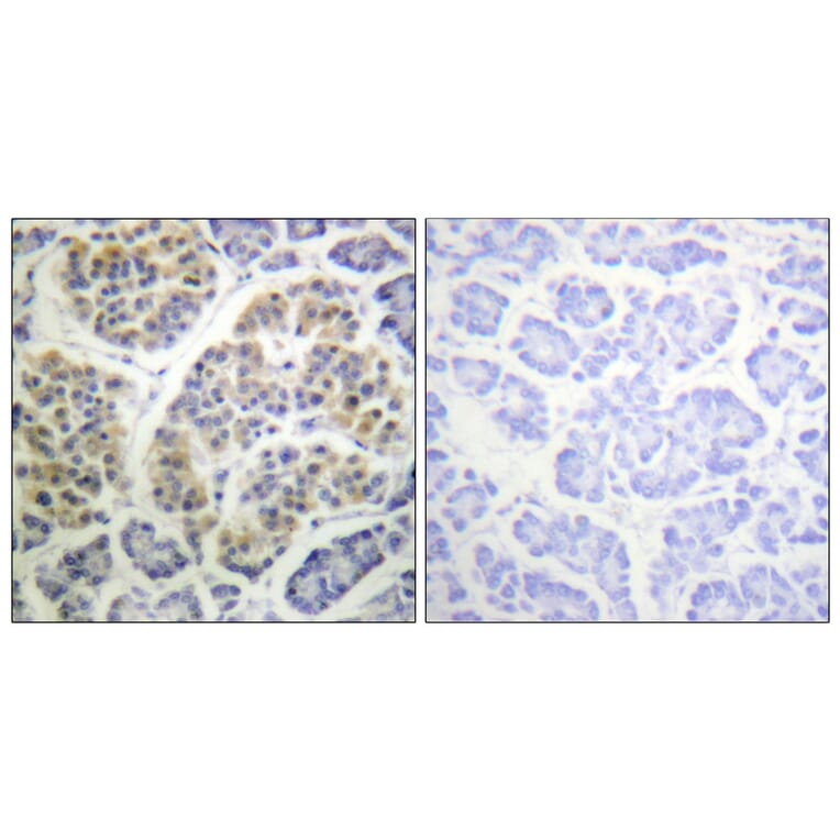
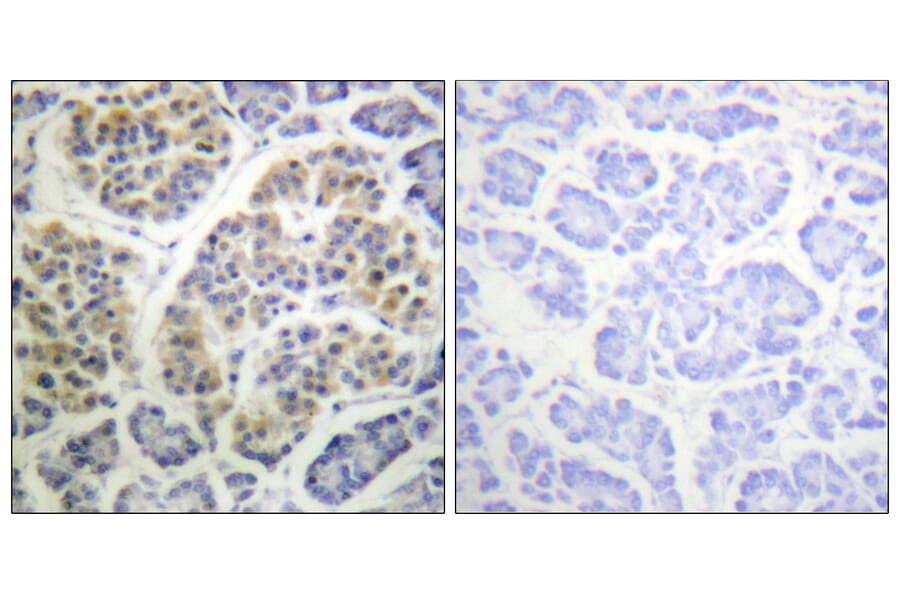
Anti-14-3-3 theta (phospho Ser232) Antibody (A94789)

Rabbit polyclonal antibody to 14-3-3 theta (phospho Ser232) for WB, IHC, IF and ELISA.

Shipping Information

$40
Dispatched from St. Louis, MO.
Lead Time: 6-8 business days.
Name
Anti-14-3-3 theta (phospho Ser232) Antibody
Description
Rabbit polyclonal antibody to 14-3-3 theta (phospho Ser232).
Specificity
This antibody detects endogenous levels of 14-3-3 thet/tau only when phosphorylated at Ser232.
Applications
WB, IHC, IF, ELISA
Dilutions
WB: 1:500~1:1000, ELISA: 1:40000
Reactivity
Human, Mouse, Rat
Cross Reactivity
No reported cross-reactivity.
Immunogen
Synthetic peptide derived from human 14-3-3 thet/tau around the phosphorylation site of Ser232 (amino acids 196-245).
Host
Rabbit
Clonality
Polyclonal
Isotype
IgG
Conjugate

Unconjugated

Purification
Purified from rabbit serum by antigen affinity chromatography using the immunizing phospho peptide.
Molecular Weight
27kDa
Product Form
Liquid
Formulation
Supplied in Phosphate Buffered Saline (without Mg2+ and Ca2+), pH 7.4, with 150mM NaCl, 0.02% Sodium Azide, and 50% Glycerol.
Storage
Shipped at 4°C. Upon delivery aliquot and store at -20°C. Avoid freeze / thaw cycles.
Synonyms
14-3-3 protein T-cell, 14-3-3 protein tau, 14-3-3 protein theta, 14-3-3 theta, Protein HS1, YWHAQ
Disclaimer
This product is for research use only. It is not intended for diagnostic or therapeutic use.
Publishing research using Anti-14-3-3 theta (phospho Ser232) Antibody (A94789)? Please let us know so that we can list the citation on this page.

Alternative products to Anti-14-3-3 theta (phospho Ser232) Antibody (A94789)

Proteins predicted to interact with 14-3-3 tau

Predicted protein interactions based upon String database. Revelancy score correlates with probability of interaction.
99.7% Relevancy Score
99.3% Relevancy Score
99.2% Relevancy Score
99% Relevancy Score
98.8% Relevancy Score
98.5% Relevancy Score
98.4% Relevancy Score
98.4% Relevancy Score
98.2% Relevancy Score