ISO 9001:2015 Certified
Live Customer Support
4.5/5 on Trustpilot
100% Quality Guarantee

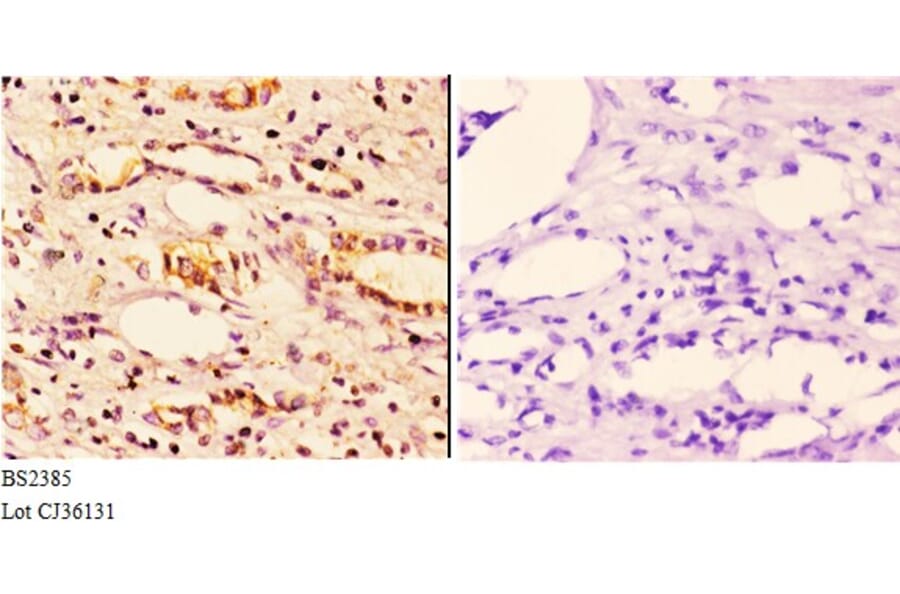
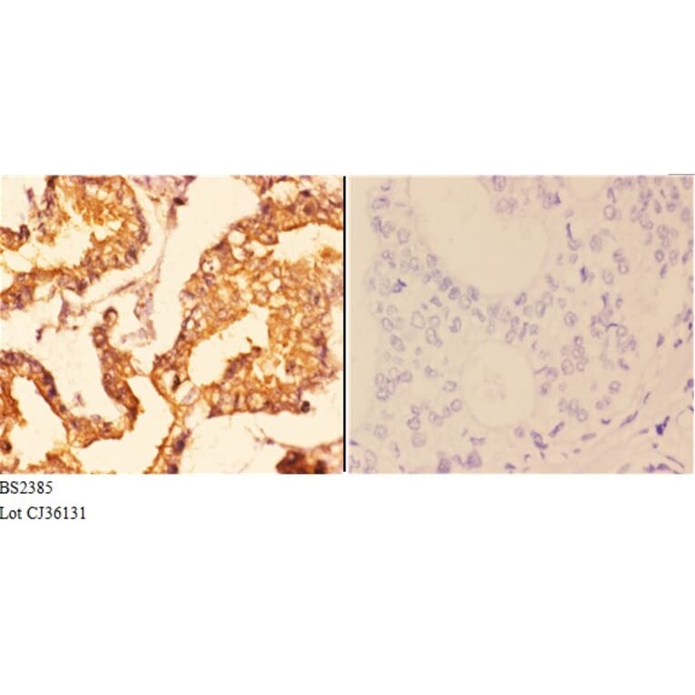
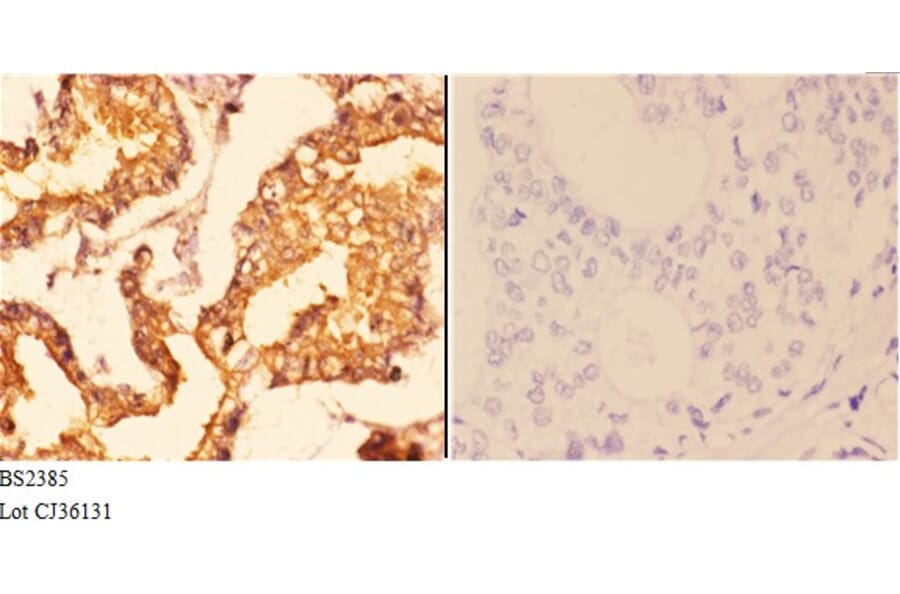
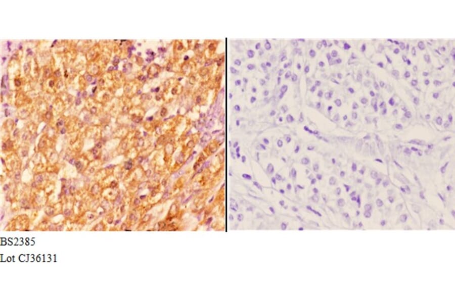
Anti-14-3-3 ζ (A79) Antibody (A26231)

This product is discontinued

Anti-14-3-3 ζ (A79) Antibody (A26231) has been discontinued and is no longer available.

View all available products.

Name
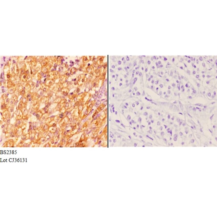
Anti-14-3-3 ζ (A79) Antibody
Description
Rabbit polyclonal antibody to 14-3-3 ζ (A79)
Specificity
14-3-3 ζ (A79) pAb detects endogenous levels of 14-3-3 protein zeta/delta.
Applications
WB, IHC
Reactivity
Human, Mouse, Rat
Immunogen
Synthetic peptide, corresponding to amino acids 49-100 of Human 14-3-3 ζ.
Host
Rabbit
Clonality
Polyclonal
Conjugate

Unconjugated

Molecular Weight
~ 28 kDa
Purity
The antibody was affinity-purified from rabbit antiserum by affinity-chromatography using epitope-specific immunogen and the purity is > 95% (by SDS-PAGE).
Product Form
1 mg/ml in Phosphate buffered saline (PBS) with 0.05% sodium azide, approx. pH 7.2.
Disclaimer
This product is for research use only. It is not intended for diagnostic or therapeutic use.