ISO 9001:2015 Certified
Live Customer Support
4.5/5 on Trustpilot
100% Quality Guarantee

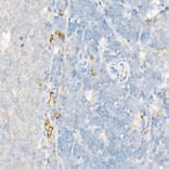
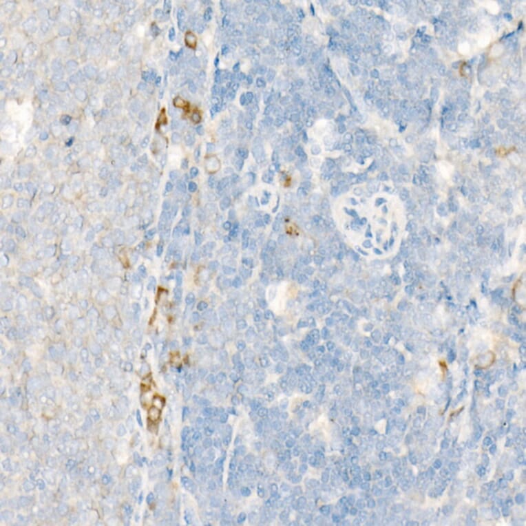
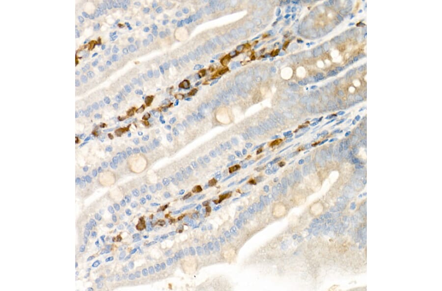
Anti-15 Lipoxygenase 1 Antibody (A15400)

Rabbit polyclonal antibody to 15 Lipoxygenase 1 for IHC and ICC/IF.

Shipping Information

$40
Dispatched from St. Louis, MO.
Lead Time: 7-10 business days.
Name
Anti-15 Lipoxygenase 1 Antibody
Description
Rabbit polyclonal antibody to 15 Lipoxygenase 1.
Applications
IHC, ICC/IF
Dilutions
IHC: 1:50-1:200, ICC/IF: 1:50-1:200
Reactivity
Human, Mouse, Rat
Immunogen
Recombinant fusion protein containing a sequence corresponding to amino acids 1-230 of human ALOX15 (NP_001131.3).
Sequence
MGLYRIRVSTGASLYAGSNNQVQLWLVGQHGEAALGKRLWPARGKETELKVEVPEYLGPLLFVKLRKRHLLKDDAWFCNWISVQGPGAGDEVRFPCYRWVEGNGVLSLPEGTGRTVGEDPQGLFQKHREEELEERRKLYRWGNWKDGLILNMAGAKLYDLPVDERFLEDKRVDFEVSLAKGLADLAIKDSLNVLTCWKDLDDFNRIFWCGQSKLAERVRDSWKEDALFGY
Host
Rabbit
Clonality
Polyclonal
Isotype
IgG
Conjugate

Unconjugated

Purification
Affinity purification.
Concentration
Lot Specific
Product Form
Liquid
Formulation
Supplied in Phosphate Buffered Saline, pH 7.3, with 50% Glycerol and 0.05% Proclin 300.
Storage
Shipped at 4°C. Upon delivery aliquot and store at -20°C. Avoid freeze/thaw cycles.
Synonyms
12-LOX, 12/15-lipoxygenase, 15-LOX, 15-LOX-1, ALOX15, Arachidonate 12-lipoxygenase, leukocyte-type, Arachidonate 15-lipoxygenase, Arachidonate omega-6 lipoxygenase, EC:1.13.11.12, EC:1.13.11.31, EC:1.13.11.33, Hepoxilin A3 synthase Alox15, Linoleate 13S-lipoxygenase, LOG15, Polyunsaturated fatty acid lipoxygenase ALOX15
Disclaimer
This product is for research use only. It is not intended for diagnostic or therapeutic use.
Publishing research using Anti-15 Lipoxygenase 1 Antibody (A15400)? Please let us know so that we can list the citation on this page.

Alternative products to Anti-15 Lipoxygenase 1 Antibody (A15400)

Proteins predicted to interact with 15 Lipoxygenase 1

Predicted protein interactions based upon String database. Revelancy score correlates with probability of interaction.
98.9% Relevancy Score
96.3% Relevancy Score
96% Relevancy Score
93.1% Relevancy Score
93% Relevancy Score
92.9% Relevancy Score
92.9% Relevancy Score
92.1% Relevancy Score
92% Relevancy Score