ISO 9001:2015 Certified
Live Customer Support
4.5/5 on Trustpilot
100% Quality Guarantee

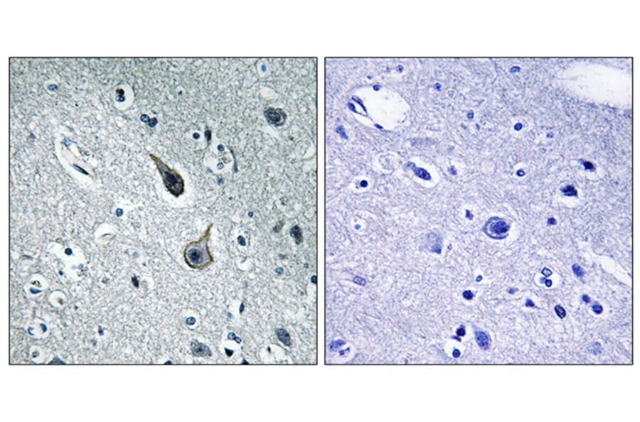
Anti-5-HT-2A Antibody (A98936)

Rabbit polyclonal antibody to 5-HT-2A for IHC, IF and ELISA.

Shipping Information

$40
Dispatched from St. Louis, MO.
Lead Time: 6-8 business days.
Name
Anti-5-HT-2A Antibody
Description
Rabbit polyclonal antibody to 5-HT-2A.
Applications
IHC, IF, ELISA
Dilutions
IHC: 1:50-1:100, IF: 1:100-1:500, ELISA: 1:5000
Reactivity
Human
Immunogen
Synthetic peptide derived from human 5-HT-2A (amino acids 422-471).
Host
Rabbit
Clonality
Polyclonal
Isotype
IgG
Conjugate

Unconjugated

Purification
Purified from rabbit serum by antigen affinity chromatography using the immunizing peptide.
Molecular Weight
52kDa
Product Form
Liquid
Formulation
Supplied in Phosphate Buffered Saline (without Mg2+ and Ca2+), pH 7.4, with 150mM NaCl, 0.02% Sodium Azide, and 50% Glycerol.
Storage
Shipped at 4°C. Upon delivery aliquot and store at -20°C. Avoid freeze / thaw cycles.
Synonyms
5-HT-2, 5-HT-2A, 5-hydroxytryptamine receptor 2A, HTR2, HTR2A, Serotonin receptor 2A
Disclaimer
This product is for research use only. It is not intended for diagnostic or therapeutic use.
Publishing research using Anti-5-HT-2A Antibody (A98936)? Please let us know so that we can list the citation on this page.

Alternative products to Anti-5-HT-2A Antibody (A98936)

Proteins predicted to interact with 5HT2A Receptor

Predicted protein interactions based upon String database. Revelancy score correlates with probability of interaction.
99.8% Relevancy Score
99.1% Relevancy Score
99% Relevancy Score
96.2% Relevancy Score
96.1% Relevancy Score
93.7% Relevancy Score
93.2% Relevancy Score
93.2% Relevancy Score
92% Relevancy Score