Western Blot - Anti-5 Lipoxygenase/5-LO Antibody [ARC1926] (A14230)
Western blot analysis of extracts of Raji cells, using Anti-5 Lipoxygenase/5-LO Antibody [ARC1926] (A14230) at 1:1,000 dilution. The secondary antibody was Goat Anti-Rabbit IgG H&L Antibody (HRP) at 1:10,000 dilution. Lysates/proteins were present at 25µg per lane. The blocking buffer used was 3% non-fat dry milk in TBST. Detection was with a ECL Basic Kit. Exposure time: 10s.
Western Blot - Anti-5 Lipoxygenase/5-LO Antibody [ARC1926] (A14230)
Western blot analysis of extracts of Rat lung, using Anti-5 Lipoxygenase/5-LO Antibody [ARC1926] (A14230) at 1:1,000 dilution. The secondary antibody was Goat Anti-Rabbit IgG H&L Antibody (HRP) at 1:10,000 dilution. Lysates/proteins were present at 25µg per lane. The blocking buffer used was 3% non-fat dry milk in TBST. Detection was with a ECL Basic Kit. Exposure time: 3min.
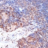
Immunohistochemistry analysis of paraffin-embedded human appendix tissue using Anti-5 Lipoxygenase/5-LO Antibody [ARC1926] (A14230) at a dilution of 1:100 (40x lens). Perform microwave antigen retrieval with 10 mM Tris/EDTA buffer pH 9.0 before commencing with IHC staining protocol.
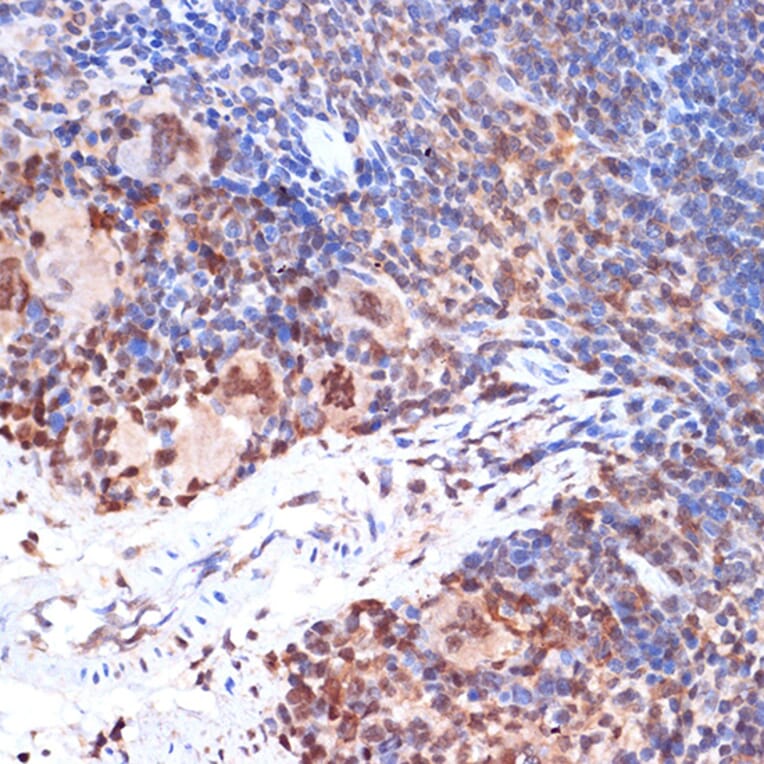
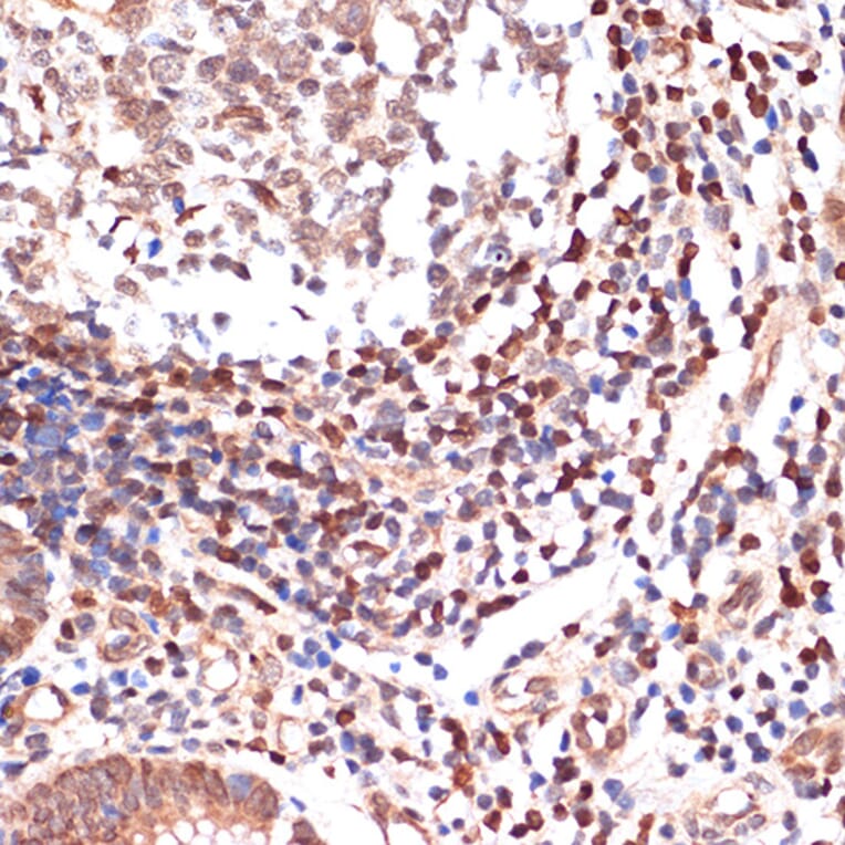
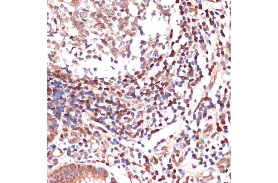
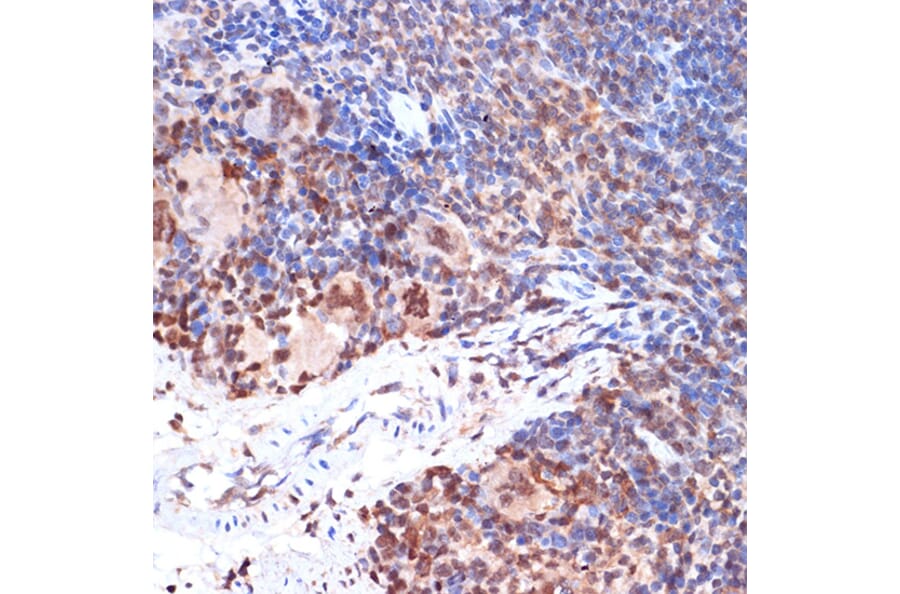
Immunohistochemistry analysis of paraffin-embedded mouse spleen using Anti-5 Lipoxygenase/5-LO Antibody [ARC1926] (A14230) at a dilution of 1:100 (40x lens). Perform microwave antigen retrieval with 10 mM Tris/EDTA buffer pH 9.0 before commencing with IHC staining protocol.
Immunofluorescence analysis of U-2 OS cells using Anti-5 Lipoxygenase/5-LO Antibody [ARC1926] (A14230) at a dilution of 1:100 (40x lens). DAPI was used to stain the cell nuclei (blue).