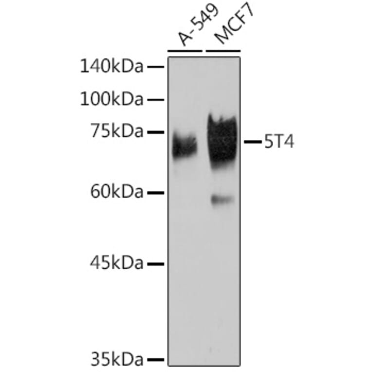
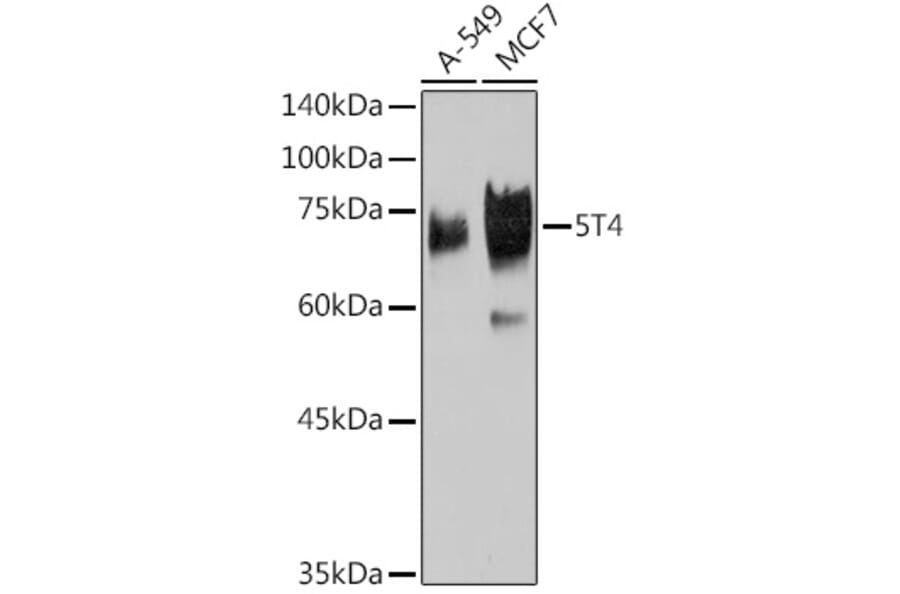
Western Blot - Anti-5T4 Antibody [ARC2167] (A306744)
Western blot analysis of extracts of various cell lines, using Anti-5T4 Antibody (A306744) at 1:1,000 dilution. The secondary antibody was Goat Anti-Rabbit IgG H&L Antibody (HRP) at 1:10,000 dilution. Lysates/proteins were present at 25µg per lane. The blocking buffer used was 3% non-fat dry milk in TBST. Detection was with a ECL Basic Kit. Exposure time: 90s.
Publishing research using Anti-5T4 Antibody [ARC2167] (A306744)? Please let us know so that we can list the citation on this page.
Alternative products to Anti-5T4 Antibody [ARC2167] (A306744)
Recombinant mouse monoclonal antibody to 5T4 for use as a research grade Naptumomab biosimilar for ELISA, Flow Cytometry, Functional Studies and in vivo Research.
Recombinant human monoclonal antibody to 5T4 for use as a research grade SYD 1875 biosimilar for ELISA, Flow Cytometry, Functional Studies and in vivo Research.
Recombinant human monoclonal antibody to 5T4 for use as a research grade MEDI0641 biosimilar for ELISA, Flow Cytometry, Functional Studies and in vivo Research.
Recombinant human monoclonal antibody to 5T4 for use as a research grade 825c biosimilar for ELISA, Flow Cytometry, Functional Studies and in vivo Research.
Recombinant human monoclonal antibody to 5T4 for use as a research grade Anti-Human 5T4 [PF-06263507 for ELISA, Flow Cytometry, Functional Studies and in vivo Research.
Recombinant human monoclonal antibody to 5T4 for use as a research grade Anti-Human 5T4 [ASN004] bio for ELISA, Flow Cytometry, Functional Studies and in vivo Research.
Recombinant mouse monoclonal antibody to 5T4 for use as a research grade Naptumomab biosimilar for ELISA, Flow Cytometry, Functional Studies and in vivo Research.
Recombinant human monoclonal antibody to 5T4 for use as a research grade SYD 1875 biosimilar for ELISA, Flow Cytometry, Functional Studies and in vivo Research.
Recombinant human monoclonal antibody to 5T4 for use as a research grade MEDI0641 biosimilar for ELISA, Flow Cytometry, Functional Studies and in vivo Research.
Recombinant human monoclonal antibody to 5T4 for use as a research grade 825c biosimilar for ELISA, Flow Cytometry, Functional Studies and in vivo Research.
Recombinant human monoclonal antibody to 5T4 for use as a research grade Anti-Human 5T4 [PF-06263507 for ELISA, Flow Cytometry, Functional Studies and in vivo Research.
Recombinant human monoclonal antibody to 5T4 for use as a research grade Anti-Human 5T4 [ASN004] bio for ELISA, Flow Cytometry, Functional Studies and in vivo Research.