Western Blot - Anti-68kDa Neurofilament/NF-L Antibody [ARC50056] (A308799)
Western blot analysis of extracts of various cell lines, using Anti-68kDa Neurofilament/NF-L Antibody [ARC50056] (A308799) at 1:1,000 dilution. The secondary antibody was Goat Anti-Rabbit IgG H&L Antibody (HRP) at 1:10,000 dilution. Lysates/proteins were present at 25µg per lane. The blocking buffer used was 3% non-fat dry milk in TBST. Detection was with a ECL Basic Kit. Exposure time: 1s.
Western Blot - Anti-68kDa Neurofilament/NF-L Antibody [ARC50056] (A308799)
Western blot analysis of extracts of SH-SY5Y cells, using Anti-68kDa Neurofilament/NF-L Antibody [ARC50056] (A308799) at 1:1,000 dilution. The secondary antibody was Goat Anti-Rabbit IgG H&L Antibody (HRP) at 1:10,000 dilution. Lysates/proteins were present at 25µg per lane. The blocking buffer used was 3% non-fat dry milk in TBST. Detection was with a ECL Basic Kit. Exposure time: 1s.
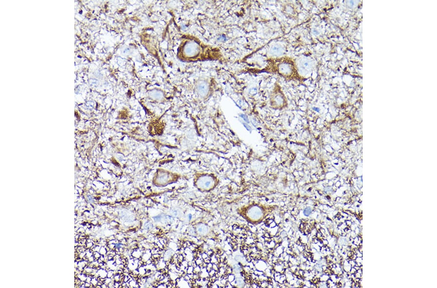
Immunohistochemistry analysis of paraffin-embedded mouse brain using Anti-68kDa Neurofilament/NF-L Antibody [ARC50056] (A308799) at a dilution of 1:100(40x lens). Perform high pressure antigen retrieval with 10 mM citrate buffer pH 6.0 before commencing with IHC staining protocol.
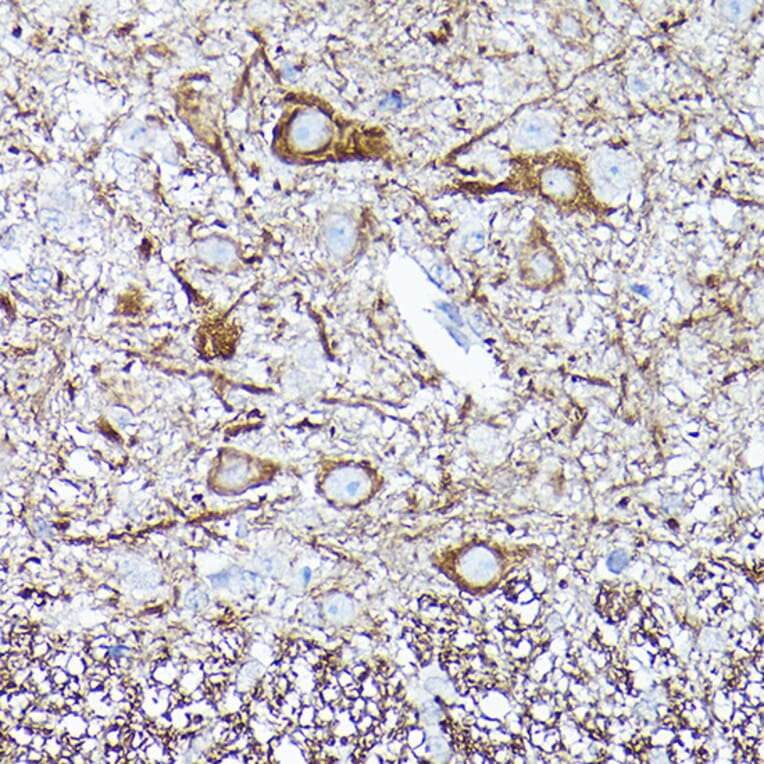
Immunohistochemistry analysis of paraffin-embedded rat brain using Anti-68kDa Neurofilament/NF-L Antibody [ARC50056] (A308799) at a dilution of 1:100(40x lens). Perform high pressure antigen retrieval with 10 mM citrate buffer pH 6.0 before commencing with IHC staining protocol.
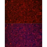
Immunofluorescence analysis of rat brain using Anti-68kDa Neurofilament/NF-L Antibody [ARC50056] (A308799) at a dilution of 1:100 (40x lens). DAPI was used to stain the cell nuclei (blue).
Immunofluorescence analysis of mouse brain using Anti-68kDa Neurofilament/NF-L Antibody [ARC50056] (A308799) at a dilution of 1:100 (40x lens). DAPI was used to stain the cell nuclei (blue).
Western Blot - Anti-68kDa Neurofilament/NF-L Antibody [ARC50056] (A308799)
Immunoprecipitation analysis of 300µg extracts of SH-SY5Y cells using 3µg of Anti-68kDa Neurofilament/NF-L Antibody [ARC50056] (A308799). This Western blot was performed on the immunoprecipitate using Anti-68kDa Neurofilament/NF-L Antibody [ARC50056] (A308799) at a dilution of1:10000.
Publishing research using Anti-68kDa Neurofilament/NF-L Antibody [ARC50056] (A308799)? Please let us know so that we can list the citation on this page.