Primary Antibodies
Secondary Antibodies
Proteins & Peptides
ELISA Kits
About Us
Contact Us
Sign In/Register
0
ISO 9001:2015 Certified
Live Customer Support
4.5/5 on Trustpilot
100% Quality Guarantee
Home
Primary Antibodies
Serotonin N-acetyltransferase Antibodies
Anti-AANAT Antibody (A45966)
Anti-AANAT Antibody (A45966)
Overview
Specifications
Images
Enlarge Image
Enlarge Image
$430
Product Datasheet
Rabbit polyclonal antibody to AANAT for IHC.
100% Guarantee
Price Match Guarantee
Product Size:
100µl
Quantity:
1
2
3
4
5
6
7
8
9
10
Add To Cart
Request a Quotation
Custom or Bulk Request
Shipping Information
Freight/Packing Charges:
$40
Dispatched from St. Louis, MO.
Lead Time: 6-9 business days.
Specifications
Name
Anti-AANAT Antibody
Description
Rabbit polyclonal antibody to AANAT
Specificity
The antibody detects endogenous levels of total AANAT protein.
Applications
IHC
Reactivity
Human
Immunogen
Fusion protein corresponding to a region derived from internal residues of human aralkylamine N-acetyltransferase
Host
Rabbit
Clonality
Polyclonal
Conjugate
Unconjugated
Purification
Antigen affinity purification.
Concentration
2.4 mg/mL
Formulation
Supplied in PBS, pH 7.3, containing 0.05% sodium azide and 50% glycerol.
Storage
Shipped at 4°C. Upon delivery aliquot and store at -20°C. Avoid freeze/thaw cycles.
Synonyms
AA-NAT, Aralkylamine N-acetyltransferase, Serotonin acetylase, SNAT
Suitable Secondaries
Goat Anti-Rabbit IgG H&L Antibody (AP) (A294874)
Goat Anti-Rabbit IgG H&L Antibody (Biotin) (A294795)
Goat Anti-Rabbit IgG H&L Antibody (FITC) (A294887)
Goat Anti-Rabbit IgG H&L Antibody (HRP) (A294888)
See all Anti-Rabbit IgG Secondaries →
Disclaimer
This product is for research use only. It is not intended for diagnostic or therapeutic use.
Scientific Validation Data
Validation Data
(2)
Enlarge Image
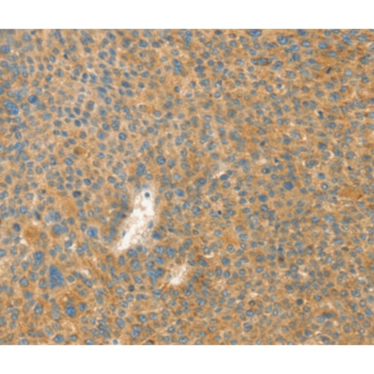
Immunohistochemistry - Anti-AANAT Antibody (A45966)
Immunohistochemical analysis of paraffin-embedded Human liver cancer tissue using #36248 at dilution 1/40.
Enlarge Image
Immunohistochemistry - Anti-AANAT Antibody (A45966)
Immunohistochemical analysis of paraffin-embedded Human brain tissue using #36248 at dilution 1/40.
Publishing research using Anti-AANAT Antibody (A45966)? Please
let us know
so that we can list the citation on this page.
Alternative products to Anti-AANAT Antibody (A45966)
(3)
A28722
Anti-AANAT Antibody
Rabbit polyclonal antibody to AANAT for WB and IHC.
A80908
Anti-AANAT Antibody
Rabbit polyclonal antibody to AANAT for WB.
(3)
A28722
Anti-AANAT Antibody
Rabbit polyclonal antibody to AANAT for WB and IHC.
A80908
Anti-AANAT Antibody
Rabbit polyclonal antibody to AANAT for WB.
Proteins predicted to interact with Serotonin N-acetyltransferase
Predicted protein interactions based upon String database. Revelancy score correlates with probability of interaction.
ASMT Antibodies
99.4% Relevancy Score
14-3-3 zeta Antibodies
97.2% Relevancy Score
DOPA Decarboxylase Antibodies
96.7% Relevancy Score
MAOA Antibodies
94.3% Relevancy Score
MAOB Antibodies
93.7% Relevancy Score
IDO2 Antibodies
93.3% Relevancy Score
IDO Antibodies
93.1% Relevancy Score
INMT Antibodies
91.2% Relevancy Score
Melanopsin Antibodies
85.9% Relevancy Score
Top