ISO 9001:2015 Certified
Live Customer Support
4.5/5 on Trustpilot
100% Quality Guarantee

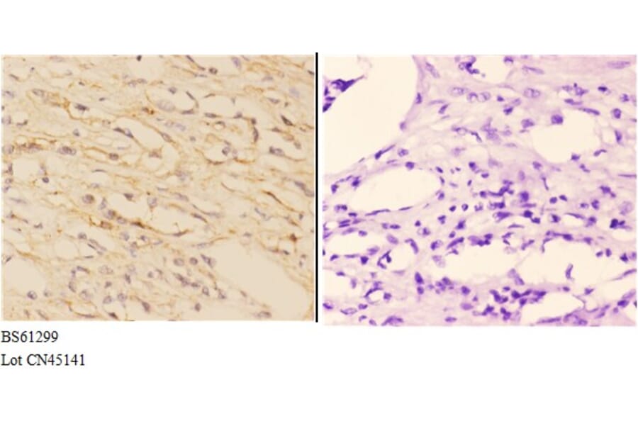
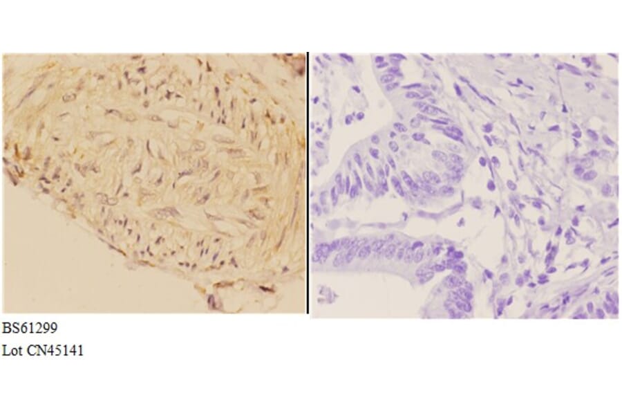
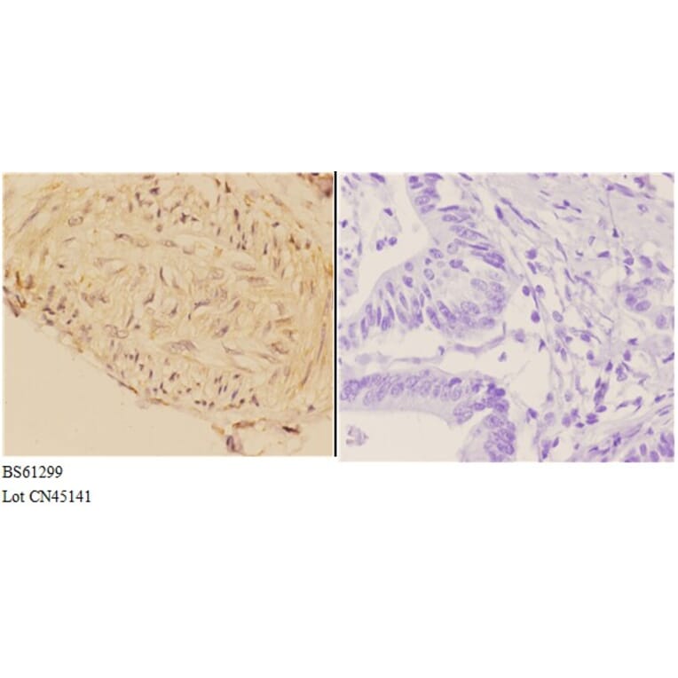
Anti-ABCA7 Antibody (A29235)

$390

Rabbit polyclonal antibody to ABCA7 for WB and IHC.

Shipping Information

$40
Dispatched from St. Louis, MO.
Lead Time: 7-10 business days.
Name
Anti-ABCA7 Antibody
Description
Rabbit polyclonal antibody to ABCA7
Specificity
ABCA7 pAb detects endogenous levels of ABCA7 protein.
Applications
WB, IHC
Reactivity
Human, Mouse, Rat
Immunogen
A synthetic peptide corresponding to residues in Human ABCA7 .
Host
Rabbit
Clonality
Polyclonal
Conjugate

Unconjugated

Molecular Weight
~ 234 kD
Purity
The antibody was affinity-purified from rabbit antiserum by affinity-chromatography using epitope-specific immunogen and the purity is > 95% (by SDS-PAGE).
Product Form
1 mg/ml in Phosphate buffered saline (PBS) with 0.05% sodium azide, approx. pH 7.3.
Synonyms
ABCA-SSN, ATP-binding cassette sub-family A member 7, Autoantigen SS-N, Macrophage ABC transporter, Phospholipid-transporting ATPase ABCA7
Disclaimer
This product is for research use only. It is not intended for diagnostic or therapeutic use.
Publishing research using Anti-ABCA7 Antibody (A29235)? Please let us know so that we can list the citation on this page.

Alternative products to Anti-ABCA7 Antibody (A29235)

Proteins predicted to interact with ABCA7

Predicted protein interactions based upon String database. Revelancy score correlates with probability of interaction.
99.2% Relevancy Score
88.3% Relevancy Score
87.2% Relevancy Score
84.1% Relevancy Score
82.4% Relevancy Score
81.1% Relevancy Score
81% Relevancy Score
80.3% Relevancy Score
78% Relevancy Score