Primary Antibodies
Secondary Antibodies
Proteins & Peptides
ELISA Kits
About Us
Contact Us
Sign In/Register
0
ISO 9001:2015 Certified
Live Customer Support
4.5/5 on Trustpilot
100% Quality Guarantee
Home
Primary Antibodies
ABCC10 Antibodies
Anti-ABCC10 Antibody (A45508)
Anti-ABCC10 Antibody (A45508)
Overview
Specifications
Images
Enlarge Image
Enlarge Image
$405
Rabbit polyclonal antibody to ABCC10 for IHC.
100% Guarantee
Price Match Guarantee
Product Size:
100µl
Quantity:
1
2
3
4
5
6
7
8
9
10
Add To Cart
Request a Quotation
Custom or Bulk Request
Shipping Information
Freight/Packing Charges:
$40
Dispatched from St. Louis, MO.
Lead Time: 6-9 business days.
Specifications
Name
Anti-ABCC10 Antibody
Description
Rabbit polyclonal antibody to ABCC10
Specificity
The antibody detects endogenous levels of total ABCC10 protein.
Applications
IHC
Reactivity
Human
Immunogen
Synthetic peptide corresponding to a region derived from internal residues of human ATP-binding cassette, sub-family C (CFTR / MRP), member 10
Host
Rabbit
Clonality
Polyclonal
Conjugate
Unconjugated
Purification
Antigen affinity purification.
Concentration
1.1 mg/ml
Formulation
Rabbit IgG in pH7.3 PBS, 0.05% NaN3, 50% Glycerol.
Storage
Store at -20˚C
Synonyms
ATP-binding cassette sub-family C member 10, MRP7, Multidrug resistance-associated protein 7, SIMRP7
Suitable Secondaries
Goat Anti-Rabbit IgG H&L Antibody (AP) (A294874)
Goat Anti-Rabbit IgG H&L Antibody (Biotin) (A294795)
Goat Anti-Rabbit IgG H&L Antibody (FITC) (A294887)
Goat Anti-Rabbit IgG H&L Antibody (HRP) (A294888)
See all Anti-Rabbit IgG Secondaries →
Disclaimer
This product is for research use only. It is not intended for diagnostic or therapeutic use.
Scientific Validation Data
Validation Data
(2)
Enlarge Image
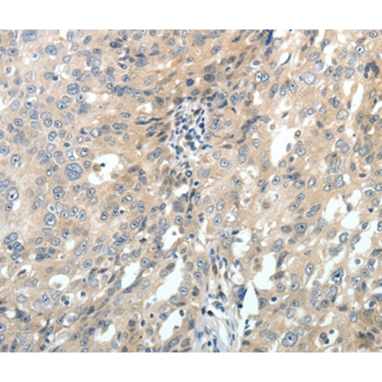
Immunohistochemistry - Anti-ABCC10 Antibody (A45508)
Immunohistochemical analysis of paraffin-embedded Human breast cancer tissue using #37071 at dilution 1/30.
Enlarge Image
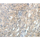
Immunohistochemistry - Anti-ABCC10 Antibody (A45508)
Immunohistochemical analysis of paraffin-embedded Human ovarian cancer tissue using #37071 at dilution 1/30.
Publishing research using Anti-ABCC10 Antibody (A45508)? Please
let us know
so that we can list the citation on this page.
Alternative products to Anti-ABCC10 Antibody (A45508)
(2)
A26732
Anti-MRP7 (E865) Antibody
Rabbit polyclonal antibody to MRP7 (E865) for WB.
(2)
A40692
Anti-MRP7 Antibody
Rabbit polyclonal antibody to MRP7 for WB and ELISA.
(3)
A101370
Anti-MRP7 Antibody
Rabbit polyclonal antibody to MRP7 for WB and ELISA.
A101371
Anti-MRP7 Antibody
Rabbit polyclonal antibody to MRP7 for WB and ELISA.
(2)
A26732
Anti-MRP7 (E865) Antibody
Rabbit polyclonal antibody to MRP7 (E865) for WB.
(2)
A40692
Anti-MRP7 Antibody
Rabbit polyclonal antibody to MRP7 for WB and ELISA.
(3)
A101370
Anti-MRP7 Antibody
Rabbit polyclonal antibody to MRP7 for WB and ELISA.
A101371
Anti-MRP7 Antibody
Rabbit polyclonal antibody to MRP7 for WB and ELISA.
Proteins predicted to interact with ABCC10
Predicted protein interactions based upon String database. Revelancy score correlates with probability of interaction.
MRPS7 Antibodies
59.1% Relevancy Score
P Glycoprotein Antibodies
56.8% Relevancy Score
ABCB5 Antibodies
56.1% Relevancy Score
E2F1 Antibodies
52.9% Relevancy Score
ABCG4 Antibodies
52.9% Relevancy Score
ABCF1 Antibodies
50.6% Relevancy Score
ABCF2 Antibodies
49.9% Relevancy Score
ABCE1 Antibodies
49.9% Relevancy Score
ABCF3 Antibodies
47.4% Relevancy Score
Top