ISO 9001:2015 Certified
Live Customer Support
4.5/5 on Trustpilot
100% Quality Guarantee

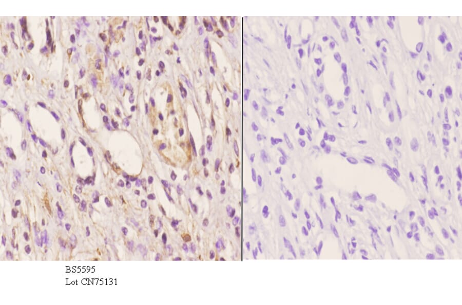
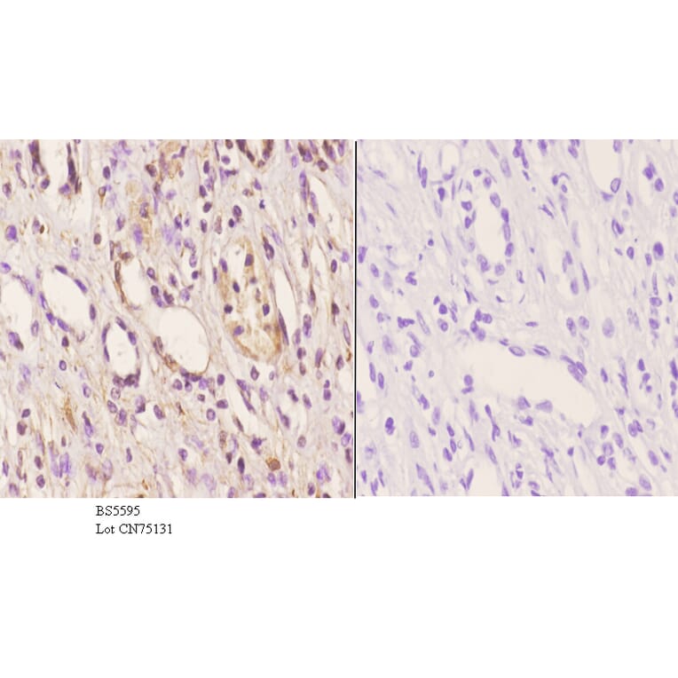
Anti-ABCD4 Antibody (A27866)

$390

Rabbit polyclonal antibody to ABCD4 for WB and IHC.

Shipping Information

$40
Dispatched from St. Louis, MO.
Lead Time: 7-10 business days.
Name
Anti-ABCD4 Antibody
Description
Rabbit polyclonal antibody to ABCD4
Specificity
ABCD4 pAb detects endogenous levels of ABCD4 protein.
Applications
WB, IHC
Reactivity
Human, Mouse, Rat
Immunogen
Synthetic peptide, corresponding to amino acids 157-202 of Human ABCD4.
Host
Rabbit
Clonality
Polyclonal
Conjugate

Unconjugated

Molecular Weight
~ 73 kDa
Purity
The antibody was affinity-purified from rabbit antiserum by affinity-chromatography using epitope-specific immunogen and the purity is > 95% (by SDS-PAGE).
Product Form
1 mg/ml in Phosphate buffered saline (PBS) with 0.05% sodium azide, approx. pH 7.2.
Synonyms
ATP-binding cassette sub-family D member 4, Lysosomal cobalamin transporter ABCD4, P70R, Peroxisomal membrane protein 1-like, Peroxisomal membrane protein 69, PMP69, PMP70-related protein, PXMP1-L, PXMP1L
Disclaimer
This product is for research use only. It is not intended for diagnostic or therapeutic use.
Publishing research using Anti-ABCD4 Antibody (A27866)? Please let us know so that we can list the citation on this page.

Alternative products to Anti-ABCD4 Antibody (A27866)

Proteins predicted to interact with ABCD4

Predicted protein interactions based upon String database. Revelancy score correlates with probability of interaction.
99% Relevancy Score
95.2% Relevancy Score
94.3% Relevancy Score
94.1% Relevancy Score
94% Relevancy Score
85.4% Relevancy Score
82.9% Relevancy Score
80.2% Relevancy Score
75.1% Relevancy Score