ISO 9001:2015 Certified
Live Customer Support
4.5/5 on Trustpilot
100% Quality Guarantee

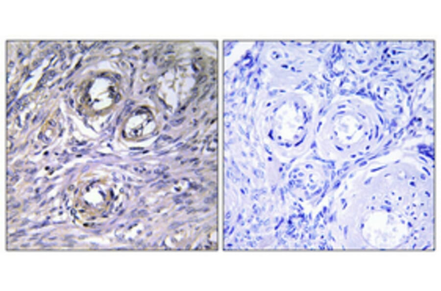
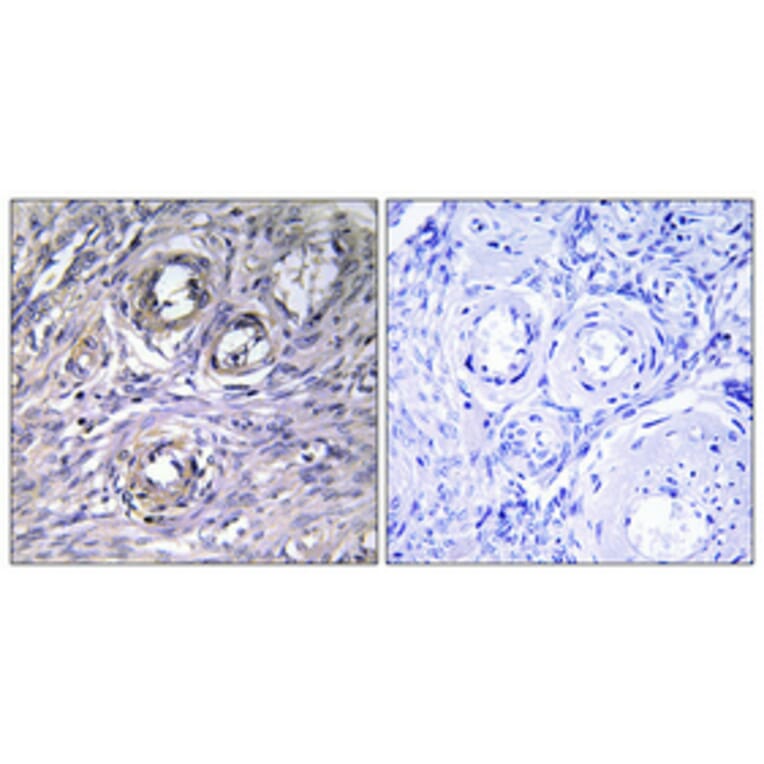
Anti-ABHD12 Antibody (A96977)

Rabbit polyclonal antibody to ABHD12 for WB, IHC, IF and ELISA.

Shipping Information

$40
Dispatched from St. Louis, MO.
Lead Time: 6-8 business days.
Name
Anti-ABHD12 Antibody
Description
Rabbit polyclonal antibody to ABHD12.
Applications
WB, IHC, IF, ELISA
Dilutions
WB: 1:500~1:1000, ELISA: 1:40000
Reactivity
Human, Mouse, Rat
Cross Reactivity
No reported cross-reactivity.
Immunogen
Synthetic peptide derived from human ABHD12 (amino acids 231-280).
Host
Rabbit
Clonality
Polyclonal
Isotype
IgG
Conjugate

Unconjugated

Purification
Purified from rabbit serum by antigen affinity chromatography using the immunizing peptide.
Molecular Weight
45kDa
Product Form
Liquid
Formulation
Supplied in Phosphate Buffered Saline (without Mg2+ and Ca2+), pH 7.4, with 150mM NaCl, 0.02% Sodium Azide, and 50% Glycerol.
Storage
Shipped at 4°C. Upon delivery aliquot and store at -20°C. Avoid freeze / thaw cycles.
Synonyms
2-arachidonoylglycerol hydrolase ABHD12, Abhydrolase domain-containing protein 12, C20orf22, hABHD12, Lysophosphatidylserine lipase ABHD12, Monoacylglycerol lipase ABHD12, Oxidized phosphatidylserine lipase ABHD12
Disclaimer
This product is for research use only. It is not intended for diagnostic or therapeutic use.
Publishing research using Anti-ABHD12 Antibody (A96977)? Please let us know so that we can list the citation on this page.

Alternative products to Anti-ABHD12 Antibody (A96977)

Proteins predicted to interact with ABHD12

Predicted protein interactions based upon String database. Revelancy score correlates with probability of interaction.
94.9% Relevancy Score
83.1% Relevancy Score
79.1% Relevancy Score
75.4% Relevancy Score
67.6% Relevancy Score
58.1% Relevancy Score
57.8% Relevancy Score