Primary Antibodies
Secondary Antibodies
Proteins & Peptides
ELISA Kits
About Us
Contact Us
Sign In/Register
0
ISO 9001:2015 Certified
Live Customer Support
4.5/5 on Trustpilot
100% Quality Guarantee
Home
Primary Antibodies
ABL2 Antibodies
Anti-ABL2 Antibody (A38791)
Anti-ABL2 Antibody (A38791)
Overview
Specifications
Images
Enlarge Image
Enlarge Image
$430
Product Datasheet
Rabbit polyclonal antibody to ABL2 for WB and IHC.
100% Guarantee
Price Match Guarantee
Product Size:
100µl
Quantity:
1
2
3
4
5
6
7
8
9
10
Add To Cart
Request a Quotation
Custom or Bulk Request
Shipping Information
Freight/Packing Charges:
$40
Dispatched from St. Louis, MO.
Lead Time: 6-9 business days.
Specifications
Name
Anti-ABL2 Antibody
Description
Rabbit polyclonal antibody to ABL2
Specificity
The antibody detects endogenous levels of total ABL2 protein.
Applications
WB
,
IHC
Reactivity
Human, Mouse
Immunogen
Synthetic peptide corresponding to residues near the N terminal of human V-abl Abelson murine leukemia viral oncogene homolog 2
Host
Rabbit
Clonality
Polyclonal
Conjugate
Unconjugated
Purification
Antigen affinity purification.
Concentration
0.8 mg/mL
Formulation
Supplied in PBS, pH 7.3, containing 0.05% sodium azide and 50% glycerol.
Storage
Shipped at 4°C. Upon delivery aliquot and store at -20°C. Avoid freeze/thaw cycles.
Synonyms
Abelson murine leukemia viral oncogene homolog 2, Abelson tyrosine-protein kinase 2, Abelson-related gene protein, ABLL, ARG, Tyrosine-protein kinase ABL2, Tyrosine-protein kinase ARG
Suitable Secondaries
Goat Anti-Rabbit IgG H&L Antibody (AP) (A294874)
Goat Anti-Rabbit IgG H&L Antibody (Biotin) (A294795)
Goat Anti-Rabbit IgG H&L Antibody (FITC) (A294887)
Goat Anti-Rabbit IgG H&L Antibody (HRP) (A294888)
See all Anti-Rabbit IgG Secondaries →
Disclaimer
This product is for research use only. It is not intended for diagnostic or therapeutic use.
Scientific Validation Data
Validation Data
(2)
Enlarge Image
Anti-ABL2 Antibody (A38791)
Gel: 8% SDS-PAGE Lysates (from left to right): Hela and Jurkat cell Amount of lysate: 40ug per lane Primary antibody: 1/400 dilution Secondary antibody dilution: 1/8000 Exposure time: 2 minutes
Enlarge Image
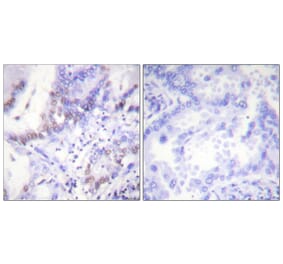
Immunohistochemistry - Anti-ABL2 Antibody (A38791)
Immunohistochemical analysis of paraffin-embedded Human liver cancer tissue using #37077 at dilution 1/25.
Publishing research using Anti-ABL2 Antibody (A38791)? Please
let us know
so that we can list the citation on this page.
Alternative products to Anti-ABL2 Antibody (A38791)
(4)
A98304
Anti-ABL2 Antibody
Rabbit polyclonal antibody to ABL2 for WB, IHC, IF and ELISA.
(4)
A97674
Anti-c-Abl Antibody
Rabbit polyclonal antibody to c-Abl for WB, IHC, IF and ELISA.
(3)
A94893
Anti-Abl (phospho Tyr393 + Tyr412) Antibody
Rabbit polyclonal antibody to Abl (phospho Tyr393 + Tyr412) for WB, IHC, IF and ELISA.
(2)
A94320
Anti-Abl (phospho Tyr412) Antibody
Rabbit polyclonal antibody to Abl (phospho Tyr412) for WB, IHC, IF and ELISA.
A306400
Anti-ABL2 Antibody [ARC2200]
Rabbit monoclonal [ARC2200] antibody to ABL2 for WB.
(4)
A98304
Anti-ABL2 Antibody
Rabbit polyclonal antibody to ABL2 for WB, IHC, IF and ELISA.
(4)
A97674
Anti-c-Abl Antibody
Rabbit polyclonal antibody to c-Abl for WB, IHC, IF and ELISA.
(3)
A94893
Anti-Abl (phospho Tyr393 + Tyr412) Antibody
Rabbit polyclonal antibody to Abl (phospho Tyr393 + Tyr412) for WB, IHC, IF and ELISA.
(2)
A94320
Anti-Abl (phospho Tyr412) Antibody
Rabbit polyclonal antibody to Abl (phospho Tyr412) for WB, IHC, IF and ELISA.
A306400
Anti-ABL2 Antibody [ARC2200]
Rabbit monoclonal [ARC2200] antibody to ABL2 for WB.
See all ABL2 Antibodies
Proteins predicted to interact with ABL2
Predicted protein interactions based upon String database. Revelancy score correlates with probability of interaction.
Crk Antibodies
99% Relevancy Score
RIN1 Antibodies
98.4% Relevancy Score
c-Abl Antibodies
98.1% Relevancy Score
CrkL Antibodies
96.2% Relevancy Score
RAC3 Antibodies
92.6% Relevancy Score
RAC2 Antibodies
92.6% Relevancy Score
ETV6 Antibodies
86.3% Relevancy Score
EGFR Antibodies
78.2% Relevancy Score
Cortactin Antibodies
77% Relevancy Score
Top