ISO 9001:2015 Certified
Live Customer Support
4.5/5 on Trustpilot
100% Quality Guarantee

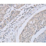
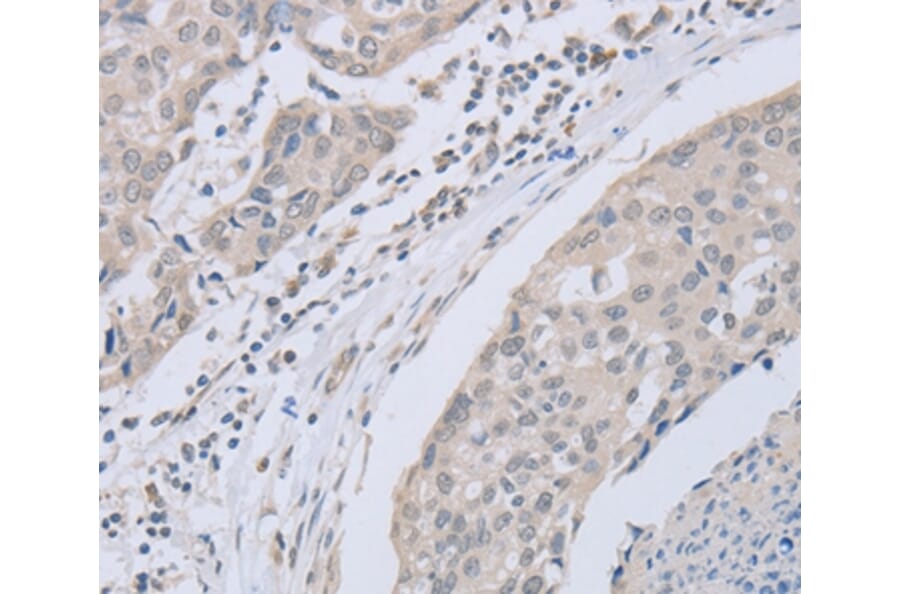
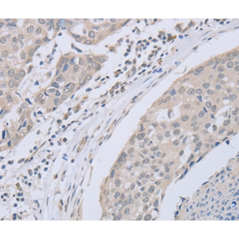
Anti-ABLIM1 Antibody (A37180)

Rabbit polyclonal antibody to ABLIM1 for WB and IHC.

Shipping Information

$40
Dispatched from St. Louis, MO.
Lead Time: 6-9 business days.
Name
Anti-ABLIM1 Antibody
Description
Rabbit polyclonal antibody to ABLIM1
Specificity
The antibody detects endogenous levels of total ABLIM1 protein.
Applications
WB, IHC
Reactivity
Human, Mouse
Immunogen
Fusion protein corresponding to a region derived from internal residues of human Actin binding LIM protein 1
Host
Rabbit
Clonality
Polyclonal
Conjugate

Unconjugated

Purification
Antigen affinity purification.
Concentration
1.3 mg/mL
Formulation
Supplied in PBS, pH 7.3, containing 0.05% sodium azide and 50% glycerol.
Storage
Shipped at 4°C. Upon delivery aliquot and store at -20°C. Avoid freeze/thaw cycles.
Synonyms
ABLIM, abLIM-1, Actin-binding double zinc finger protein, Actin-binding LIM protein 1, Actin-binding LIM protein family member 1, KIAA0059, LIMAB1, Limatin
Disclaimer
This product is for research use only. It is not intended for diagnostic or therapeutic use.
Publishing research using Anti-ABLIM1 Antibody (A37180)? Please let us know so that we can list the citation on this page.

Proteins predicted to interact with ABLIM1

Predicted protein interactions based upon String database. Revelancy score correlates with probability of interaction.
93.5% Relevancy Score
92.3% Relevancy Score
91.7% Relevancy Score
90.6% Relevancy Score
68% Relevancy Score
67.5% Relevancy Score
63.4% Relevancy Score
61.7% Relevancy Score
60.3% Relevancy Score