ISO 9001:2015 Certified
Live Customer Support
4.5/5 on Trustpilot
100% Quality Guarantee

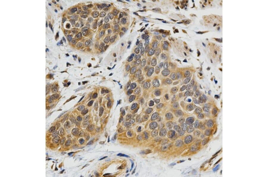
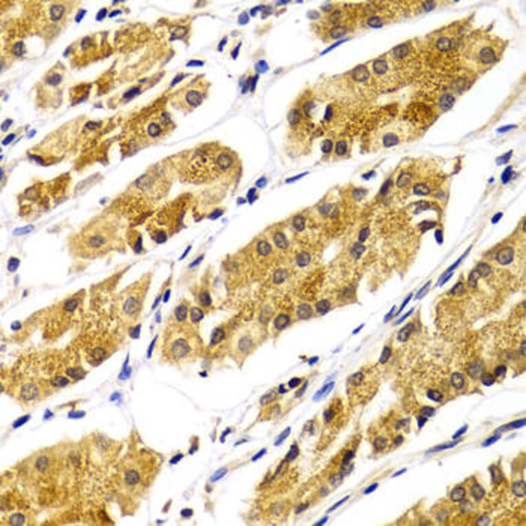
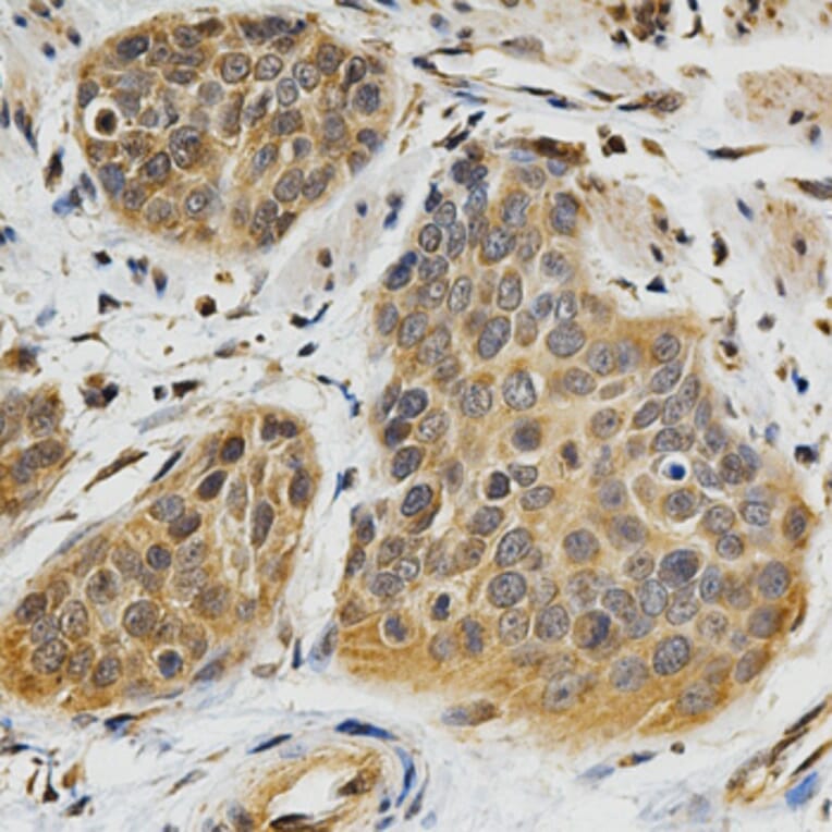
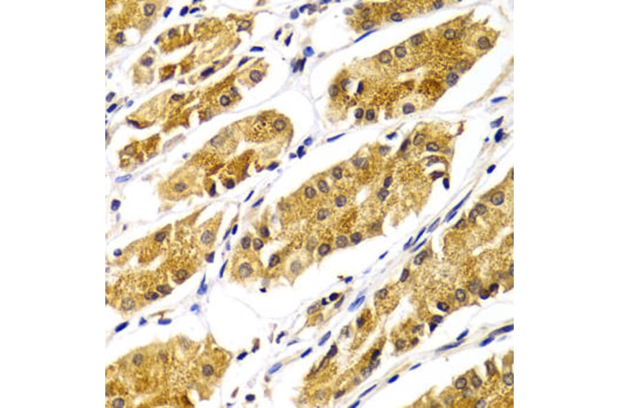
Anti-ABO Antibody (A35655)

Rabbit polyclonal antibody to ABO for WB and IHC.

Shipping Information

$40
Dispatched from St. Louis, MO.
Lead Time: 6-9 business days.
Name
Anti-ABO Antibody
Description
Rabbit polyclonal antibody to ABO
Specificity
The antibody detects endogenous level of total ABO protein.
Applications
WB, IHC
Reactivity
Human, Mouse, Rat
Immunogen
Recombinant protein of human ABO.
Host
Rabbit
Clonality
Polyclonal
Conjugate

Unconjugated

Purification
Antibodies were purified by affinity purification using immunogen.
Concentration
1.0 mg/mL
Formulation
Supplied in phosphate-buffered saline (without Mg²? and Ca²?), pH 7.4, containing 150 mM NaCl, 0.02% sodium azide, and 50% glycerol.
Storage
Shipped at 4°C. Upon delivery aliquot and store at -20°C. Avoid freeze/thaw cycles.
Synonyms
A transferase, EC:2.4.1.37, EC:2.4.1.40, Fucosylglycoprotein 3-alpha-galactosyltransferase, Fucosylglycoprotein alpha-N-acetylgalactosaminyltransferase, Glycoprotein-fucosylgalactoside alpha-galactosyltransferase, Glycoprotein-fucosylgalactoside alpha-N-acetylgalactosaminyltransferase, Histo-blood group A transferase, Histo-blood group ABO system transferase
Disclaimer
This product is for research use only. It is not intended for diagnostic or therapeutic use.
Publishing research using Anti-ABO Antibody (A35655)? Please let us know so that we can list the citation on this page.

Alternative products to Anti-ABO Antibody (A35655)

Proteins predicted to interact with Blood Group H2 Antigen

Predicted protein interactions based upon String database. Revelancy score correlates with probability of interaction.
92.7% Relevancy Score
91.2% Relevancy Score
90.3% Relevancy Score
90.2% Relevancy Score
90.2% Relevancy Score
60.3% Relevancy Score
45.9% Relevancy Score
34.3% Relevancy Score