Primary Antibodies
Secondary Antibodies
Proteins & Peptides
ELISA Kits
About Us
Contact Us
Sign In/Register
0
ISO 9001:2015 Certified
Live Customer Support
4.5/5 on Trustpilot
100% Quality Guarantee
Home
Primary Antibodies
ACADS Antibodies
Anti-ACADS Antibody (A37850)
Anti-ACADS Antibody (A37850)
Overview
Specifications
Images
Enlarge Image
Enlarge Image
$430
Product Datasheet
Rabbit polyclonal antibody to ACADS for WB and IHC.
100% Guarantee
Price Match Guarantee
Product Size:
100µl
Quantity:
1
2
3
4
5
6
7
8
9
10
Add To Cart
Request a Quotation
Custom or Bulk Request
Shipping Information
Freight/Packing Charges:
$40
Dispatched from St. Louis, MO.
Lead Time: 6-9 business days.
Specifications
Name
Anti-ACADS Antibody
Description
Rabbit polyclonal antibody to ACADS
Specificity
The antibody detects endogenous levels of total ACADS protein.
Applications
WB
,
IHC
Reactivity
Human
Immunogen
Fusion protein corresponding to residues near the C terminal of human Acyl-CoA dehydrogenase, C-2 to C-3 short chain
Host
Rabbit
Clonality
Polyclonal
Conjugate
Unconjugated
Purification
Antigen affinity purification.
Concentration
0.8 mg/mL
Formulation
Supplied in PBS, pH 7.3, containing 0.05% sodium azide and 50% glycerol.
Storage
Shipped at 4°C. Upon delivery aliquot and store at -20°C. Avoid freeze/thaw cycles.
Synonyms
Butyryl-CoA dehydrogenase, SCAD, Short-chain specific acyl-CoA dehydrogenase, mitochondrial
Suitable Secondaries
Goat Anti-Rabbit IgG H&L Antibody (AP) (A294874)
Goat Anti-Rabbit IgG H&L Antibody (Biotin) (A294795)
Goat Anti-Rabbit IgG H&L Antibody (FITC) (A294887)
Goat Anti-Rabbit IgG H&L Antibody (HRP) (A294888)
See all Anti-Rabbit IgG Secondaries →
Disclaimer
This product is for research use only. It is not intended for diagnostic or therapeutic use.
Scientific Validation Data
Validation Data
(2)
Enlarge Image
Anti-ACADS Antibody (A37850)
Gel: 10% SDS-PAGE Lysates (from left to right): Rat kidney tissue Amount of lysate: 40ug per lane Primary antibody: 1/350 dilution Secondary antibody dilution: 1/8000 Exposure time: 90 seconds
Enlarge Image
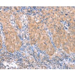
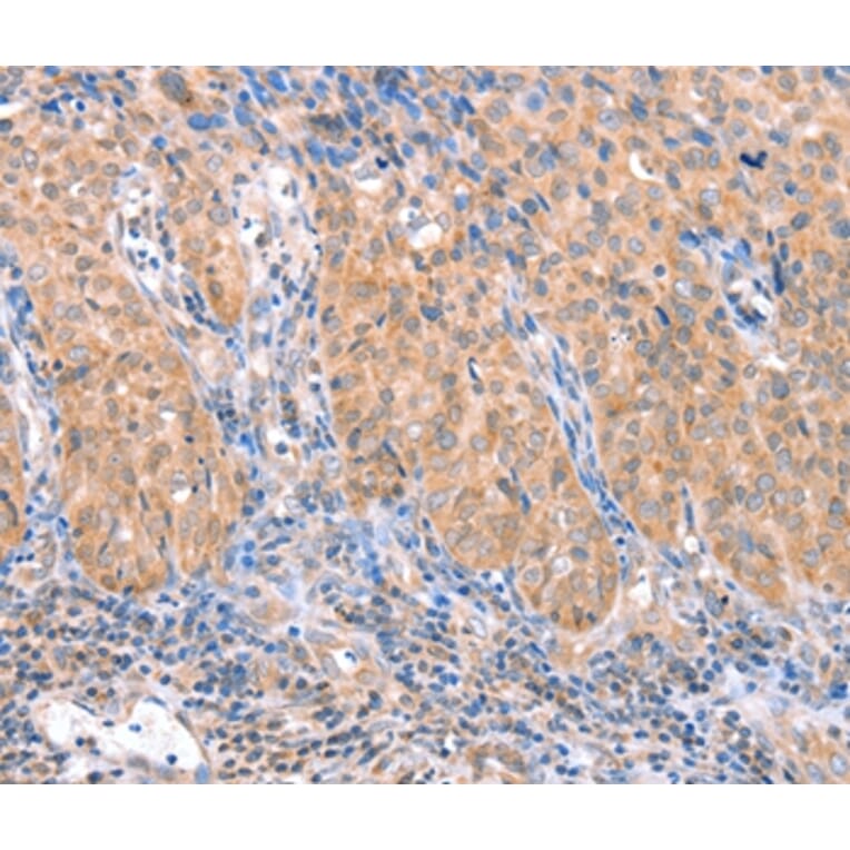
Immunohistochemistry - Anti-ACADS Antibody (A37850)
Immunohistochemical analysis of paraffin-embedded Human cervical cancer tissue using #36017 at dilution 1/15.
Publishing research using Anti-ACADS Antibody (A37850)? Please
let us know
so that we can list the citation on this page.
Alternative products to Anti-ACADS Antibody (A37850)
A344299
Anti-ACADS Antibody [23GB1365]
Recombinant rabbit monoclonal [23GB1365] antibody to ACADS for WB, Flow Cytometry and ICC/IF.
A344298
Anti-ACADS Antibody [24GB9115]
Recombinant rabbit monoclonal [24GB9115] antibody to ACADS for WB and Flow Cytometry.
A31954
Anti-ACADS Antibody
Rabbit polyclonal antibody to ACADS for WB, IHC and IF.
A344299
Anti-ACADS Antibody [23GB1365]
Recombinant rabbit monoclonal [23GB1365] antibody to ACADS for WB, Flow Cytometry and ICC/IF.
A344298
Anti-ACADS Antibody [24GB9115]
Recombinant rabbit monoclonal [24GB9115] antibody to ACADS for WB and Flow Cytometry.
A31954
Anti-ACADS Antibody
Rabbit polyclonal antibody to ACADS for WB, IHC and IF.
Proteins predicted to interact with ACADS
Predicted protein interactions based upon String database. Revelancy score correlates with probability of interaction.
ECHS1 Antibodies
99.4% Relevancy Score
ACAA1 Antibodies
99.2% Relevancy Score
HADHA Antibodies
99.2% Relevancy Score
HADHB Antibodies
98.5% Relevancy Score
EHHADH Antibodies
98.4% Relevancy Score
ECHDC1 Antibodies
98.2% Relevancy Score
ACAA2 Antibodies
98.2% Relevancy Score
ACAT1 Antibodies
96.7% Relevancy Score
PCCB Antibodies
96.2% Relevancy Score
Top