ISO 9001:2015 Certified
Live Customer Support
4.5/5 on Trustpilot
100% Quality Guarantee

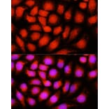
Anti-ACADVL/VLCAD Antibody (A15938)

Rabbit polyclonal antibody to ACADVL/VLCAD for WB and ICC/IF.

Shipping Information

$40
Dispatched from St. Louis, MO.
Lead Time: 7-10 business days.
Name
Anti-ACADVL/VLCAD Antibody
Description
Rabbit polyclonal antibody to ACADVL/VLCAD.
Applications
WB, ICC/IF
Dilutions
WB: 1:500-1:2,000, ICC/IF: 1:50-1:200
Reactivity
Human, Mouse, Rat
Immunogen
Recombinant fusion protein containing a sequence corresponding to amino acids 1-140 of human ACADVL (NP_000009.1).
Sequence
MQAARMAASLGRQLLRLGGGSSRLTALLGQPRPGPARRPYAGGAAQLALDKSDSHPSDALTRKKPAKAESKSFAVGMFKGQLTTDQVFPYPSVLNEEQTQFLKELVEPVSRFFEEVNDPAKNDALEMVEETTWQGLKELG
Host
Rabbit
Clonality
Polyclonal
Isotype
IgG
Conjugate

Unconjugated

Purification
Affinity purification.
Concentration
Lot Specific
Molecular Weight
70 kDa
Product Form
Liquid
Formulation
Supplied in Phosphate Buffered Saline, pH 7.3, with 50% Glycerol and 0.02% Sodium Azide.
Storage
Shipped at 4°C. Upon delivery aliquot and store at -20°C. Avoid freeze/thaw cycles.
Disclaimer
This product is for research use only. It is not intended for diagnostic or therapeutic use.
Publishing research using Anti-ACADVL/VLCAD Antibody (A15938)? Please let us know so that we can list the citation on this page.