Western Blot - Anti-ACAT2/Acetyl-CoA acetyltransferase Antibody (A12183)
Western blot analysis of extracts of various cell lines, using Anti-ACAT2/Acetyl-CoA acetyltransferase Antibody (A12183) at 1:1,000 dilution. The secondary antibody was Goat Anti-Rabbit IgG H&L Antibody (HRP) at 1:10,000 dilution. Lysates/proteins were present at 25µg per lane. The blocking buffer used was 3% non-fat dry milk in TBST. Detection was with a ECL Basic Kit. Exposure time: 90s.
Immunohistochemistry analysis of paraffin-embedded rat ovary using Anti-ACAT2/Acetyl-CoA acetyltransferase Antibody (A12183) at a dilution of 1:100 (40x lens). Perform microwave antigen retrieval with 10 mM PBS buffer pH 7.2 before commencing with IHC staining protocol.
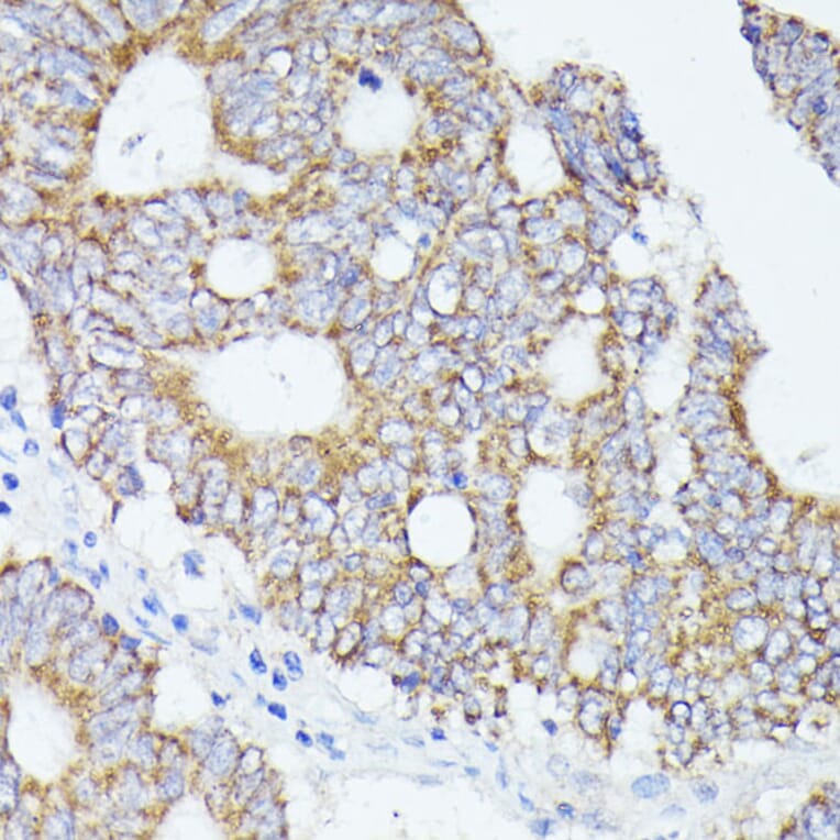
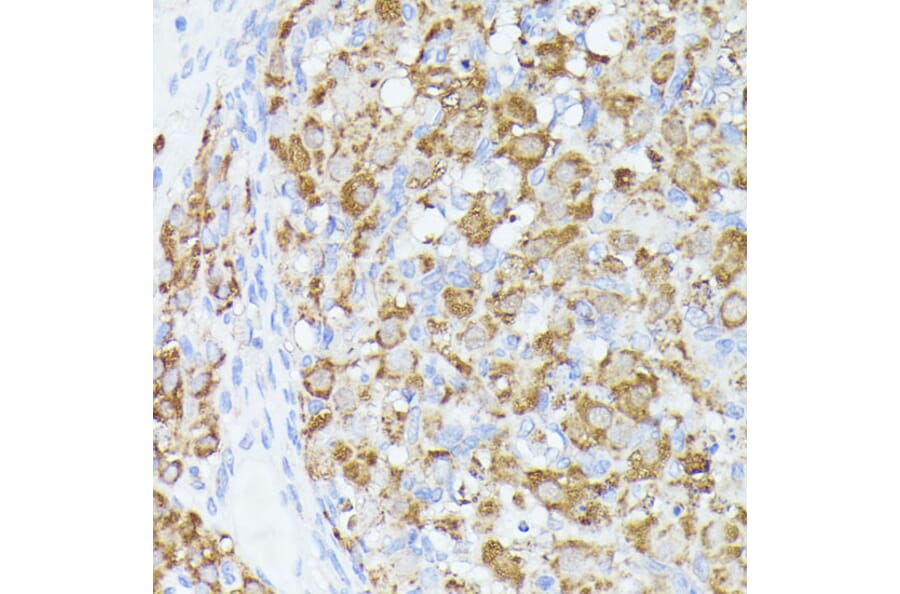
Immunohistochemistry analysis of paraffin-embedded human colon carcinoma tissue using Anti-ACAT2/Acetyl-CoA acetyltransferase Antibody (A12183) at a dilution of 1:100 (40x lens). Perform microwave antigen retrieval with 10 mM PBS buffer pH 7.2 before commencing with IHC staining protocol.
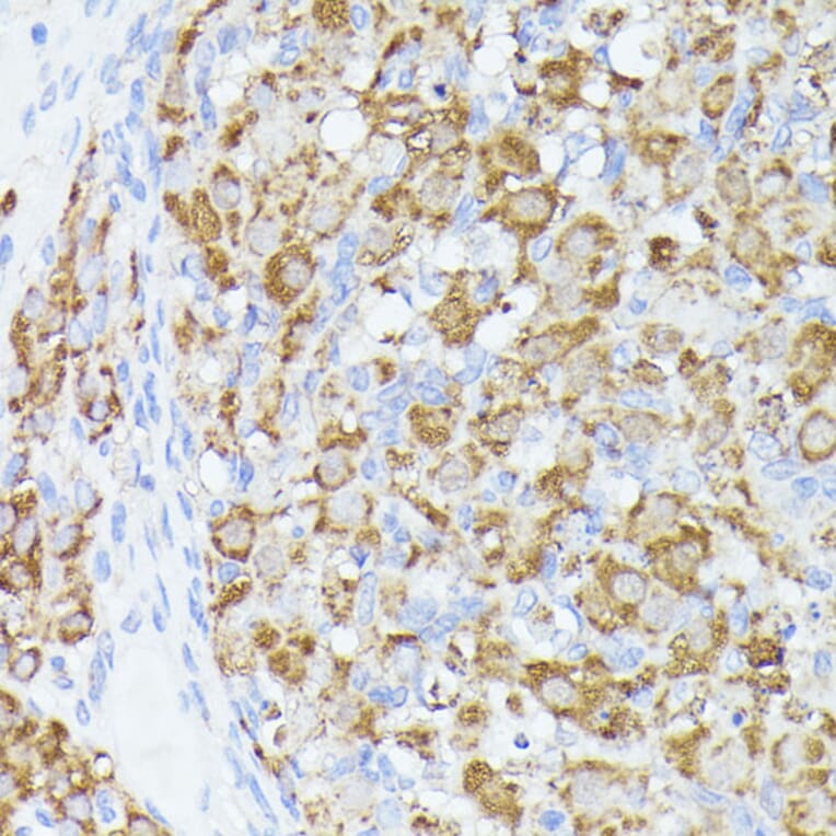
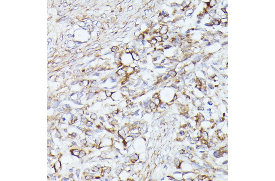
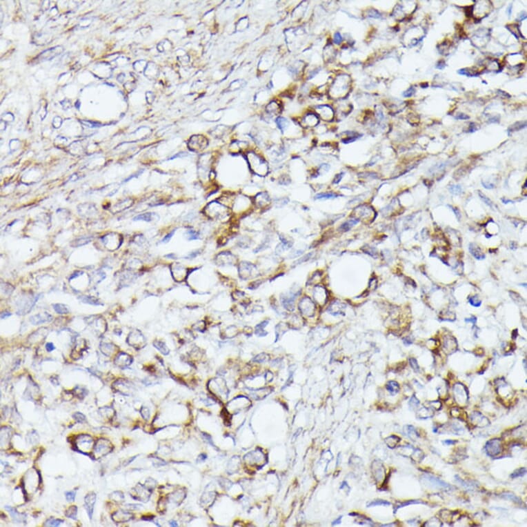
Immunohistochemistry analysis of paraffin-embedded human oophoroma using Anti-ACAT2/Acetyl-CoA acetyltransferase Antibody (A12183) at a dilution of 1:100 (40x lens). Perform microwave antigen retrieval with 10 mM PBS buffer pH 7.2 before commencing with IHC staining protocol.
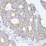
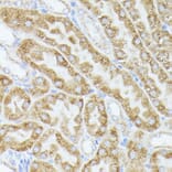
Immunohistochemistry analysis of paraffin-embedded mouse kidney using Anti-ACAT2/Acetyl-CoA acetyltransferase Antibody (A12183) at a dilution of 1:100 (40x lens). Perform microwave antigen retrieval with 10 mM PBS buffer pH 7.2 before commencing with IHC staining protocol.
Immunofluorescence analysis of L929 cells using Anti-ACAT2/Acetyl-CoA acetyltransferase Antibody (A12183) at a dilution of 1:100. DAPI was used to stain the cell nuclei (blue).