ISO 9001:2015 Certified
Live Customer Support
4.5/5 on Trustpilot
100% Quality Guarantee

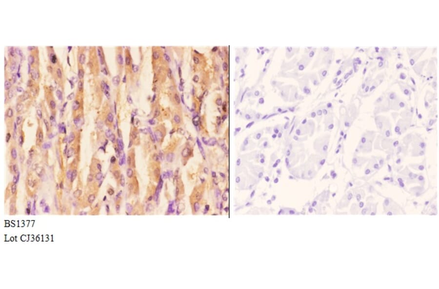
Anti-ACCα (K86) Antibody (A25403)

$390

Rabbit polyclonal antibody to ACCα (K86) for WB and IHC.

Shipping Information

$40
Dispatched from St. Louis, MO.
Lead Time: 7-10 business days.
Name
Anti-ACCα (K86) Antibody
Description
Rabbit polyclonal antibody to ACCα (K86)
Specificity
ACCα (H74) pAb detects endogenous levels of ACCα protein.
Applications
WB, IHC
Reactivity
Human, Mouse, Rat, Pig
Immunogen
Synthetic peptide, corresponding to amino acids 50-100 of Human ACCα.
Host
Rabbit
Clonality
Polyclonal
Conjugate

Unconjugated

Molecular Weight
~ 265 kDa
Purity
The antibody was affinity-purified from rabbit antiserum by affinity-chromatography using epitope-specific immunogen and the purity is > 95% (by SDS-PAGE).
Product Form
1 mg/ml in Phosphate buffered saline (PBS) with 0.05% sodium azide, approx. pH 7.2.
Disclaimer
This product is for research use only. It is not intended for diagnostic or therapeutic use.
Publishing research using Anti-ACCα (K86) Antibody (A25403)? Please let us know so that we can list the citation on this page.