Primary Antibodies
Secondary Antibodies
Proteins & Peptides
ELISA Kits
About Us
Contact Us
Sign In/Register
0
ISO 9001:2015 Certified
Live Customer Support
4.5/5 on Trustpilot
100% Quality Guarantee
Home
Primary Antibodies
ACE2 Antibodies
Anti-ACE2 Antibody (A46749)
Anti-ACE2 Antibody (A46749)
Overview
Specifications
Images
Enlarge Image
Enlarge Image
$430
Product Datasheet
Rabbit polyclonal antibody to ACE2 for IHC.
100% Guarantee
Price Match Guarantee
Product Size:
100µl
Quantity:
1
2
3
4
5
6
7
8
9
10
Add To Cart
Request a Quotation
Custom or Bulk Request
Shipping Information
Freight/Packing Charges:
$40
Dispatched from St. Louis, MO.
Lead Time: 6-9 business days.
Specifications
Name
Anti-ACE2 Antibody
Description
Rabbit polyclonal antibody to ACE2
Specificity
The antibody detects endogenous levels of total ACE2 protein.
Applications
IHC
Reactivity
Human
Immunogen
Fusion protein corresponding to a region derived from internal residues of human angiotensin I converting enzyme (peptidyl-dipeptidase A) 2
Host
Rabbit
Clonality
Polyclonal
Conjugate
Unconjugated
Purification
Antigen affinity purification.
Concentration
1.2 mg/mL
Formulation
Supplied in PBS, pH 7.3, containing 0.05% sodium azide and 50% glycerol.
Storage
Shipped at 4°C. Upon delivery aliquot and store at -20°C. Avoid freeze/thaw cycles.
Synonyms
ACE-related carboxypeptidase, ACEH, Angiotensin-converting enzyme 2, Angiotensin-converting enzyme homolog, Angiotensin-converting enzyme-related carboxypeptidase, Metalloprotease MPROT15
Suitable Secondaries
Goat Anti-Rabbit IgG H&L Antibody (AP) (A294874)
Goat Anti-Rabbit IgG H&L Antibody (Biotin) (A294795)
Goat Anti-Rabbit IgG H&L Antibody (FITC) (A294887)
Goat Anti-Rabbit IgG H&L Antibody (HRP) (A294888)
See all Anti-Rabbit IgG Secondaries →
Disclaimer
This product is for research use only. It is not intended for diagnostic or therapeutic use.
Scientific Validation Data
Validation Data
(2)
Enlarge Image
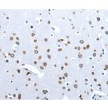
Immunohistochemistry - Anti-ACE2 Antibody (A46749)
Immunohistochemical analysis of paraffin-embedded Human brain tissue using #36103 at dilution 1/30.
Enlarge Image
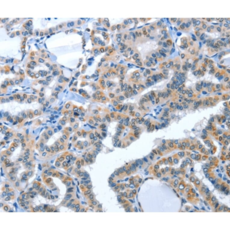
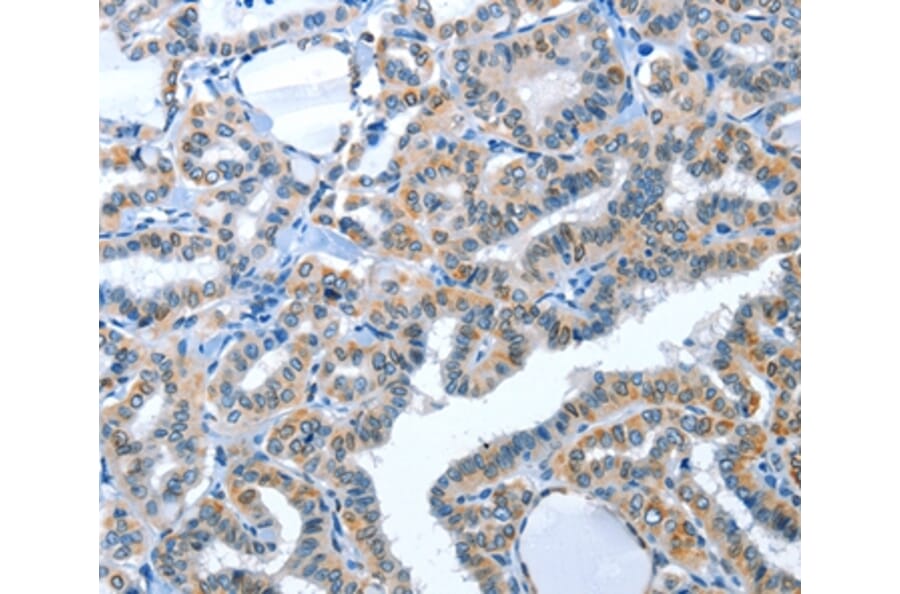
Immunohistochemistry - Anti-ACE2 Antibody (A46749)
Immunohistochemical analysis of paraffin-embedded Human thyroid cancer tissue using #36103 at dilution 1/30.
Publishing research using Anti-ACE2 Antibody (A46749)? Please
let us know
so that we can list the citation on this page.
Alternative products to Anti-ACE2 Antibody (A46749)
(7)
A87864
Anti-ACE2 Antibody
Rabbit polyclonal antibody to ACE2 for WB, IHC and ICC/IF.
(7)
A308382
Anti-ACE2 Antibody [ARC50948]
Rabbit monoclonal [ARC50948] antibody to ACE2 for WB, IHC and ICC/IF.
(2)
A27104
Anti-ACE2 (K465) Antibody
Rabbit polyclonal antibody to ACE2 (K465) for WB and IHC.
A99478
Anti-ACE2 Antibody
Rabbit polyclonal antibody to ACE2 for WB and ELISA.
(2)
A48320
Anti-ACE2 Antibody
Rabbit polyclonal antibody to ACE2 for ELISA, WB and IHC.
(3)
A286092
Anti-ACE2 Antibody
Goat polyclonal antibody to ACE2 for ELISA, WB and IHC.
(3)
A318648
Anti-ACE2 Antibody [DM47] - BSA and Azide free
Recombinant rabbit monoclonal [DM47] antibody to ACE2 for ELISA and Flow Cytometry.
(3)
A318647
Anti-ACE2 Antibody [DM48] - BSA and Azide free
Recombinant rabbit monoclonal [DM48] antibody to ACE2 for ELISA and Flow Cytometry.
(2)
A286094
Anti-ACE2 Antibody
Goat polyclonal antibody to ACE2 for ELISA and IHC.
A323874
Anti-ACE2 Antibody [NCOV-7] - Low endotoxin, Azide free
Recombinant human monoclonal [NCOV-7] antibody to ACE2 for ELISA, FACS, Kinetics (BLI), Kinetics (SPR) and Functional Assay.
(2)
A48321
Anti-ACE2 Antibody
Rabbit polyclonal antibody to ACE2 for ELISA, WB and IHC.
(2)
A48322
Anti-ACE2 Antibody
Rabbit polyclonal antibody to ACE2 for ELISA, WB and IHC.
(7)
A87864
Anti-ACE2 Antibody
Rabbit polyclonal antibody to ACE2 for WB, IHC and ICC/IF.
(7)
A308382
Anti-ACE2 Antibody [ARC50948]
Rabbit monoclonal [ARC50948] antibody to ACE2 for WB, IHC and ICC/IF.
(2)
A27104
Anti-ACE2 (K465) Antibody
Rabbit polyclonal antibody to ACE2 (K465) for WB and IHC.
A99478
Anti-ACE2 Antibody
Rabbit polyclonal antibody to ACE2 for WB and ELISA.
(2)
A48320
Anti-ACE2 Antibody
Rabbit polyclonal antibody to ACE2 for ELISA, WB and IHC.
(3)
A286092
Anti-ACE2 Antibody
Goat polyclonal antibody to ACE2 for ELISA, WB and IHC.
(3)
A318648
Anti-ACE2 Antibody [DM47] - BSA and Azide free
Recombinant rabbit monoclonal [DM47] antibody to ACE2 for ELISA and Flow Cytometry.
(3)
A318647
Anti-ACE2 Antibody [DM48] - BSA and Azide free
Recombinant rabbit monoclonal [DM48] antibody to ACE2 for ELISA and Flow Cytometry.
(2)
A286094
Anti-ACE2 Antibody
Goat polyclonal antibody to ACE2 for ELISA and IHC.
A323874
Anti-ACE2 Antibody [NCOV-7] - Low endotoxin, Azide free
Recombinant human monoclonal [NCOV-7] antibody to ACE2 for ELISA, FACS, Kinetics (BLI), Kinetics (SPR) and Functional Assay.
(2)
A48321
Anti-ACE2 Antibody
Rabbit polyclonal antibody to ACE2 for ELISA, WB and IHC.
(2)
A48322
Anti-ACE2 Antibody
Rabbit polyclonal antibody to ACE2 for ELISA, WB and IHC.
See all ACE2 Antibodies
Proteins predicted to interact with ACE2
Predicted protein interactions based upon String database. Revelancy score correlates with probability of interaction.
CD26 Antibodies
99.9% Relevancy Score
TMPRSS2 Antibodies
99.9% Relevancy Score
Angiotensinogen Antibodies
99.9% Relevancy Score
SLC6A19 Antibodies
99.9% Relevancy Score
AGTR1 Antibodies
99.6% Relevancy Score
ERVW-1 Antibodies
99.4% Relevancy Score
ERV31 Antibodies
99.2% Relevancy Score
DC SIGNR Antibodies
98.3% Relevancy Score
PRCP Antibodies
97.2% Relevancy Score
Top