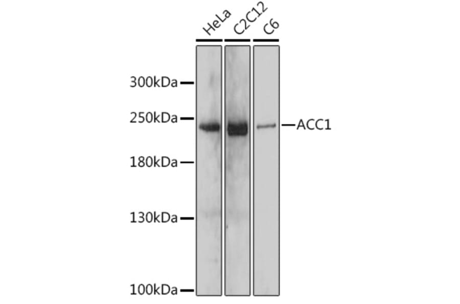
Western Blot - Anti-Acetyl Coenzyme A carboxylase alpha Antibody (A88835)
Western blot analysis of extracts of various cell lines, using Anti-Acetyl Coenzyme A carboxylase alpha Antibody (A88835) at 1:1,000 dilution. The secondary antibody was Goat Anti-Rabbit IgG H&L Antibody (HRP) at 1:10,000 dilution. Lysates/proteins were present at 25µg per lane. The blocking buffer used was 3% non-fat dry milk in TBST. Detection was with a ECL Basic Kit. Exposure time: 30s.
Immunohistochemistry - Anti-Acetyl Coenzyme A carboxylase alpha Antibody (A88835)
Immunohistochemistry analysis of paraffin-embedded human colon carcinoma tissue using Anti-Acetyl Coenzyme A carboxylase alpha Antibody (A88835) at a dilution of 1:50 (40x lens). Perform high pressure antigen retrieval with 10 mM citrate buffer pH 6.0 before commencing with IHC staining protocol.
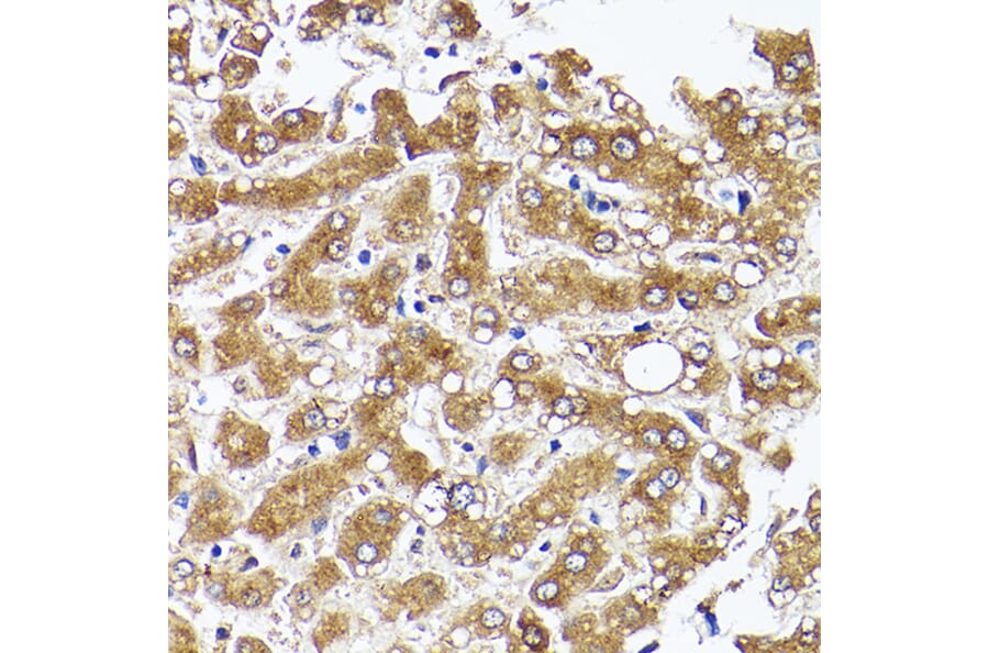
Immunohistochemistry - Anti-Acetyl Coenzyme A carboxylase alpha Antibody (A88835)
Immunohistochemistry analysis of paraffin-embedded human liver using Anti-Acetyl Coenzyme A carboxylase alpha Antibody (A88835) at a dilution of 1:50 (40x lens). Perform high pressure antigen retrieval with 10 mM citrate buffer pH 6.0 before commencing with IHC staining protocol.
Western Blot - Anti-Acetyl Coenzyme A carboxylase alpha Antibody (A88835)
Immunoprecipitation analysis of 300µg extracts of 293T cells using 3µg of Anti-Acetyl Coenzyme A carboxylase alpha Antibody (A88835). This Western blot was performed on the immunoprecipitate using Anti-Acetyl Coenzyme A carboxylase alpha Antibody (A88835) at a dilution of 1:1000.
Publishing research using Anti-Acetyl Coenzyme A carboxylase alpha Antibody (A88835)? Please let us know so that we can list the citation on this page.
Alternative products to Anti-Acetyl Coenzyme A carboxylase alpha Antibody (A88835)