Primary Antibodies
Secondary Antibodies
Proteins & Peptides
ELISA Kits
About Us
Contact Us
Sign In/Register
0
ISO 9001:2015 Certified
Live Customer Support
4.5/5 on Trustpilot
100% Quality Guarantee
Home
Primary Antibodies
Acinus Antibodies
Anti-Acinus Antibody (A48732)
Anti-Acinus Antibody (A48732)
Overview
Specifications
Images
Enlarge Image
Enlarge Image
$780
Product Datasheet
Rabbit polyclonal antibody to Acinus for ELISA, WB and ICC/IF.
100% Guarantee
Price Match Guarantee
Product Size:
100µl
Quantity:
1
2
3
4
5
6
7
8
9
10
Add To Cart
Request a Quotation
Custom or Bulk Request
Shipping Information
Freight/Packing Charges:
$40
Dispatched from St. Louis, MO.
Lead Time: 6-9 business days.
Specifications
Name
Anti-Acinus Antibody
Description
Rabbit polyclonal antibody to Acinus
Applications
ELISA
,
WB
,
ICC/IF
Reactivity
Human
Immunogen
Raised against a peptide corresponding to amino acids near the carbosy terminus of human AcinusL, which are identical to those of mouse Acinus.
Host
Rabbit
Clonality
Polyclonal
Conjugate
Unconjugated
Purification
Affinity chromatography purified via peptide column
Formulation
Supplied in phosphate-buffered saline with 0.02% Sodium Azide.
Storage
Shipped at 4°C. Upon delivery aliquot and store at -20°C. Avoid freeze/thaw cycles.
Synonyms
ACIN1, Apoptotic chromatin condensation inducer in the nucleus, KIAA0670
Suitable Secondaries
Goat Anti-Rabbit IgG H&L Antibody (AP) (A294874)
Goat Anti-Rabbit IgG H&L Antibody (Biotin) (A294795)
Goat Anti-Rabbit IgG H&L Antibody (FITC) (A294887)
Goat Anti-Rabbit IgG H&L Antibody (HRP) (A294888)
See all Anti-Rabbit IgG Secondaries →
Disclaimer
This product is for research use only. It is not intended for diagnostic or therapeutic use.
Scientific Validation Data
Validation Data
(2)
Enlarge Image
Anti-Acinus Antibody (A48732)
Western blot analysis of Acinus in K562 whole cell lysate with Acinus antibody at 0.5 µg/mL.
Enlarge Image
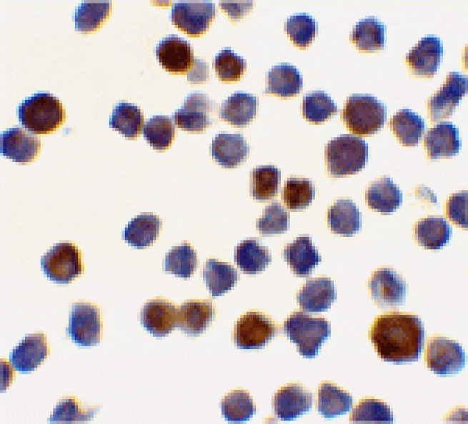
Immunocytochemistry - Anti-Acinus Antibody (A48732)
Immunocytochemistry of Acinus in K562 cells with Acinus antibody at 0.5 µg/mL.
Publishing research using Anti-Acinus Antibody (A48732)? Please
let us know
so that we can list the citation on this page.
Alternative products to Anti-Acinus Antibody (A48732)
(2)
A48731
Anti-Acinus Antibody
Rabbit polyclonal antibody to Acinus for ELISA, WB and ICC/IF.
(2)
A48733
Anti-Acinus Antibody
Rabbit polyclonal antibody to Acinus for ELISA, WB and ICC/IF.
(2)
A37969
Anti-ACIN1 Antibody
Rabbit polyclonal antibody to ACIN1 for WB and IHC.
A50869
Anti-Acinus (Phospho-Ser1180) Antibody
Rabbit Polycolonal antibody to Acinus (Phospho-Ser1180) for WB.
A49155
Anti-Acinus Antibody
Rabbit polyclonal antibody to Acinus for ELISA and WB.
(2)
A48731
Anti-Acinus Antibody
Rabbit polyclonal antibody to Acinus for ELISA, WB and ICC/IF.
(2)
A48733
Anti-Acinus Antibody
Rabbit polyclonal antibody to Acinus for ELISA, WB and ICC/IF.
(2)
A37969
Anti-ACIN1 Antibody
Rabbit polyclonal antibody to ACIN1 for WB and IHC.
A50869
Anti-Acinus (Phospho-Ser1180) Antibody
Rabbit Polycolonal antibody to Acinus (Phospho-Ser1180) for WB.
A49155
Anti-Acinus Antibody
Rabbit polyclonal antibody to Acinus for ELISA and WB.
See all Acinus Antibodies
Proteins predicted to interact with Acinus
Predicted protein interactions based upon String database. Revelancy score correlates with probability of interaction.
SAP18 Antibodies
99.9% Relevancy Score
Pinin Antibodies
97.8% Relevancy Score
eIF4A3 Antibodies
95.9% Relevancy Score
MAGOH Antibodies
95% Relevancy Score
Aly Antibodies
92% Relevancy Score
SRRM1 Antibodies
89.4% Relevancy Score
Caspase-3 Antibodies
88.7% Relevancy Score
FNBP3 Antibodies
88.5% Relevancy Score
Mago Nashi Homolog 2 Antibodies
88.3% Relevancy Score
Top