Primary Antibodies
Secondary Antibodies
Proteins & Peptides
ELISA Kits
About Us
Contact Us
Sign In/Register
0
ISO 9001:2015 Certified
Live Customer Support
4.5/5 on Trustpilot
100% Quality Guarantee
Home
Primary Antibodies
ACOX3 Antibodies
Anti-ACOX3 Antibody (A45935)
Anti-ACOX3 Antibody (A45935)
Overview
Specifications
Images
Enlarge Image
Enlarge Image
$430
Product Datasheet
Rabbit polyclonal antibody to ACOX3 for IHC.
100% Guarantee
Price Match Guarantee
Product Size:
100µl
Quantity:
1
2
3
4
5
6
7
8
9
10
Add To Cart
Request a Quotation
Custom or Bulk Request
Shipping Information
Freight/Packing Charges:
$40
Dispatched from St. Louis, MO.
Lead Time: 6-9 business days.
Specifications
Name
Anti-ACOX3 Antibody
Description
Rabbit polyclonal antibody to ACOX3
Specificity
The antibody detects endogenous levels of total ACOX3 protein.
Applications
IHC
Reactivity
Human
Immunogen
Fusion protein corresponding to a region derived from internal residues of human acyl-CoA oxidase 3, pristanoyl
Host
Rabbit
Clonality
Polyclonal
Conjugate
Unconjugated
Purification
Antigen affinity purification.
Concentration
1.1 mg/mL
Formulation
Supplied in PBS, pH 7.3, containing 0.05% sodium azide and 50% glycerol.
Storage
Shipped at 4°C. Upon delivery aliquot and store at -20°C. Avoid freeze/thaw cycles.
Synonyms
Branched-chain acyl-CoA oxidase, BRCACox, BRCOX, Peroxisomal acyl-coenzyme A oxidase 3, PRCOX, Pristanoyl-CoA oxidase
Suitable Secondaries
Goat Anti-Rabbit IgG H&L Antibody (AP) (A294874)
Goat Anti-Rabbit IgG H&L Antibody (Biotin) (A294795)
Goat Anti-Rabbit IgG H&L Antibody (FITC) (A294887)
Goat Anti-Rabbit IgG H&L Antibody (HRP) (A294888)
See all Anti-Rabbit IgG Secondaries →
Disclaimer
This product is for research use only. It is not intended for diagnostic or therapeutic use.
Scientific Validation Data
Validation Data
(2)
Enlarge Image
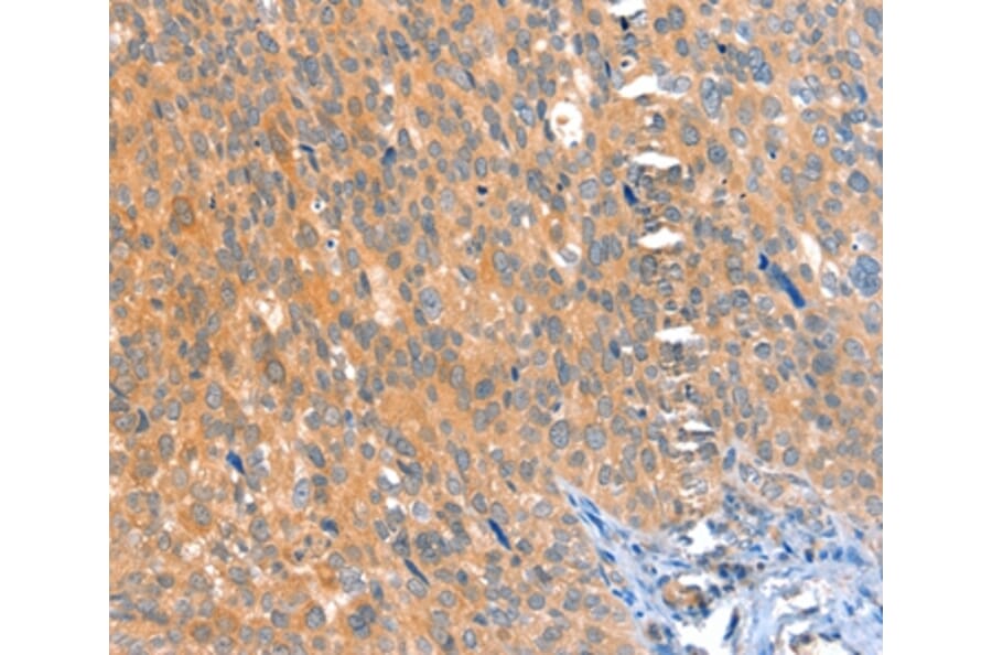
Immunohistochemistry - Anti-ACOX3 Antibody (A45935)
Immunohistochemical analysis of paraffin-embedded Human cervical cancer tissue using #36022 at dilution 1/25.
Enlarge Image
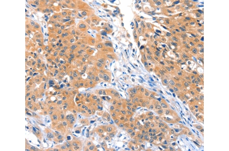
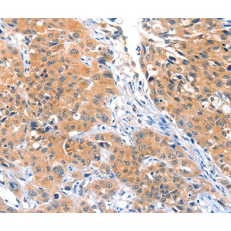
Immunohistochemistry - Anti-ACOX3 Antibody (A45935)
Immunohistochemical analysis of paraffin-embedded Human lung cancer tissue using #36022 at dilution 1/25.
Publishing research using Anti-ACOX3 Antibody (A45935)? Please
let us know
so that we can list the citation on this page.
Alternative products to Anti-ACOX3 Antibody (A45935)
(2)
A93170
Anti-ACOX3 Antibody
Rabbit polyclonal antibody to ACOX3 for WB and ICC/IF.
(2)
A37449
Anti-ACOX3 Antibody
Rabbit polyclonal antibody to ACOX3 for WB and IHC.
(2)
A93170
Anti-ACOX3 Antibody
Rabbit polyclonal antibody to ACOX3 for WB and ICC/IF.
(2)
A37449
Anti-ACOX3 Antibody
Rabbit polyclonal antibody to ACOX3 for WB and IHC.
Proteins predicted to interact with ACOX3
Predicted protein interactions based upon String database. Revelancy score correlates with probability of interaction.
ACAA1 Antibodies
99.5% Relevancy Score
EHHADH Antibodies
99.3% Relevancy Score
ECHS1 Antibodies
99% Relevancy Score
HADHB Antibodies
99% Relevancy Score
HSD17B4 Antibodies
98.9% Relevancy Score
ACAA2 Antibodies
98.6% Relevancy Score
Sterol Carrier Protein 2 Antibodies
97.8% Relevancy Score
HADHA Antibodies
96.9% Relevancy Score
ACAT1 Antibodies
96.2% Relevancy Score
Top