Primary Antibodies
Secondary Antibodies
Proteins & Peptides
ELISA Kits
About Us
Contact Us
Sign In/Register
0
ISO 9001:2015 Certified
Live Customer Support
4.5/5 on Trustpilot
100% Quality Guarantee
Home
Primary Antibodies
ACSBG2 Antibodies
Anti-ACSBG2 Antibody (A45371)
Anti-ACSBG2 Antibody (A45371)
Overview
Specifications
Images
Enlarge Image
$430
Product Datasheet
Rabbit polyclonal antibody to ACSBG2 for IHC.
100% Guarantee
Price Match Guarantee
Product Size:
100µl
Quantity:
1
2
3
4
5
6
7
8
9
10
Add To Cart
Request a Quotation
Custom or Bulk Request
Shipping Information
Freight/Packing Charges:
$40
Dispatched from St. Louis, MO.
Lead Time: 6-9 business days.
Specifications
Name
Anti-ACSBG2 Antibody
Description
Rabbit polyclonal antibody to ACSBG2
Specificity
The antibody detects endogenous levels of total ACSBG2 protein.
Applications
IHC
Reactivity
Human
Immunogen
Fusion protein corresponding to residues near the C terminal of human Long-chain-fatty-acid--CoA ligase ACSBG2
Host
Rabbit
Clonality
Polyclonal
Conjugate
Unconjugated
Purification
Antigen affinity purification.
Concentration
0.8 mg/mL
Formulation
Supplied in PBS, pH 7.3, containing 0.05% sodium azide and 50% glycerol.
Storage
Shipped at 4°C. Upon delivery aliquot and store at -20°C. Avoid freeze/thaw cycles.
Synonyms
Acyl-CoA synthetase bubblegum family member 2, Arachidonate--CoA ligase ACSBG2, BGR, Bubblegum-related protein, Long-chain-fatty-acid--CoA ligase ACSBG2, PRTD-NY3
Suitable Secondaries
Goat Anti-Rabbit IgG H&L Antibody (AP) (A294874)
Goat Anti-Rabbit IgG H&L Antibody (Biotin) (A294795)
Goat Anti-Rabbit IgG H&L Antibody (FITC) (A294887)
Goat Anti-Rabbit IgG H&L Antibody (HRP) (A294888)
See all Anti-Rabbit IgG Secondaries →
Disclaimer
This product is for research use only. It is not intended for diagnostic or therapeutic use.
Scientific Validation Data
Validation Data
(1)
Enlarge Image
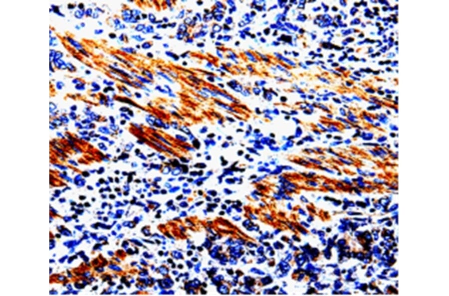
Immunohistochemistry - Anti-ACSBG2 Antibody (A45371)
Immunohistochemical analysis of paraffin-embedded Human stomach cancer tissue using #35552 at dilution 1/60.
Publishing research using Anti-ACSBG2 Antibody (A45371)? Please
let us know
so that we can list the citation on this page.
Proteins predicted to interact with ACSBG2
Predicted protein interactions based upon String database. Revelancy score correlates with probability of interaction.
Fatty Acid Synthase Antibodies
93.6% Relevancy Score
PPT1 Antibodies
85.2% Relevancy Score
Lipoprotein Lipase Antibodies
81.8% Relevancy Score
Monoacylglycerol Lipase Antibodies
81.1% Relevancy Score
CPT1A Antibodies
74.2% Relevancy Score
ACSL3 Antibodies
73.1% Relevancy Score
ACSL5 Antibodies
72.9% Relevancy Score
FACL4 Antibodies
72.8% Relevancy Score
CPT1B Antibodies
72.8% Relevancy Score
Top