Primary Antibodies
Secondary Antibodies
Proteins & Peptides
ELISA Kits
About Us
Contact Us
Sign In/Register
0
ISO 9001:2015 Certified
Live Customer Support
4.5/5 on Trustpilot
100% Quality Guarantee
Home
Primary Antibodies
beta Actin Antibodies
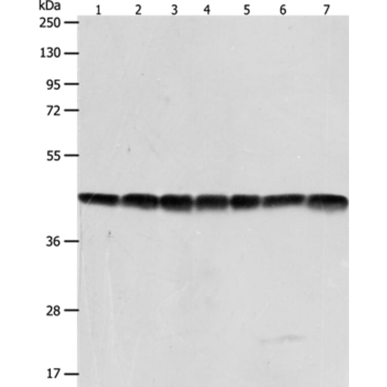
Anti-ACTB Antibody (A43865)
Anti-ACTB Antibody (A43865)
Overview
Specifications
$430
Product Datasheet
Rabbit polyclonal antibody to ACTB for WB.
100% Guarantee
Price Match Guarantee
Product Size:
100µl
Quantity:
1
2
3
4
5
6
7
8
9
10
Add To Cart
Request a Quotation
Custom or Bulk Request
Shipping Information
Freight/Packing Charges:
$40
Dispatched from St. Louis, MO.
Lead Time: 6-9 business days.
Tags:
Loading Control
Specifications
Name
Anti-ACTB Antibody
Description
Rabbit polyclonal antibody to ACTB
Specificity
The antibody detects endogenous levels of total ACTB protein.
Applications
WB
Reactivity
Human, Mouse
Immunogen
Synthetic peptide corresponding to residues near the N terminal of human Actin, beta
Host
Rabbit
Clonality
Polyclonal
Conjugate
Unconjugated
Purification
Antigen affinity purification.
Concentration
1.6 mg/mL
Formulation
Supplied in PBS, pH 7.3, containing 0.05% sodium azide and 50% glycerol.
Storage
Shipped at 4°C. Upon delivery aliquot and store at -20°C. Avoid freeze/thaw cycles.
Synonyms
Actin, cytoplasmic 1, Beta-actin
Suitable Secondaries
Goat Anti-Rabbit IgG H&L Antibody (AP) (A294874)
Goat Anti-Rabbit IgG H&L Antibody (Biotin) (A294795)
Goat Anti-Rabbit IgG H&L Antibody (FITC) (A294887)
Goat Anti-Rabbit IgG H&L Antibody (HRP) (A294888)
See all Anti-Rabbit IgG Secondaries →
Disclaimer
This product is for research use only. It is not intended for diagnostic or therapeutic use.
Publishing research using Anti-ACTB Antibody (A43865)? Please
let us know
so that we can list the citation on this page.
Most popular Anti-ACTB Antibodies
(2)
A85272
1 Citation
Anti-beta Actin Antibody [BA3R]
Mouse monoclonal (BA3R) antibody to beta Actin for Dot, ELISA, IS and WB.
A8250
Anti-beta Actin Antibody [S12-I]
Rabbit monoclonal (S12-I) antibody to beta Actin for WB, ELISA, IP and ICC.
(2)
A85272
1 Citation
Anti-beta Actin Antibody [BA3R]
Mouse monoclonal (BA3R) antibody to beta Actin for Dot, ELISA, IS and WB.
A8250
Anti-beta Actin Antibody [S12-I]
Rabbit monoclonal (S12-I) antibody to beta Actin for WB, ELISA, IP and ICC.
Alternative products to Anti-ACTB Antibody (A43865)
(4)
A121645
Anti-beta Actin Antibody
Goat polyclonal antibody to beta Actin for WB and IF.
(2)
A309717
Anti-beta Actin Antibody [ARC5115-01]
Rabbit monoclonal [ARC5115-01] antibody to beta Actin for WB.
A1072
Anti-beta Actin Antibody
Mouse monoclonal antibody to beta Actin for WB, IP, IF, IHC and ELISA.
A17300
Anti-beta Actin Antibody
Rabbit polyclonal antibody to beta Actin for WB.
(3)
A277773
Anti-beta Actin Antibody [ACTB/1108]
Mouse monoclonal [ACTB/1108] antibody to beta Actin for WB and IHC-P.
(2)
A115511
Anti-beta Actin Antibody [4C2]
Mouse monoclonal [4C2] antbody to beta Actin for IHC-Fr, IHC-P, WB, Flow Cytometry and ELISA.
(3)
A278361
Anti-beta Actin Antibody [ACTB/1108] - BSA and Azide free
Mouse monoclonal [ACTB/1108] antibody to beta Actin for WB and IHC-P.
(2)
A92938
Anti-beta Actin Antibody [ARC5115-01]
Rabbit monoclonal [ARC5115-01] antibody to beta Actin for WB.
(2)
A47397
Anti-Beta-actin Antibody
Rabbit polyclonal antibody to Beta-actin for ELISA, WB and IHC.
(2)
A121404
Anti-beta Actin Antibody [RM112]
Recombinant rabbit monoclonal [RM112] antibody to beta Actin for WB, IP, ChIP, ICC and IHC.
(2)
A277774
Anti-beta Actin Antibody [ACTB/1109]
Mouse monoclonal [ACTB/1109] antibody to beta Actin for Flow Cytometry, IF, WB and IHC-P.
(3)
A34764
Anti-Beta Actin Antibody
Rabbit polyclonal antibody to Beta Actin for WB, IHC and ICC/IF.
(4)
A121645
Anti-beta Actin Antibody
Goat polyclonal antibody to beta Actin for WB and IF.
(2)
A309717
Anti-beta Actin Antibody [ARC5115-01]
Rabbit monoclonal [ARC5115-01] antibody to beta Actin for WB.
A1072
Anti-beta Actin Antibody
Mouse monoclonal antibody to beta Actin for WB, IP, IF, IHC and ELISA.
A17300
Anti-beta Actin Antibody
Rabbit polyclonal antibody to beta Actin for WB.
(3)
A277773
Anti-beta Actin Antibody [ACTB/1108]
Mouse monoclonal [ACTB/1108] antibody to beta Actin for WB and IHC-P.
(2)
A115511
Anti-beta Actin Antibody [4C2]
Mouse monoclonal [4C2] antbody to beta Actin for IHC-Fr, IHC-P, WB, Flow Cytometry and ELISA.
(3)
A278361
Anti-beta Actin Antibody [ACTB/1108] - BSA and Azide free
Mouse monoclonal [ACTB/1108] antibody to beta Actin for WB and IHC-P.
(2)
A92938
Anti-beta Actin Antibody [ARC5115-01]
Rabbit monoclonal [ARC5115-01] antibody to beta Actin for WB.
(2)
A47397
Anti-Beta-actin Antibody
Rabbit polyclonal antibody to Beta-actin for ELISA, WB and IHC.
(2)
A121404
Anti-beta Actin Antibody [RM112]
Recombinant rabbit monoclonal [RM112] antibody to beta Actin for WB, IP, ChIP, ICC and IHC.
(2)
A277774
Anti-beta Actin Antibody [ACTB/1109]
Mouse monoclonal [ACTB/1109] antibody to beta Actin for Flow Cytometry, IF, WB and IHC-P.
(3)
A34764
Anti-Beta Actin Antibody
Rabbit polyclonal antibody to Beta Actin for WB, IHC and ICC/IF.
See all ACTB Antibodies
Proteins predicted to interact with beta Actin
Predicted protein interactions based upon String database. Revelancy score correlates with probability of interaction.
Profilin 1 Antibodies
99.9% Relevancy Score
Profilin 4 Antibodies
99.9% Relevancy Score
BRG1 Antibodies
99.9% Relevancy Score
ACTL6A Antibodies
99.9% Relevancy Score
Cofilin Antibodies
99.9% Relevancy Score
gamma Actin Antibodies
99.9% Relevancy Score
Cofilin 2 Antibodies
99.6% Relevancy Score
SMARCE1 Antibodies
99.6% Relevancy Score
ARID1A Antibodies
99.5% Relevancy Score
Top