ISO 9001:2015 Certified
Live Customer Support
4.5/5 on Trustpilot
100% Quality Guarantee

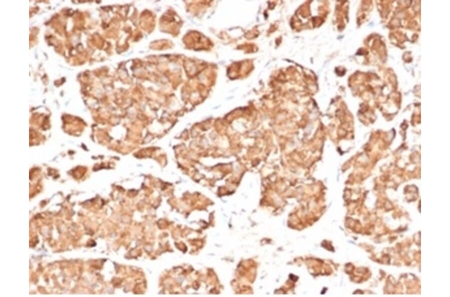
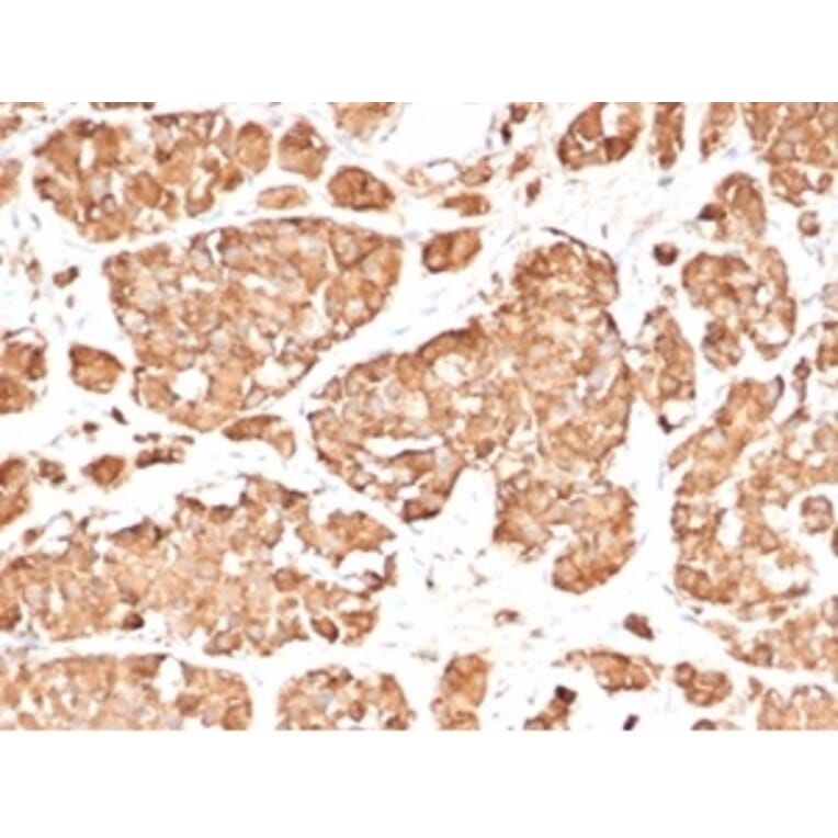
Recombinant Anti-ACTH Antibody [rCLIP/3814] - BSA and Azide free (A278497)

Recombinant mouse monoclonal [rCLIP/3814] antibody to ACTH for ELISA and IHC-P.

Alternative Formats and ConjugatesAlternative Formats

Shipping Information

$40
Dispatched from St. Louis, MO.
Lead Time: 5-8 business days.
Name
Anti-ACTH Antibody [rCLIP/3814] - BSA and Azide free
Description
Recombinant mouse monoclonal [rCLIP/3814] antibody to ACTH.
Specificity
ACTH (same as Corticotropin) is a 39 amino acid active peptide produced by the anterior pituitary. This MAb is specific to Synacthen (aa1-24 of ACTH); does not react with CLIP (aa17-39 of ACTH). POMC (pro-opiomelanocortin or corticotropin-lipotropin) is a 267 amino acid polypeptide hormone precursor that goes through extensive, tissue-specific posttranslational processing by convertases. POMC is cleaved into ten hormone chains named NPP, ACTH, alpha-MSH (Melanocyte Stimulating Hormone), beta-MSH, gamma-MSH, CLIP (corticotropin-like intermediary peptide), Lipotropin-beta, Lipotropin-gamma, beta-endorphin and Met-enkephalin. ACTH is also produced by cells of immune system (T-cells, B-cells, and macrophages) in response to stimuli associated with stress. Anti-ACTH is a useful marker in classification of pituitary tumors and the study of pituitary disease. It reacts with ACTH-producing cells (corticotrophs).It also may react with other tumors (e.g. some small cell carcinomas of the lung) causing paraneoplastic syndromes by secreting ACTH.
Applications
ELISA, IHC-P
Dilutions
IHC-P: 1-2 µg/ml
Reactivity
Human, Mouse, Rat
Cross Reactivity
This antibody is predicted to show a broad species reactivity.
Immunogen
Recombinant fragment corresponding to the N terminal of human ACTH. The exact sequence is proprietary.
Host
Mouse
Clonality
Monoclonal
Clone ID
rCLIP/3814
Isotype
IgG1
Light Chains
kappa
Conjugate

Unconjugated

Purification
Protein A/G chromatography.
Concentration
1 mg/ml
Molecular Weight
ACTH is ~5 kDa / the POMC precursor is ~30 kDa.
Product Form
Liquid
Formulation
Supplied in 10mM Phosphate Buffered Saline; without Sodium Azide and carrier free.
Storage
Shipped at 4°C. Upon delivery aliquot and store at -20°C. Avoid freeze / thaw cycles.
General Notes
This monoclonal antibody is also available in a different formulation with BSA and Sodium Azide - Anti-ACTH Antibody [rCLIP/3814] (A277909).
Synonyms
Adrenocorticotropic hormone, Adrenocorticotropin, Alpha melanocyte stimulating hormone, alpha-MSH, alphaMSH, Beta LPH, Beta melanocyte stimulating hormone, Beta-endorphin, beta-MSH, CLIP, Corticotropin, Corticotropin lipotropin, Corticotropin-like intermediary peptide, Gamma LPH, gamma-MSH, Lipotropin beta, Lipotropin gamma, Lipotropin, included, LPH, Melanocyte-stimulating hormone, included, Melanotropin alpha, Melanotropin beta, Melanotropin gamma, Melanotropin, included, Met-enkephalin, MSH, NPP, Opiomelanocortin prepropeptide, POC, POMC, Pomc-1, Pomc1, Pomc2, Pro ACTH endorphin, Pro opiomelanocortin, Pro-opiomelanocortin-alpha, Proopiomelanocortin, Proopiomelanocortin preproprotein, Tetracosactide
Disclaimer
This product is for research use only. It is not intended for diagnostic or therapeutic use.
Publishing research using Recombinant Anti-ACTH Antibody [rCLIP/3814] - BSA and Azide free (A278497)? Please let us know so that we can list the citation on this page.

Alternative products to Anti-ACTH Antibody [rCLIP/3814] - BSA and Azide free (A278497)