ISO 9001:2015 Certified
Live Customer Support
4.5/5 on Trustpilot
100% Quality Guarantee

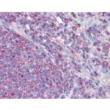
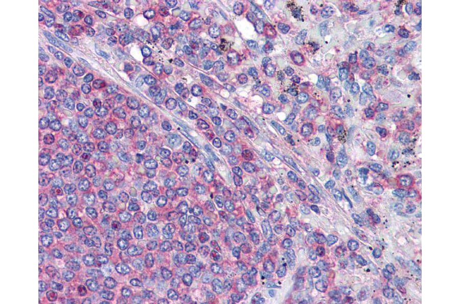
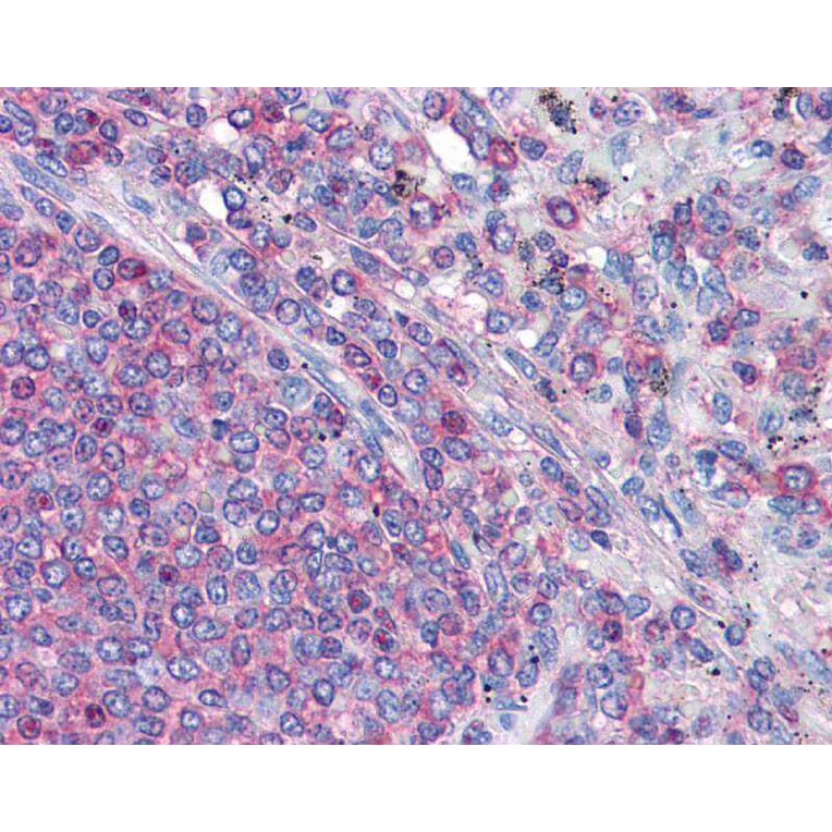
Anti-Actin Antibody (A37495)

$645

Rabbit polyclonal antibody to Actin for WB and IHC.

Shipping Information

$40
Dispatched from St. Louis, MO.
Lead Time: 6-9 business days.
Name
Anti-Actin Antibody
Description
Rabbit polyclonal antibody to Actin
Applications
WB, IHC
Dilutions
Western blotting: 1:500-1:3000 Immunohistochemistry: 1:100-1:250
Reactivity
Human
Immunogen
Recombinant protein fragment contain a sequence corresponding to a region within amino acids 1 and 119 of human ACTG1
Host
Rabbit
Clonality
Polyclonal
Conjugate

Unconjugated

Purification
Purified by antigen-affinity chromatography.
Predicted MW
42kd
Formulation
Supplied in 0.1M Tris-buffered saline with 10% Glycerol (pH7.0). 0.01% Thimerosal was added as a preservative.
Storage
Store at -20˚C for long term preservation (recommended). Store at 4˚C for short term use.
Synonyms
a actin, ACTA, ACTA1, Actin alpha skeletal muscle, actin, alpha 1, skeletal muscle, actin, alpha 1, skeletal muscle 1, Actin, alpha skeletal muscle, actina, actine, ACTS_HUMAN, aktin, Alpha Actin 1, alpha skeletal muscle, Alpha skeletal muscle Actin, alpha-actin, Alpha-actin-1, ASMA, CFTD, CFTD1, CFTDM, MPFD, NEM1, NEM2, NEM3, nemaline myopathy type 3
Disclaimer
This product is for research use only. It is not intended for diagnostic or therapeutic use.
Publishing research using Anti-Actin Antibody (A37495)? Please let us know so that we can list the citation on this page.

Alternative products to Anti-Actin Antibody (A37495)