Western Blot - Anti-Actin Regulatory Protein CAPG/MCP Antibody (A15644)
Western blot analysis of extracts of various cell lines, using Anti-Actin Regulatory Protein CAPG/MCP Antibody (A15644) at 1:1,000 dilution. The secondary antibody was Goat Anti-Rabbit IgG H&L Antibody (HRP) at 1:10,000 dilution. Lysates/proteins were present at 25µg per lane. The blocking buffer used was 3% non-fat dry milk in TBST. Detection was with a ECL Basic Kit. Exposure time: 30s.
Western Blot - Anti-Actin Regulatory Protein CAPG/MCP Antibody (A15644)
Western blot analysis of extracts of various cell lines, using Anti-Actin Regulatory Protein CAPG/MCP Antibody (A15644) at 1:1,000 dilution. The secondary antibody was Goat Anti-Rabbit IgG H&L Antibody (HRP) at 1:10,000 dilution. Lysates/proteins were present at 25µg per lane. The blocking buffer used was 3% non-fat dry milk in TBST. Detection was with a ECL Basic Kit. Exposure time: 90s.
Western Blot - Anti-Actin Regulatory Protein CAPG/MCP Antibody (A15644)
Western blot analysis of extracts from normal (control) and CAPG knockout (KO) HeLa cells, using Anti-Actin Regulatory Protein CAPG/MCP Antibody (A15644) at 1:1,000 dilution. The secondary antibody was Goat Anti-Rabbit IgG H&L Antibody (HRP) at 1:10,000 dilution. Lysates/proteins were present at 25µg per lane. The blocking buffer used was 3% non-fat dry milk in TBST. Detection was with a ECL Basic Kit. Exposure time: 90s.
Immunohistochemistry - Anti-Actin Regulatory Protein CAPG/MCP Antibody (A15644)
Immunohistochemistry analysis of paraffin-embedded human lung cancer using Anti-Actin Regulatory Protein CAPG/MCP Antibody (A15644) at a dilution of 1:100 (40x lens).
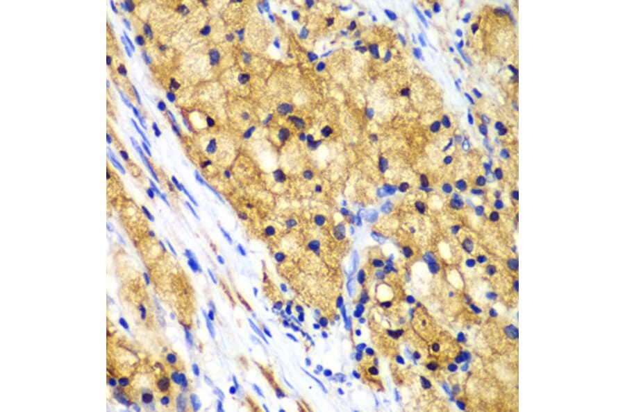
Immunohistochemistry - Anti-Actin Regulatory Protein CAPG/MCP Antibody (A15644)
Immunohistochemistry analysis of paraffin-embedded human liver cancer using Anti-Actin Regulatory Protein CAPG/MCP Antibody (A15644) at a dilution of 1:100 (40x lens).