Western Blot - Anti-Activin Receptor Type IIA/ACVR2A Antibody (A13786)
Western blot analysis of extracts of A-431 cells, using Anti-Activin Receptor Type IIA/ACVR2A Antibody (A13786) at 1:500 dilution. The secondary antibody was Goat Anti-Rabbit IgG H&L Antibody (HRP) at 1:10,000 dilution. Lysates/proteins were present at 25µg per lane. The blocking buffer used was 3% non-fat dry milk in TBST. Detection was with a ECL Enhanced Kit (RM00021). Exposure time: 180s.
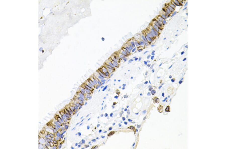
Immunohistochemistry - Anti-Activin Receptor Type IIA/ACVR2A Antibody (A13786)
Immunohistochemistry analysis of paraffin-embedded human lung using Anti-Activin Receptor Type IIA/ACVR2A Antibody (A13786) at a dilution of 1:100 (40x lens). Perform microwave antigen retrieval with 10 mM PBS buffer pH 7.2 before commencing with IHC staining protocol.
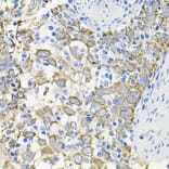
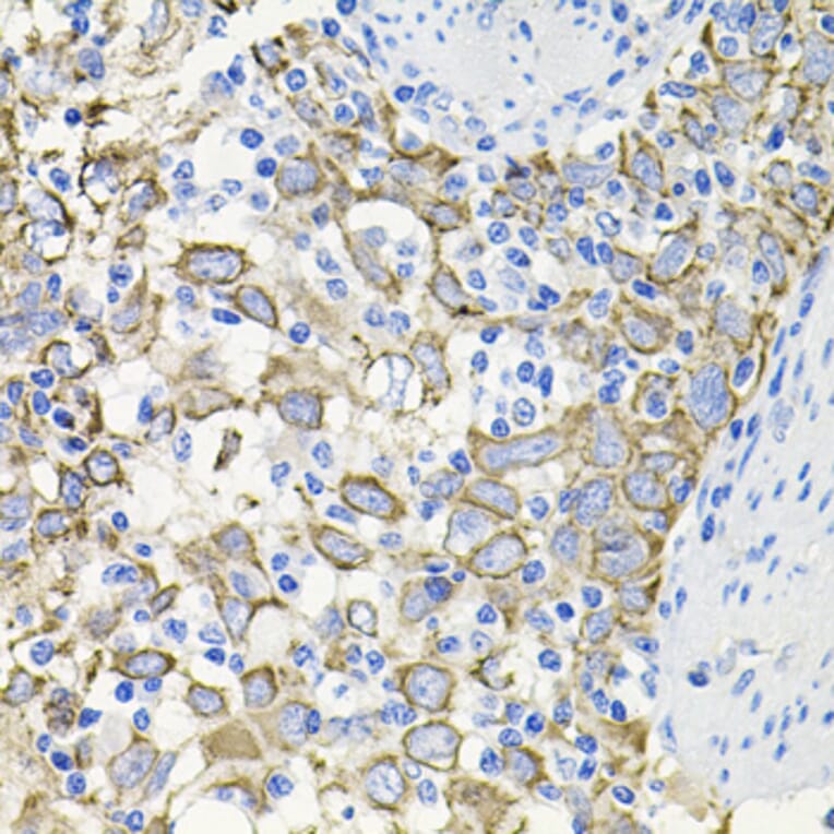
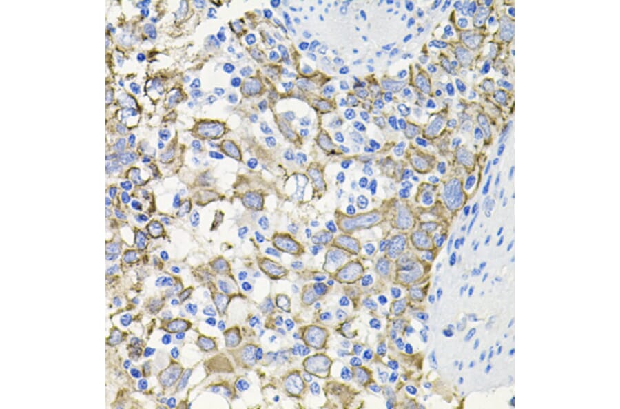
Immunohistochemistry - Anti-Activin Receptor Type IIA/ACVR2A Antibody (A13786)
Immunohistochemistry analysis of paraffin-embedded human esophageal cancer using Anti-Activin Receptor Type IIA/ACVR2A Antibody (A13786) at a dilution of 1:100 (40x lens). Perform microwave antigen retrieval with 10 mM PBS buffer pH 7.2 before commencing with IHC staining protocol.
Immunohistochemistry - Anti-Activin Receptor Type IIA/ACVR2A Antibody (A13786)
Immunohistochemistry analysis of paraffin-embedded mouse brain using Anti-Activin Receptor Type IIA/ACVR2A Antibody (A13786) at a dilution of 1:100 (40x lens). Perform microwave antigen retrieval with 10 mM PBS buffer pH 7.2 before commencing with IHC staining protocol.
Immunofluorescence - Anti-Activin Receptor Type IIA/ACVR2A Antibody (A13786)
Immunofluorescence analysis of NIH/3T3 cells using Anti-Activin Receptor Type IIA/ACVR2A Antibody (A13786) at a dilution of 1:50 (40x lens). DAPI was used to stain the cell nuclei (blue).