Primary Antibodies
Secondary Antibodies
Proteins & Peptides
ELISA Kits
About Us
Contact Us
Sign In/Register
0
ISO 9001:2015 Certified
Live Customer Support
4.5/5 on Trustpilot
100% Quality Guarantee
Home
Primary Antibodies
ACTL8 Antibodies
Anti-ACTL8 Antibody (A37853)
Anti-ACTL8 Antibody (A37853)
Overview
Specifications
Images
Enlarge Image
Enlarge Image
$430
Rabbit polyclonal antibody to ACTL8 for WB and IHC.
100% Guarantee
Price Match Guarantee
Product Size:
100µl
Quantity:
1
2
3
4
5
6
7
8
9
10
Add To Cart
Request a Quotation
Custom or Bulk Request
Shipping Information
Freight/Packing Charges:
$40
Dispatched from St. Louis, MO.
Lead Time: 6-9 business days.
Specifications
Name
Anti-ACTL8 Antibody
Description
Rabbit polyclonal antibody to ACTL8
Specificity
The antibody detects endogenous levels of total ACTL8 protein.
Applications
WB
,
IHC
Reactivity
Human
Immunogen
Fusion protein corresponding to residues near the C terminal of human Actin-like 8
Host
Rabbit
Clonality
Polyclonal
Conjugate
Unconjugated
Purification
Antigen affinity purification.
Concentration
700 µg/ml
Formulation
Rabbit IgG in pH7.3 PBS, 0.05% NaN3, 50% Glycerol.
Storage
Store at -20˚C
Synonyms
Actin-like protein 8, Cancer/testis antigen 57, CT57
Suitable Secondaries
Goat Anti-Rabbit IgG H&L Antibody (AP) (A294874)
Goat Anti-Rabbit IgG H&L Antibody (Biotin) (A294795)
Goat Anti-Rabbit IgG H&L Antibody (FITC) (A294887)
Goat Anti-Rabbit IgG H&L Antibody (HRP) (A294888)
See all Anti-Rabbit IgG Secondaries →
Disclaimer
This product is for research use only. It is not intended for diagnostic or therapeutic use.
Scientific Validation Data
Validation Data
(2)
Enlarge Image
Anti-ACTL8 Antibody (A37853)
Gel: 10% SDS-PAGE Lysates (from left to right): Hela and A549 cell Amount of lysate: 40ug per lane Primary antibody: 1/350 dilution Secondary antibody dilution: 1/8000 Exposure time: 5 seconds
Enlarge Image
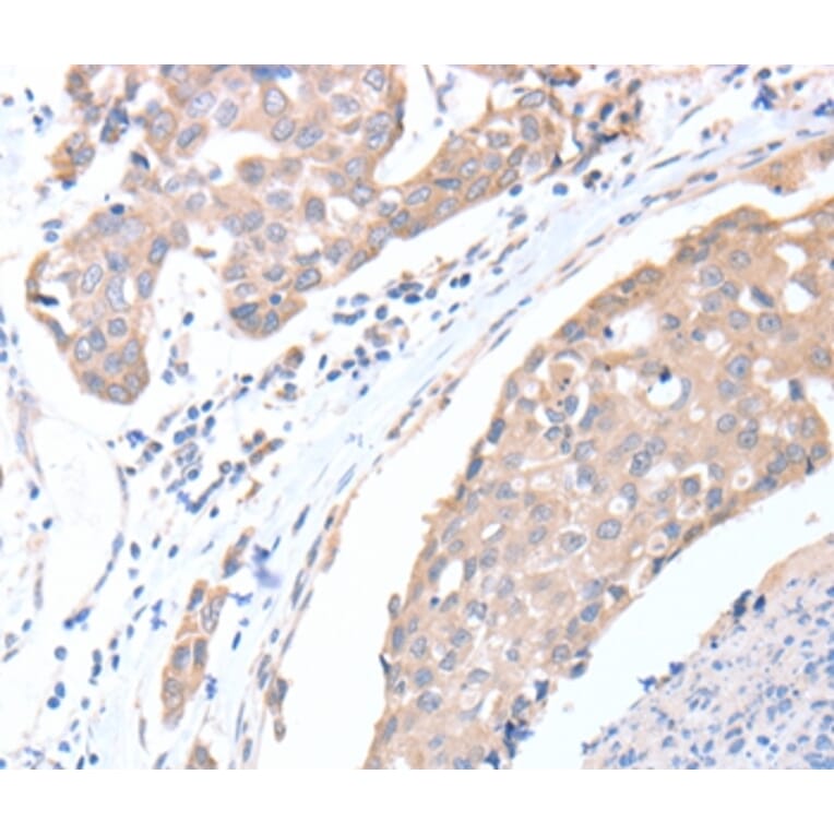
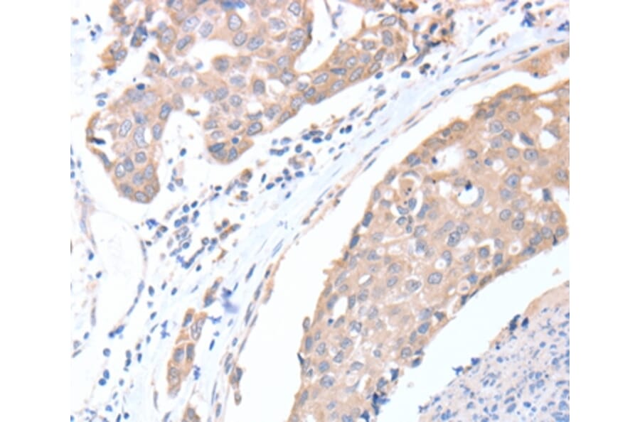
Immunohistochemistry - Anti-ACTL8 Antibody (A37853)
Immunohistochemical analysis of paraffin-embedded Human breast cancer tissue using #36030 at dilution 1/15.
Publishing research using Anti-ACTL8 Antibody (A37853)? Please
let us know
so that we can list the citation on this page.
Alternative products to Anti-ACTL8 Antibody (A37853)
A87650
Anti-ACTL8 Antibody
Rabbit polyclonal antibody to ACTL8 for WB.
A87650
Anti-ACTL8 Antibody
Rabbit polyclonal antibody to ACTL8 for WB.
Proteins predicted to interact with ACTL8
Predicted protein interactions based upon String database. Revelancy score correlates with probability of interaction.
Dynamitin Antibodies
74.8% Relevancy Score
ACTR10 Antibodies
74% Relevancy Score
DCTN4 Antibodies
69.8% Relevancy Score
DCTN6 Antibodies
68.4% Relevancy Score
DCTN5 Antibodies
67.3% Relevancy Score
ACTR1A Antibodies
66.2% Relevancy Score
ACTR1B Antibodies
66.2% Relevancy Score
DCTN3 Antibodies
60.7% Relevancy Score
Smooth Muscle Actin Antibodies
57.1% Relevancy Score
Top