ISO 9001:2015 Certified
Live Customer Support
4.5/5 on Trustpilot
100% Quality Guarantee

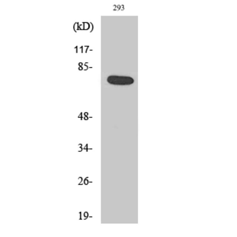
Anti-ACTN1 + ACTN2 + ACTN3 + ACTN4 Antibody (A93742)

Rabbit polyclonal antibody to ACTN1 + ACTN2 + ACTN3 + ACTN4 for WB and ELISA.

Shipping Information

$40
Dispatched from St. Louis, MO.
Lead Time: 6-8 business days.
Name
Anti-ACTN1 + ACTN2 + ACTN3 + ACTN4 Antibody
Description
Rabbit polyclonal antibody to ACTN1 + ACTN2 + ACTN3 + ACTN4.
Applications
WB, ELISA
Dilutions
IHC: 1:50~1:100, ELISA: 1:10000
Reactivity
Human, Mouse, Rat
Immunogen
Synthetic peptide derived from human ACTN1/2/3/4 (amino acids 21-70).
Host
Rabbit
Clonality
Polyclonal
Isotype
IgG
Conjugate

Unconjugated

Purification
Purified from rabbit serum by antigen affinity chromatography using the immunizing phospho peptide.
Molecular Weight
104kDa
Product Form
Liquid
Formulation
Supplied in Phosphate Buffered Saline (without Mg2+ and Ca2+), pH 7.4, with 150mM NaCl, 0.02% Sodium Azide, and 50% Glycerol.
Storage
Shipped at 4°C. Upon delivery aliquot and store at -20°C. Avoid freeze / thaw cycles.
Disclaimer
This product is for research use only. It is not intended for diagnostic or therapeutic use.
Publishing research using Anti-ACTN1 + ACTN2 + ACTN3 + ACTN4 Antibody (A93742)? Please let us know so that we can list the citation on this page.