Primary Antibodies
Secondary Antibodies
Proteins & Peptides
ELISA Kits
About Us
Contact Us
Sign In/Register
0
ISO 9001:2015 Certified
Live Customer Support
4.5/5 on Trustpilot
100% Quality Guarantee
Home
Primary Antibodies
ACY3 Antibodies
Anti-ACY3 Antibody (A38699)
Anti-ACY3 Antibody (A38699)
Overview
Specifications
Images
Enlarge Image
Enlarge Image
$430
Product Datasheet
Rabbit polyclonal antibody to ACY3 for WB and IHC.
100% Guarantee
Price Match Guarantee
Product Size:
100µl
Quantity:
1
2
3
4
5
6
7
8
9
10
Add To Cart
Request a Quotation
Custom or Bulk Request
Shipping Information
Freight/Packing Charges:
$40
Dispatched from St. Louis, MO.
Lead Time: 6-9 business days.
Specifications
Name
Anti-ACY3 Antibody
Description
Rabbit polyclonal antibody to ACY3
Specificity
The antibody detects endogenous levels of total ACY3 protein.
Applications
WB
,
IHC
Reactivity
Human, Mouse
Immunogen
Full length fusion protein
Host
Rabbit
Clonality
Polyclonal
Conjugate
Unconjugated
Purification
Antigen affinity purification.
Concentration
1 mg/mL
Formulation
Supplied in PBS, pH 7.3, containing 0.05% sodium azide and 50% glycerol.
Storage
Shipped at 4°C. Upon delivery aliquot and store at -20°C. Avoid freeze/thaw cycles.
Synonyms
ACY-3, Acylase III, Aminoacylase-3, ASPA2, Aspartoacylase-2, HCBP1, HCV core-binding protein 1, Hepatitis C virus core-binding protein 1, N-acyl-aromatic-L-amino acid amidohydrolase (carboxylate-forming)
Suitable Secondaries
Goat Anti-Rabbit IgG H&L Antibody (AP) (A294874)
Goat Anti-Rabbit IgG H&L Antibody (Biotin) (A294795)
Goat Anti-Rabbit IgG H&L Antibody (FITC) (A294887)
Goat Anti-Rabbit IgG H&L Antibody (HRP) (A294888)
See all Anti-Rabbit IgG Secondaries →
Disclaimer
This product is for research use only. It is not intended for diagnostic or therapeutic use.
Scientific Validation Data
Validation Data
(2)
Enlarge Image
Anti-ACY3 Antibody (A38699)
Gel: 10% SDS-PAGE Lysates (from left to right): Mouse kidney tissue Amount of lysate: 40ug per lane Primary antibody: 1/500 dilution Secondary antibody dilution: 1/8000 Exposure time: 5 seconds
Enlarge Image
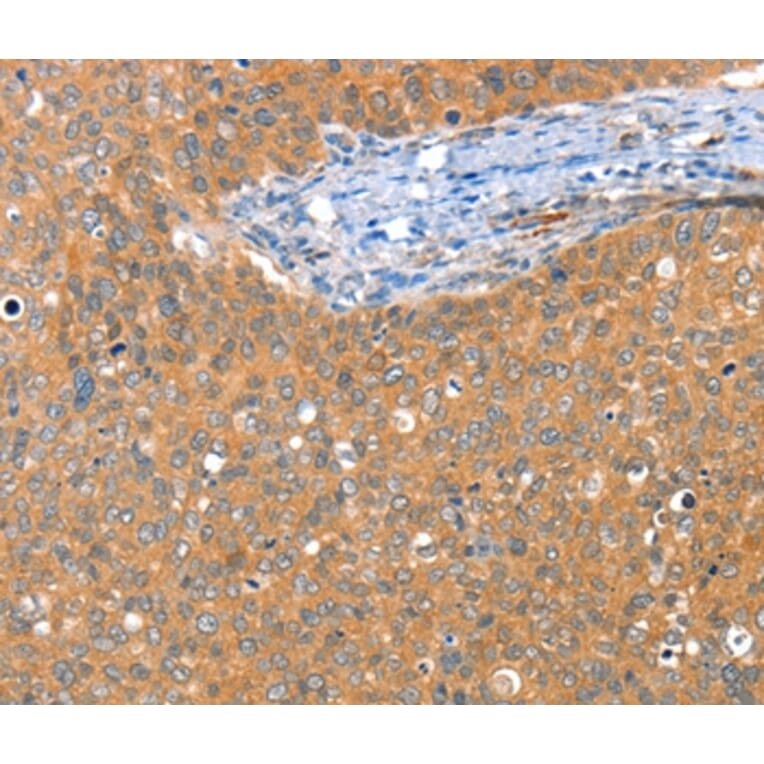
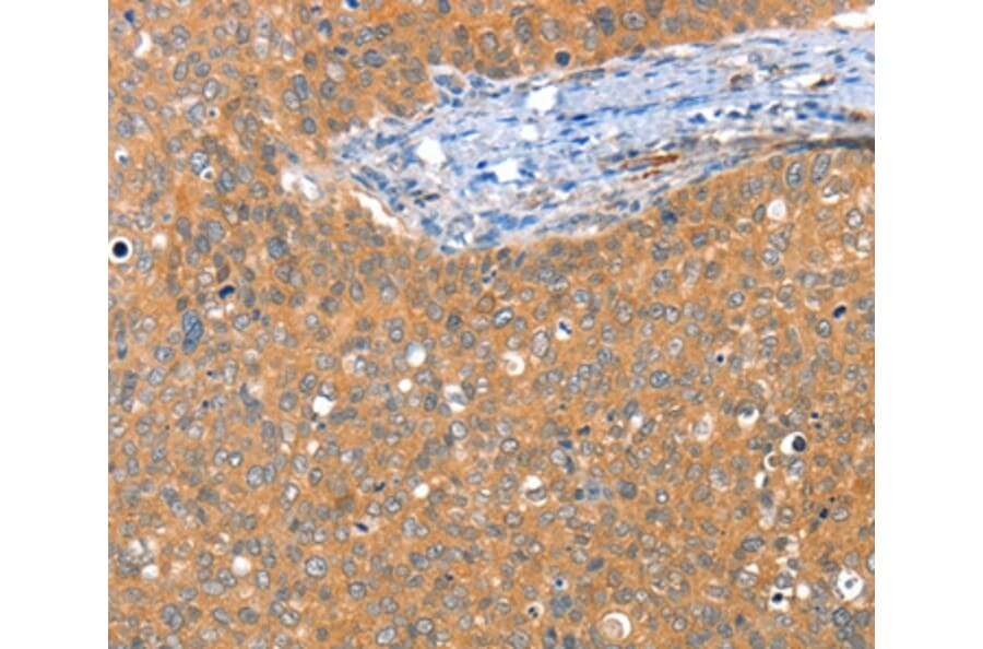
Immunohistochemistry - Anti-ACY3 Antibody (A38699)
Immunohistochemical analysis of paraffin-embedded Human cervical cancer tissue using #36034 at dilution 1/25.
Publishing research using Anti-ACY3 Antibody (A38699)? Please
let us know
so that we can list the citation on this page.
Alternative products to Anti-ACY3 Antibody (A38699)
A344332
Anti-ACY3 Antibody [24GB7925]
Mouse monoclonal [24GB7925] antibody to ACY3 for WB.
A344332
Anti-ACY3 Antibody [24GB7925]
Mouse monoclonal [24GB7925] antibody to ACY3 for WB.
Proteins predicted to interact with ACY3
Predicted protein interactions based upon String database. Revelancy score correlates with probability of interaction.
Aminoacylase 1 Antibodies
79.6% Relevancy Score
ASPA Antibodies
79.5% Relevancy Score
PMM2 Antibodies
60% Relevancy Score
GORASP2 Antibodies
48.3% Relevancy Score
NAT8L Antibodies
46.9% Relevancy Score
DHRS9 Antibodies
45.7% Relevancy Score
SKP1 Antibodies
41.4% Relevancy Score
RBX1 Antibodies
37% Relevancy Score
RNF7 Antibodies
37% Relevancy Score
Top