ISO 9001:2015 Certified
Live Customer Support
4.5/5 on Trustpilot
100% Quality Guarantee

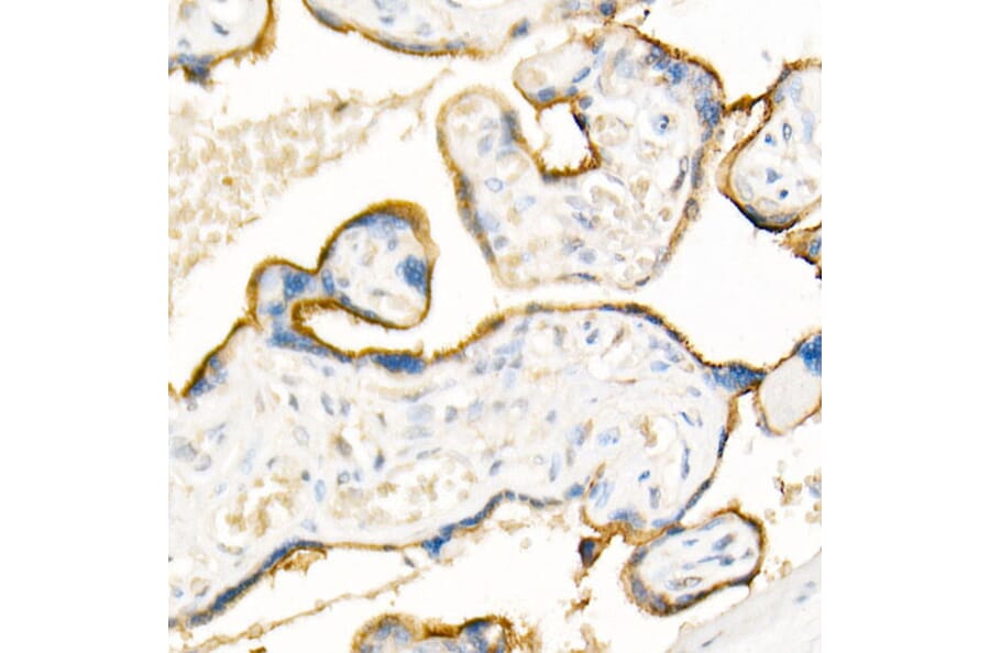
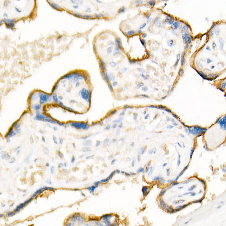
Anti-ADAM12 Antibody (A15989)

Rabbit polyclonal antibody to ADAM12 for WB, IHC and ICC/IF.

Shipping Information

$40
Dispatched from St. Louis, MO.
Lead Time: 7-10 business days.
Name
Anti-ADAM12 Antibody
Description
Rabbit polyclonal antibody to ADAM12.
Applications
WB, IHC, ICC/IF
Dilutions
WB: 1:500-1:2,000, IHC: 1:50-1:200, ICC/IF: 1:50-1:200
Reactivity
Human, Mouse, Rat
Immunogen
Recombinant fusion protein containing a sequence corresponding to amino acids 589-738 of human ADAM12 (NP_067673.2).
Sequence
ASRPVIGTNAVSIETNIPLQQGGRILCRGTHVYLGDDMPDPGLVLAGTKCADGKICLNRQCQNISVFGVHECAMQCHGRGVCNNRKNCHCEAHWAPPFCDKFGFGGSTDSGPIRQAEARQEAAESNRERGQGQEPVGSQEHASTASLTLI
Host
Rabbit
Clonality
Polyclonal
Isotype
IgG
Conjugate

Unconjugated

Purification
Affinity purification.
Concentration
Lot Specific
Molecular Weight
100 kDa
Product Form
Liquid
Formulation
Supplied in Phosphate Buffered Saline, pH 7.3, with 50% Glycerol and 0.02% Sodium Azide.
Storage
Shipped at 4°C. Upon delivery aliquot and store at -20°C. Avoid freeze/thaw cycles.
Synonyms
ADAM 12, Disintegrin and metalloproteinase domain-containing protein 12, Meltrin-alpha, MLTN
Disclaimer
This product is for research use only. It is not intended for diagnostic or therapeutic use.
Publishing research using Anti-ADAM12 Antibody (A15989)? Please let us know so that we can list the citation on this page.

Alternative products to Anti-ADAM12 Antibody (A15989)

Proteins predicted to interact with ADAM12

Predicted protein interactions based upon String database. Revelancy score correlates with probability of interaction.
85.3% Relevancy Score
79% Relevancy Score
75.4% Relevancy Score
71.3% Relevancy Score
70.2% Relevancy Score
69.5% Relevancy Score
68.1% Relevancy Score
67.6% Relevancy Score