Primary Antibodies
Secondary Antibodies
Proteins & Peptides
ELISA Kits
About Us
Contact Us
Sign In/Register
0
ISO 9001:2015 Certified
Live Customer Support
4.5/5 on Trustpilot
100% Quality Guarantee
Home
Primary Antibodies
ADAM17 Antibodies
Anti-ADAM17 Antibody (A45413)
Anti-ADAM17 Antibody (A45413)
Overview
Specifications
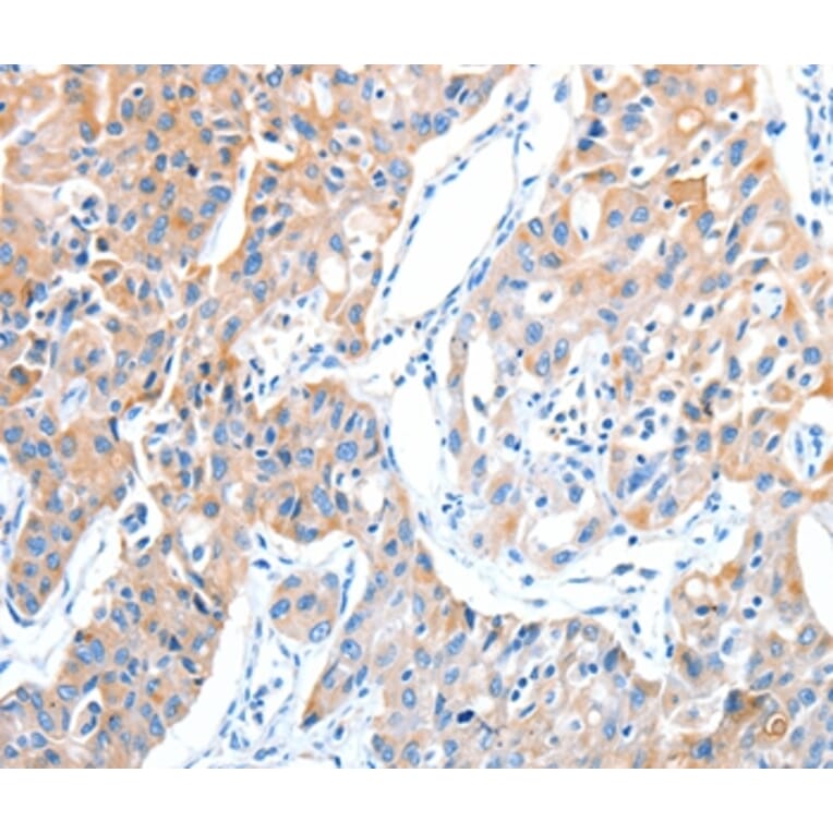
Images
Enlarge Image
Enlarge Image
$405
Rabbit polyclonal antibody to ADAM17 for IHC.
100% Guarantee
Price Match Guarantee
Product Size:
100µl
Quantity:
1
2
3
4
5
6
7
8
9
10
Add To Cart
Request a Quotation
Custom or Bulk Request
Shipping Information
Freight/Packing Charges:
$40
Dispatched from St. Louis, MO.
Lead Time: 6-9 business days.
Specifications
Name
Anti-ADAM17 Antibody
Description
Rabbit polyclonal antibody to ADAM17
Specificity
The antibody detects endogenous levels of total ADAM17 protein.
Applications
IHC
Reactivity
Human
Immunogen
Full length fusion protein
Host
Rabbit
Clonality
Polyclonal
Conjugate
Unconjugated
Purification
Antigen affinity purification.
Concentration
0.5mg / ml
Formulation
Rabbit IgG in pH7.3 PBS, 0.05% NaN3, 50% Glycerol.
Storage
Store at -20˚C
Synonyms
ADAM 17, CD156b, CSVP, Disintegrin and metalloproteinase domain-containing protein 17, Snake venom-like protease, TACE, TNF-alpha convertase, TNF-alpha-converting enzyme
Suitable Secondaries
Goat Anti-Rabbit IgG H&L Antibody (AP) (A294874)
Goat Anti-Rabbit IgG H&L Antibody (Biotin) (A294795)
Goat Anti-Rabbit IgG H&L Antibody (FITC) (A294887)
Goat Anti-Rabbit IgG H&L Antibody (HRP) (A294888)
See all Anti-Rabbit IgG Secondaries →
Disclaimer
This product is for research use only. It is not intended for diagnostic or therapeutic use.
Scientific Validation Data
Validation Data
(2)
Enlarge Image
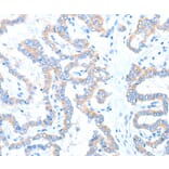
Immunohistochemistry - Anti-ADAM17 Antibody (A45413)
Immunohistochemical analysis of paraffin-embedded Human thyroid cancer tissue using #36043 at dilution 1/15.
Enlarge Image
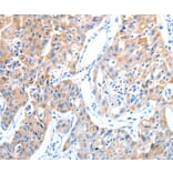
Immunohistochemistry - Anti-ADAM17 Antibody (A45413)
Immunohistochemical analysis of paraffin-embedded Human lung cancer tissue using #36043 at dilution 1/15.
Publishing research using Anti-ADAM17 Antibody (A45413)? Please
let us know
so that we can list the citation on this page.
Most popular Anti-ADAM17 Antibodies
A83218
Anti-ADAM17 Antibody
Goat polyclonal antibody to ADAM17 for ELISA and WB.
A83218
Anti-ADAM17 Antibody
Goat polyclonal antibody to ADAM17 for ELISA and WB.
Alternative products to Anti-ADAM17 Antibody (A45413)
(2)
A48678
Anti-TACE Antibody
Rabbit polyclonal antibody to TACE for E, WB, ICC, IF and FC.
(5)
A16782
Anti-ADAM17 Antibody
Rabbit polyclonal antibody to ADAM17 for WB, IHC and ICC/IF.
A50619
Anti-ADAM 17 (Phospho-Thr735) Antibody
Rabbit polyclonal antibody to ADAM 17 (Phospho-Thr735) for WB.
(2)
A47514
Anti-ADAM-17 Antibody
rabbit polyclonal antibody to ADAM-17 for ELISA, WB and IHC.
A93544
Anti-ADAM 17 (phospho Thr735) Antibody
Rabbit polyclonal antibody to ADAM 17 (phospho Thr735) for WB and ELISA.
A96606
Anti-ADAM 17 Antibody
Rabbit polyclonal antibody to ADAM 17 for IF and ELISA.
A95397
Anti-ADAM 17 (cleaved Arg215) Antibody
Rabbit polyclonal antibody to ADAM 17 (cleaved Arg215) for WB and ELISA.
(2)
A48678
Anti-TACE Antibody
Rabbit polyclonal antibody to TACE for E, WB, ICC, IF and FC.
(5)
A16782
Anti-ADAM17 Antibody
Rabbit polyclonal antibody to ADAM17 for WB, IHC and ICC/IF.
A50619
Anti-ADAM 17 (Phospho-Thr735) Antibody
Rabbit polyclonal antibody to ADAM 17 (Phospho-Thr735) for WB.
(2)
A47514
Anti-ADAM-17 Antibody
rabbit polyclonal antibody to ADAM-17 for ELISA, WB and IHC.
A93544
Anti-ADAM 17 (phospho Thr735) Antibody
Rabbit polyclonal antibody to ADAM 17 (phospho Thr735) for WB and ELISA.
A96606
Anti-ADAM 17 Antibody
Rabbit polyclonal antibody to ADAM 17 for IF and ELISA.
A95397
Anti-ADAM 17 (cleaved Arg215) Antibody
Rabbit polyclonal antibody to ADAM 17 (cleaved Arg215) for WB and ELISA.
See all ADAM17 Antibodies
Proteins predicted to interact with ADAM17
Predicted protein interactions based upon String database. Revelancy score correlates with probability of interaction.
TIMP3 Antibodies
99.6% Relevancy Score
HBEGF Antibodies
96.7% Relevancy Score
ADAM10 Antibodies
95.8% Relevancy Score
Notch1 Antibodies
95.3% Relevancy Score
TNF alpha Antibodies
95% Relevancy Score
Notch2 Antibodies
94.2% Relevancy Score
Notch3 Antibodies
94% Relevancy Score
Furin Antibodies
93.9% Relevancy Score
Notch4 Antibodies
93.8% Relevancy Score
Top