Primary Antibodies
Secondary Antibodies
Proteins & Peptides
ELISA Kits
About Us
Contact Us
Sign In/Register
0
ISO 9001:2015 Certified
Live Customer Support
4.5/5 on Trustpilot
100% Quality Guarantee
Home
Primary Antibodies
ADAMTS14 Antibodies
Anti-ADAMTS14 Antibody (A45003)
Anti-ADAMTS14 Antibody (A45003)
Overview
Specifications
Images
Enlarge Image
$430
Product Datasheet
Rabbit polyclonal antibody to ADAMTS14 for IHC.
100% Guarantee
Price Match Guarantee
Product Size:
100µl
Quantity:
1
2
3
4
5
6
7
8
9
10
Add To Cart
Request a Quotation
Custom or Bulk Request
Shipping Information
Freight/Packing Charges:
$40
Dispatched from St. Louis, MO.
Lead Time: 6-9 business days.
Specifications
Name
Anti-ADAMTS14 Antibody
Description
Rabbit polyclonal antibody to ADAMTS14
Specificity
The antibody detects endogenous levels of total ADAMTS14 protein.
Applications
IHC
Reactivity
Human
Immunogen
Synthetic peptide corresponding to a region derived from internal residues of human ADAM metallopeptidase with thrombospondin type 1 motif, 14
Host
Rabbit
Clonality
Polyclonal
Conjugate
Unconjugated
Purification
Antigen affinity purification.
Concentration
2.1 mg/mL
Formulation
Supplied in PBS, pH 7.3, containing 0.05% sodium azide and 50% glycerol.
Storage
Shipped at 4°C. Upon delivery aliquot and store at -20°C. Avoid freeze/thaw cycles.
Synonyms
A disintegrin and metalloproteinase with thrombospondin motifs 14, ADAM-TS 14, ADAM-TS14, ADAMTS-14
Suitable Secondaries
Goat Anti-Rabbit IgG H&L Antibody (AP) (A294874)
Goat Anti-Rabbit IgG H&L Antibody (Biotin) (A294795)
Goat Anti-Rabbit IgG H&L Antibody (FITC) (A294887)
Goat Anti-Rabbit IgG H&L Antibody (HRP) (A294888)
See all Anti-Rabbit IgG Secondaries →
Disclaimer
This product is for research use only. It is not intended for diagnostic or therapeutic use.
Scientific Validation Data
Validation Data
(1)
Enlarge Image
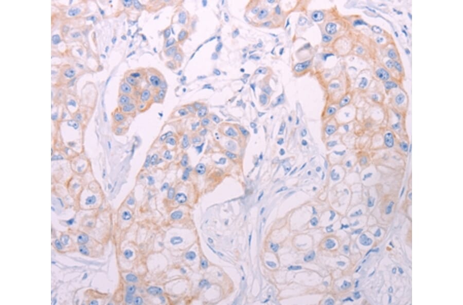
Immunohistochemistry - Anti-ADAMTS14 Antibody (A45003)
Immunohistochemical analysis of paraffin-embedded Human breast cancer tissue using #37313 at dilution 1/50.
Publishing research using Anti-ADAMTS14 Antibody (A45003)? Please
let us know
so that we can list the citation on this page.
Proteins predicted to interact with ADAMTS14
Predicted protein interactions based upon String database. Revelancy score correlates with probability of interaction.
SGPL1 Antibodies
83.6% Relevancy Score
COL1A2 Antibodies
62.1% Relevancy Score
COL5A1 Antibodies
60% Relevancy Score
Furin Antibodies
59.6% Relevancy Score
Collagen I Antibodies
58.6% Relevancy Score
Collagen V Antibodies
58.6% Relevancy Score
COL11A1 Antibodies
57.4% Relevancy Score
LZTR2 Antibodies
54% Relevancy Score
Collagen III Antibodies
53.5% Relevancy Score
Top