Primary Antibodies
Secondary Antibodies
Proteins & Peptides
ELISA Kits
About Us
Contact Us
Sign In/Register
0
ISO 9001:2015 Certified
Live Customer Support
4.5/5 on Trustpilot
100% Quality Guarantee
Home
Primary Antibodies
ADAMTS15 Antibodies
Anti-ADAMTS15 Antibody (A44982)
Anti-ADAMTS15 Antibody (A44982)
Overview
Specifications
Images
Enlarge Image
Enlarge Image
$430
Product Datasheet
Rabbit polyclonal antibody to ADAMTS15 for IHC.
100% Guarantee
Price Match Guarantee
Product Size:
100µl
Quantity:
1
2
3
4
5
6
7
8
9
10
Add To Cart
Request a Quotation
Custom or Bulk Request
Shipping Information
Freight/Packing Charges:
$40
Dispatched from St. Louis, MO.
Lead Time: 6-9 business days.
Specifications
Name
Anti-ADAMTS15 Antibody
Description
Rabbit polyclonal antibody to ADAMTS15
Specificity
The antibody detects endogenous levels of total ADAMTS15 protein.
Applications
IHC
Reactivity
Human
Immunogen
Fusion protein corresponding to residues near the C terminal of human ADAM metallopeptidase with thrombospondin type 1 motif, 15
Host
Rabbit
Clonality
Polyclonal
Conjugate
Unconjugated
Purification
Antigen affinity purification.
Concentration
1.9 mg/mL
Formulation
Supplied in PBS, pH 7.3, containing 0.05% sodium azide and 50% glycerol.
Storage
Shipped at 4°C. Upon delivery aliquot and store at -20°C. Avoid freeze/thaw cycles.
Synonyms
A disintegrin and metalloproteinase with thrombospondin motifs 15, ADAM-TS 15, ADAM-TS15, ADAMTS-15
Suitable Secondaries
Goat Anti-Rabbit IgG H&L Antibody (AP) (A294874)
Goat Anti-Rabbit IgG H&L Antibody (Biotin) (A294795)
Goat Anti-Rabbit IgG H&L Antibody (FITC) (A294887)
Goat Anti-Rabbit IgG H&L Antibody (HRP) (A294888)
See all Anti-Rabbit IgG Secondaries →
Disclaimer
This product is for research use only. It is not intended for diagnostic or therapeutic use.
Scientific Validation Data
Validation Data
(2)
Enlarge Image
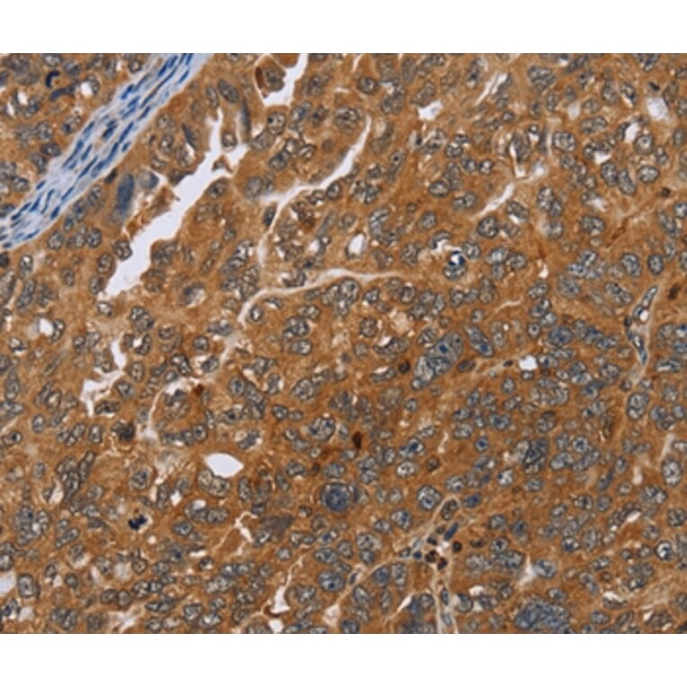
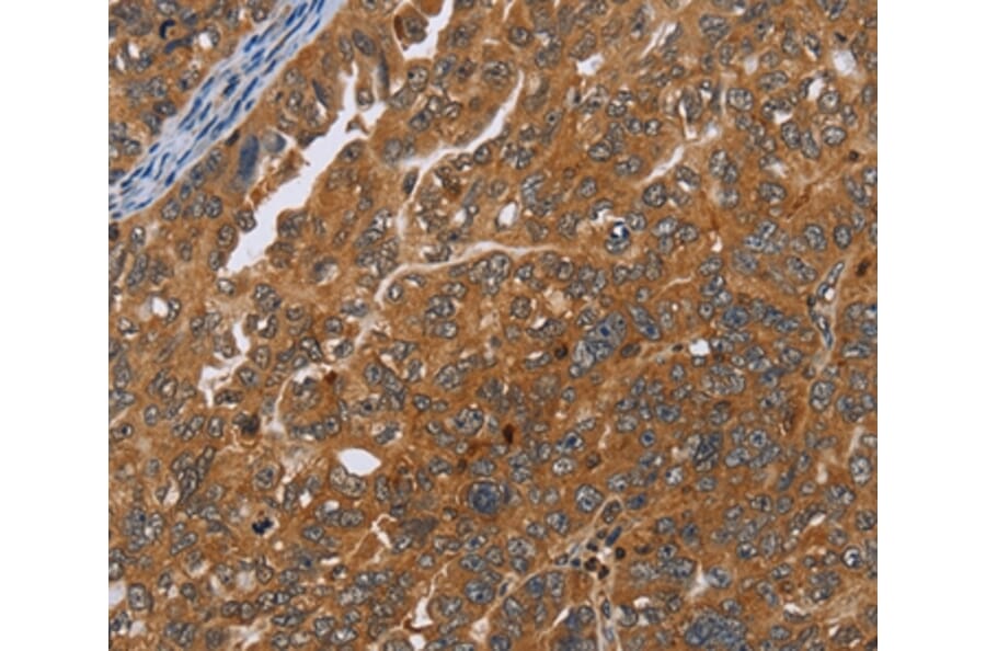
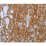
Immunohistochemistry - Anti-ADAMTS15 Antibody (A44982)
Immunohistochemical analysis of paraffin-embedded Human ovarian cancer tissue using #35644 at dilution 1/40.
Enlarge Image
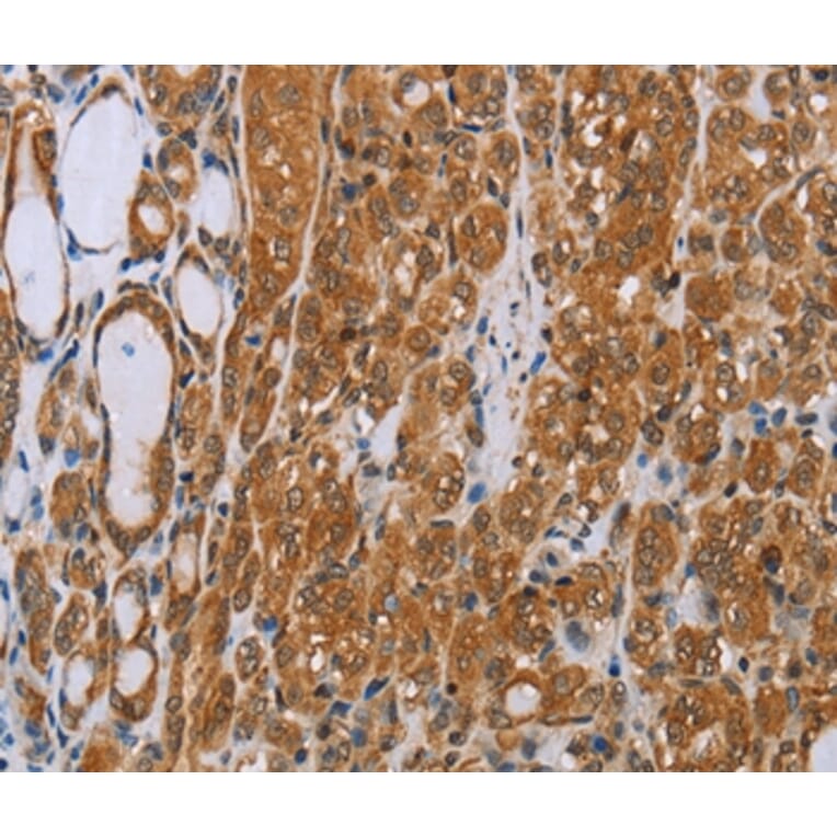
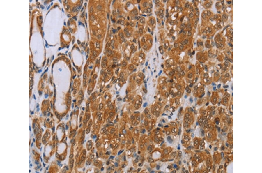
Immunohistochemistry - Anti-ADAMTS15 Antibody (A44982)
Immunohistochemical analysis of paraffin-embedded Human thyroid cancer tissue using #35644 at dilution 1/40.
Publishing research using Anti-ADAMTS15 Antibody (A44982)? Please
let us know
so that we can list the citation on this page.
Proteins predicted to interact with ADAMTS15
Predicted protein interactions based upon String database. Revelancy score correlates with probability of interaction.
Aggrecan Antibodies
67.2% Relevancy Score
Furin Antibodies
54.2% Relevancy Score
CD36 Antibodies
46.7% Relevancy Score
Brevican Antibodies
46.6% Relevancy Score
LIMPII Antibodies
45.1% Relevancy Score
THSD1 Antibodies
44.6% Relevancy Score
POFUT2 Antibodies
43.8% Relevancy Score
SR-BI Antibodies
43% Relevancy Score
B3GALTL Antibodies
43% Relevancy Score
Top