Primary Antibodies
Secondary Antibodies
Proteins & Peptides
ELISA Kits
About Us
Contact Us
Sign In/Register
0
ISO 9001:2015 Certified
Live Customer Support
4.5/5 on Trustpilot
100% Quality Guarantee
Home
Primary Antibodies
ADAMTS2 Antibodies
Anti-ADAMTS2 Antibody (A45154)
Anti-ADAMTS2 Antibody (A45154)
Overview
Specifications
Images
Enlarge Image
Enlarge Image
$405
Rabbit polyclonal antibody to ADAMTS2 for IHC.
100% Guarantee
Price Match Guarantee
Product Size:
100µl
Quantity:
1
2
3
4
5
6
7
8
9
10
Add To Cart
Request a Quotation
Custom or Bulk Request
Shipping Information
Freight/Packing Charges:
$40
Dispatched from St. Louis, MO.
Lead Time: 6-9 business days.
Specifications
Name
Anti-ADAMTS2 Antibody
Description
Rabbit polyclonal antibody to ADAMTS2
Specificity
The antibody detects endogenous levels of total ADAMTS2 protein.
Applications
IHC
Reactivity
Human
Immunogen
Synthetic peptide corresponding to residues near the C terminal of human ADAM metallopeptidase with thrombospondin type 1 motif, 2
Host
Rabbit
Clonality
Polyclonal
Conjugate
Unconjugated
Purification
Antigen affinity purification.
Concentration
800 µg/ml
Formulation
Rabbit IgG in pH7.3 PBS, 0.05% NaN3, 50% Glycerol.
Storage
Store at -20˚C
Synonyms
A disintegrin and metalloproteinase with thrombospondin motifs 2, ADAM-TS 2, ADAM-TS2, ADAMTS-2, PC I-NP, PCINP, PCPNI, pNPI, Procollagen I N-proteinase, Procollagen I/II amino propeptide-processing enzyme, Procollagen N-endopeptidase
Suitable Secondaries
Goat Anti-Rabbit IgG H&L Antibody (AP) (A294874)
Goat Anti-Rabbit IgG H&L Antibody (Biotin) (A294795)
Goat Anti-Rabbit IgG H&L Antibody (FITC) (A294887)
Goat Anti-Rabbit IgG H&L Antibody (HRP) (A294888)
See all Anti-Rabbit IgG Secondaries →
Disclaimer
This product is for research use only. It is not intended for diagnostic or therapeutic use.
Scientific Validation Data
Validation Data
(2)
Enlarge Image
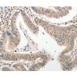
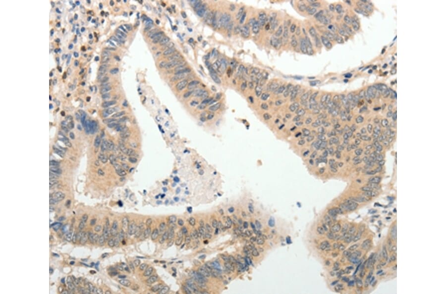
Immunohistochemistry - Anti-ADAMTS2 Antibody (A45154)
Immunohistochemical analysis of paraffin-embedded Human colon cancer tissue using #37082 at dilution 1/25.
Enlarge Image
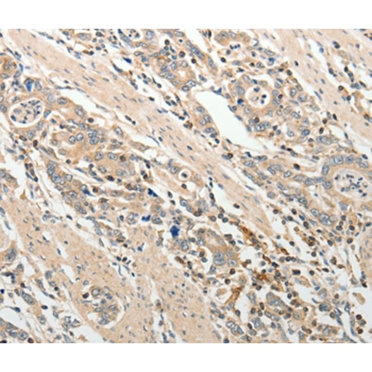
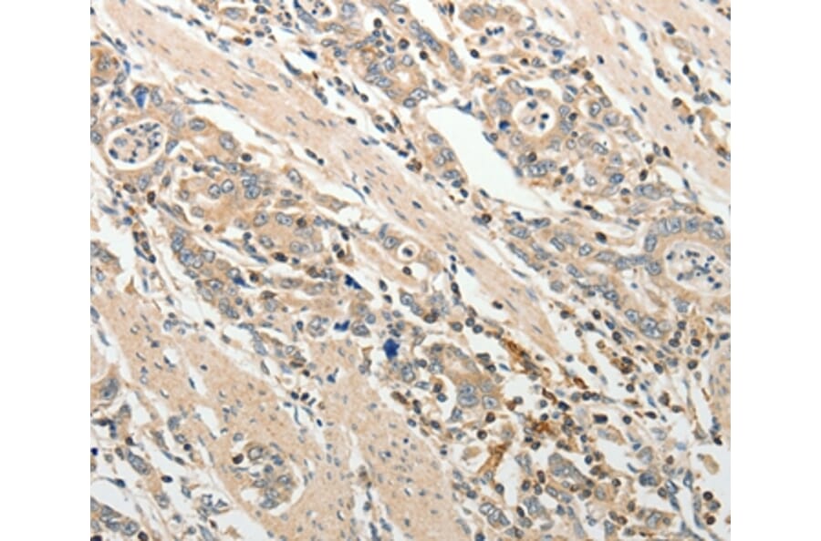
Immunohistochemistry - Anti-ADAMTS2 Antibody (A45154)
Immunohistochemical analysis of paraffin-embedded Human gastric cancer tissue using #37082 at dilution 1/25.
Publishing research using Anti-ADAMTS2 Antibody (A45154)? Please
let us know
so that we can list the citation on this page.
Alternative products to Anti-ADAMTS2 Antibody (A45154)
A28285
Anti-ADAMTS2 Antibody
Rabbit polyclonal antibody to ADAMTS2 for WB.
A28285
Anti-ADAMTS2 Antibody
Rabbit polyclonal antibody to ADAMTS2 for WB.
Proteins predicted to interact with ADAMTS2
Predicted protein interactions based upon String database. Revelancy score correlates with probability of interaction.
COL1A2 Antibodies
94.6% Relevancy Score
Collagen I Antibodies
93.6% Relevancy Score
Collagen III Antibodies
89.1% Relevancy Score
CCBE1 Antibodies
85.2% Relevancy Score
EFEMP2 Antibodies
83.7% Relevancy Score
COL5A1 Antibodies
82.6% Relevancy Score
Collagen V Antibodies
79.7% Relevancy Score
Fibulin 5 Antibodies
78.9% Relevancy Score
ATP6V0A2 Antibodies
78.6% Relevancy Score
Top