Primary Antibodies
Secondary Antibodies
Proteins & Peptides
ELISA Kits
About Us
Contact Us
Sign In/Register
0
ISO 9001:2015 Certified
Live Customer Support
4.5/5 on Trustpilot
100% Quality Guarantee
Home
Primary Antibodies
ADAMTS6 Antibodies
Anti-ADAMTS6 Antibody (A45155)
Anti-ADAMTS6 Antibody (A45155)
Overview
Specifications
Images
Enlarge Image
$430
Product Datasheet
Rabbit polyclonal antibody to ADAMTS6 for IHC.
100% Guarantee
Price Match Guarantee
Product Size:
100µl
Quantity:
1
2
3
4
5
6
7
8
9
10
Add To Cart
Request a Quotation
Custom or Bulk Request
Shipping Information
Freight/Packing Charges:
$40
Dispatched from St. Louis, MO.
Lead Time: 6-9 business days.
Specifications
Name
Anti-ADAMTS6 Antibody
Description
Rabbit polyclonal antibody to ADAMTS6
Specificity
The antibody detects endogenous levels of total ADAMTS6 protein.
Applications
IHC
Reactivity
Human
Immunogen
Synthetic peptide corresponding to a region derived from internal residues of human ADAM metallopeptidase with thrombospondin type 1 motif, 6
Host
Rabbit
Clonality
Polyclonal
Conjugate
Unconjugated
Purification
Antigen affinity purification.
Concentration
0.7 mg/mL
Formulation
Supplied in PBS, pH 7.3, containing 0.05% sodium azide and 50% glycerol.
Storage
Shipped at 4°C. Upon delivery aliquot and store at -20°C. Avoid freeze/thaw cycles.
Synonyms
A disintegrin and metalloproteinase with thrombospondin motifs 6, ADAM-TS 6, ADAM-TS6, ADAMTS-6
Suitable Secondaries
Goat Anti-Rabbit IgG H&L Antibody (AP) (A294874)
Goat Anti-Rabbit IgG H&L Antibody (Biotin) (A294795)
Goat Anti-Rabbit IgG H&L Antibody (FITC) (A294887)
Goat Anti-Rabbit IgG H&L Antibody (HRP) (A294888)
See all Anti-Rabbit IgG Secondaries →
Disclaimer
This product is for research use only. It is not intended for diagnostic or therapeutic use.
Scientific Validation Data
Validation Data
(1)
Enlarge Image
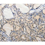
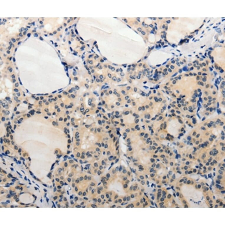
Immunohistochemistry - Anti-ADAMTS6 Antibody (A45155)
Immunohistochemical analysis of paraffin-embedded Human thyroid cancer tissue using #37083 at dilution 1/20.
Publishing research using Anti-ADAMTS6 Antibody (A45155)? Please
let us know
so that we can list the citation on this page.
Proteins predicted to interact with ADAMTS6
Predicted protein interactions based upon String database. Revelancy score correlates with probability of interaction.
Furin Antibodies
71.4% Relevancy Score
Fibrillin 1 Antibodies
62.9% Relevancy Score
LTBP1 Antibodies
57.2% Relevancy Score
POFUT2 Antibodies
53.7% Relevancy Score
LOX Antibodies
48.8% Relevancy Score
Syndecan 4 Antibodies
46.3% Relevancy Score
B3GALTL Antibodies
44.4% Relevancy Score
COMP Antibodies
43.8% Relevancy Score
GLT8D2 Antibodies
41.4% Relevancy Score
Top