Primary Antibodies
Secondary Antibodies
Proteins & Peptides
ELISA Kits
About Us
Contact Us
Sign In/Register
0
ISO 9001:2015 Certified
Live Customer Support
4.5/5 on Trustpilot
100% Quality Guarantee
Home
Primary Antibodies
Centaurin alpha 1 Antibodies
Anti-ADAP1 Antibody (A37783)
Anti-ADAP1 Antibody (A37783)
Overview
Specifications
Images
Enlarge Image
Enlarge Image
$430
Product Datasheet
Rabbit polyclonal antibody to ADAP1 for WB and IHC.
100% Guarantee
Price Match Guarantee
Product Size:
100µl
Quantity:
1
2
3
4
5
6
7
8
9
10
Add To Cart
Request a Quotation
Custom or Bulk Request
Shipping Information
Freight/Packing Charges:
$40
Dispatched from St. Louis, MO.
Lead Time: 6-9 business days.
Specifications
Name
Anti-ADAP1 Antibody
Description
Rabbit polyclonal antibody to ADAP1
Specificity
The antibody detects endogenous levels of total ADAP1 protein.
Applications
WB
,
IHC
Reactivity
Human, Mouse
Immunogen
Fusion protein corresponding to residues near the N terminal of human Arf-GAP with dual PH domain-containing protein 1
Host
Rabbit
Clonality
Polyclonal
Conjugate
Unconjugated
Purification
Antigen affinity purification.
Concentration
0.8 mg/mL
Formulation
Supplied in PBS, pH 7.3, containing 0.05% sodium azide and 50% glycerol.
Storage
Shipped at 4°C. Upon delivery aliquot and store at -20°C. Avoid freeze/thaw cycles.
Synonyms
Arf-GAP with dual PH domain-containing protein 1, CENTA1, Centaurin-alpha-1, Cnt-a1, Putative MAPK-activating protein PM25
Suitable Secondaries
Goat Anti-Rabbit IgG H&L Antibody (AP) (A294874)
Goat Anti-Rabbit IgG H&L Antibody (Biotin) (A294795)
Goat Anti-Rabbit IgG H&L Antibody (FITC) (A294887)
Goat Anti-Rabbit IgG H&L Antibody (HRP) (A294888)
See all Anti-Rabbit IgG Secondaries →
Disclaimer
This product is for research use only. It is not intended for diagnostic or therapeutic use.
Scientific Validation Data
Validation Data
(2)
Enlarge Image
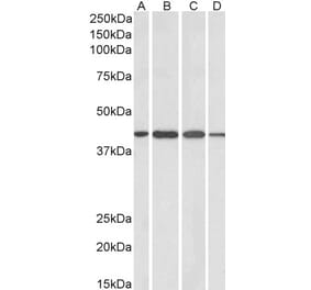
Anti-ADAP1 Antibody (A37783)
Gel: 10% SDS-PAGE Lysates (from left to right): Mouse brain tissue Amount of lysate: 40ug per lane Primary antibody: 1/500 dilution Secondary antibody dilution: 1/8000 Exposure time: 15 seconds
Enlarge Image
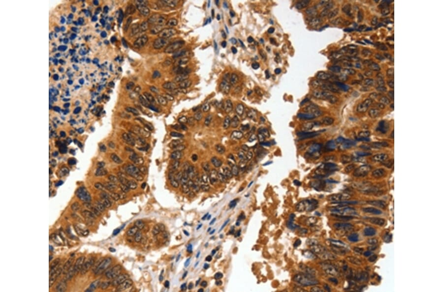
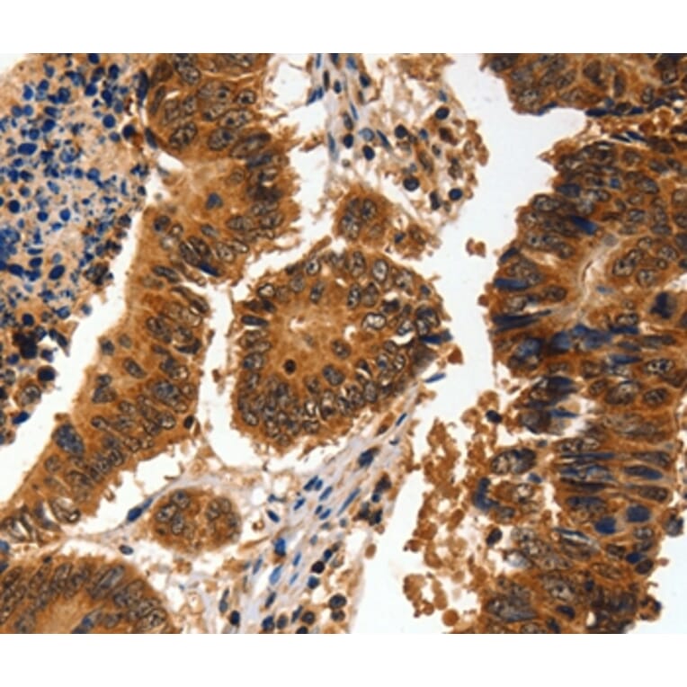
Immunohistochemistry - Anti-ADAP1 Antibody (A37783)
Immunohistochemical analysis of paraffin-embedded Human colon cancer tissue using #35561 at dilution 1/100.
Publishing research using Anti-ADAP1 Antibody (A37783)? Please
let us know
so that we can list the citation on this page.
Alternative products to Anti-ADAP1 Antibody (A37783)
A83970
Anti-Centaurin alpha 1 Antibody
Goat polyclonal antibody to Centaurin alpha 1 for ELISA and WB.
A83970
Anti-Centaurin alpha 1 Antibody
Goat polyclonal antibody to Centaurin alpha 1 for ELISA and WB.
Proteins predicted to interact with Centaurin alpha 1
Predicted protein interactions based upon String database. Revelancy score correlates with probability of interaction.
KIF13B Antibodies
99.3% Relevancy Score
Nucleolin Antibodies
87% Relevancy Score
ARF6 Antibodies
83.8% Relevancy Score
Nardilysin Antibodies
79.9% Relevancy Score
ErbB4 Antibodies
76.7% Relevancy Score
Pleckstrin Antibodies
70.7% Relevancy Score
ARF1 Antibodies
67.8% Relevancy Score
RanBP9 Antibodies
66.9% Relevancy Score
KIF13A Antibodies
66.6% Relevancy Score
Top