Primary Antibodies
Secondary Antibodies
Proteins & Peptides
ELISA Kits
About Us
Contact Us
Sign In/Register
0
ISO 9001:2015 Certified
Live Customer Support
4.5/5 on Trustpilot
100% Quality Guarantee
Home
Primary Antibodies
ADAR1 Antibodies
Anti-ADAR Antibody (A46862)
Anti-ADAR Antibody (A46862)
Overview
Specifications
Images
Enlarge Image
Enlarge Image
$430
Product Datasheet
Rabbit polyclonal antibody to ADAR for IHC.
100% Guarantee
Price Match Guarantee
Product Size:
100µl
Quantity:
1
2
3
4
5
6
7
8
9
10
Add To Cart
Request a Quotation
Custom or Bulk Request
Shipping Information
Freight/Packing Charges:
$40
Dispatched from St. Louis, MO.
Lead Time: 6-9 business days.
Specifications
Name
Anti-ADAR Antibody
Description
Rabbit polyclonal antibody to ADAR
Specificity
The antibody detects endogenous levels of total ADAR protein.
Applications
IHC
Reactivity
Human
Immunogen
Synthetic peptide corresponding to a region derived from internal residues of human adenosine deaminase, RNA-specific
Host
Rabbit
Clonality
Polyclonal
Conjugate
Unconjugated
Purification
Antigen affinity purification.
Concentration
1.4 mg/mL
Formulation
Supplied in PBS, pH 7.3, containing 0.05% sodium azide and 50% glycerol.
Storage
Shipped at 4°C. Upon delivery aliquot and store at -20°C. Avoid freeze/thaw cycles.
Synonyms
136 kDa double-stranded RNA-binding protein, Double-stranded RNA-specific adenosine deaminase, DRADA, DSRAD, G1P1, IFI-4, IFI4, Interferon-inducible protein 4, K88DSRBP, p136
Suitable Secondaries
Goat Anti-Rabbit IgG H&L Antibody (AP) (A294874)
Goat Anti-Rabbit IgG H&L Antibody (Biotin) (A294795)
Goat Anti-Rabbit IgG H&L Antibody (FITC) (A294887)
Goat Anti-Rabbit IgG H&L Antibody (HRP) (A294888)
See all Anti-Rabbit IgG Secondaries →
Disclaimer
This product is for research use only. It is not intended for diagnostic or therapeutic use.
Scientific Validation Data
Validation Data
(2)
Enlarge Image
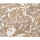
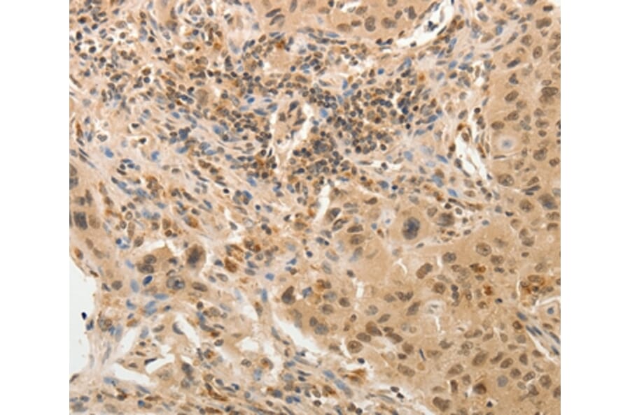
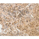
Immunohistochemistry - Anti-ADAR Antibody (A46862)
Immunohistochemical analysis of paraffin-embedded Human gastric cancer tissue using #37084 at dilution 1/40.
Enlarge Image
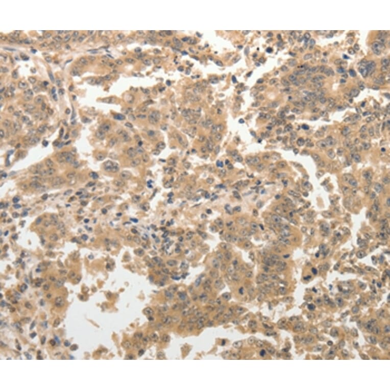
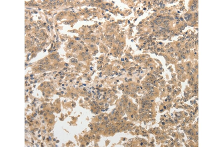
Immunohistochemistry - Anti-ADAR Antibody (A46862)
Immunohistochemical analysis of paraffin-embedded Human lung cancer tissue using #37084 at dilution 1/40.
Publishing research using Anti-ADAR Antibody (A46862)? Please
let us know
so that we can list the citation on this page.
Alternative products to Anti-ADAR Antibody (A46862)
(4)
A81047
Anti-ADAR1 Antibody [ARC0602]
Rabbit monoclonal [ARC0602] antibody to ADAR1 for WB and IHC.
(3)
A15941
Anti-ADAR1 Antibody
Rabbit polyclonal antibody to ADAR1 for WB, IHC and ICC/IF.
A97053
Anti-ADAR1 Antibody
Rabbit polyclonal antibody to ADAR1 for IHC, IF, WB and ELISA.
A45814
Anti-ADAR1 Antibody
Rabbit polyclonal antibody to ADAR1 for IHC.
A344339
Anti-ADAR1 Antibody [25GB3090]
Recombinant rabbit monoclonal [25GB3090] antibody to ADAR1 for WB, Flow Cytometry and ICC/IF.
A344338
Anti-ADAR1 Antibody [24GB3705]
Recombinant rabbit monoclonal [24GB3705] antibody to ADAR1 for WB, Flow Cytometry and ICC/IF.
(4)
A81047
Anti-ADAR1 Antibody [ARC0602]
Rabbit monoclonal [ARC0602] antibody to ADAR1 for WB and IHC.
(3)
A15941
Anti-ADAR1 Antibody
Rabbit polyclonal antibody to ADAR1 for WB, IHC and ICC/IF.
A97053
Anti-ADAR1 Antibody
Rabbit polyclonal antibody to ADAR1 for IHC, IF, WB and ELISA.
A45814
Anti-ADAR1 Antibody
Rabbit polyclonal antibody to ADAR1 for IHC.
A344339
Anti-ADAR1 Antibody [25GB3090]
Recombinant rabbit monoclonal [25GB3090] antibody to ADAR1 for WB, Flow Cytometry and ICC/IF.
A344338
Anti-ADAR1 Antibody [24GB3705]
Recombinant rabbit monoclonal [24GB3705] antibody to ADAR1 for WB, Flow Cytometry and ICC/IF.
See all ADAR Antibodies
Proteins predicted to interact with ADAR1
Predicted protein interactions based upon String database. Revelancy score correlates with probability of interaction.
Dicer Antibodies
99.3% Relevancy Score
Axin 1 Antibodies
99.3% Relevancy Score
UPF1 Antibodies
98.3% Relevancy Score
ADA Antibodies
95.2% Relevancy Score
hnRNP G Antibodies
92.6% Relevancy Score
DHX9 Antibodies
92.2% Relevancy Score
GSK-3 beta Antibodies
89.6% Relevancy Score
PKR Antibodies
87.3% Relevancy Score
SAMHD1 Antibodies
86.4% Relevancy Score
Top