Primary Antibodies
Secondary Antibodies
Proteins & Peptides
ELISA Kits
About Us
Contact Us
Sign In/Register
0
ISO 9001:2015 Certified
Live Customer Support
4.5/5 on Trustpilot
100% Quality Guarantee
Home
Primary Antibodies
ADCK1 Antibodies
Anti-ADCK1 Antibody (A45939)
Anti-ADCK1 Antibody (A45939)
Overview
Specifications
Images
Enlarge Image
Enlarge Image
$430
Product Datasheet
Rabbit polyclonal antibody to ADCK1 for IHC.
100% Guarantee
Price Match Guarantee
Product Size:
100µl
Quantity:
1
2
3
4
5
6
7
8
9
10
Add To Cart
Request a Quotation
Custom or Bulk Request
Shipping Information
Freight/Packing Charges:
$40
Dispatched from St. Louis, MO.
Lead Time: 6-9 business days.
Specifications
Name
Anti-ADCK1 Antibody
Description
Rabbit polyclonal antibody to ADCK1
Specificity
The antibody detects endogenous levels of total ADCK1 protein.
Applications
IHC
Reactivity
Human
Immunogen
Fusion protein corresponding to a region derived from internal residues of human aarF domain containing kinase 1
Host
Rabbit
Clonality
Polyclonal
Conjugate
Unconjugated
Purification
Antigen affinity purification.
Concentration
1.5 mg/mL
Formulation
Supplied in PBS, pH 7.3, containing 0.05% sodium azide and 50% glycerol.
Storage
Shipped at 4°C. Upon delivery aliquot and store at -20°C. Avoid freeze/thaw cycles.
Synonyms
AarF domain-containing protein kinase 1
Suitable Secondaries
Goat Anti-Rabbit IgG H&L Antibody (AP) (A294874)
Goat Anti-Rabbit IgG H&L Antibody (Biotin) (A294795)
Goat Anti-Rabbit IgG H&L Antibody (FITC) (A294887)
Goat Anti-Rabbit IgG H&L Antibody (HRP) (A294888)
See all Anti-Rabbit IgG Secondaries →
Disclaimer
This product is for research use only. It is not intended for diagnostic or therapeutic use.
Scientific Validation Data
Validation Data
(2)
Enlarge Image
Immunohistochemistry - Anti-ADCK1 Antibody (A45939)
Immunohistochemical analysis of paraffin-embedded Human breast cancer tissue using #36048 at dilution 1/40.
Enlarge Image
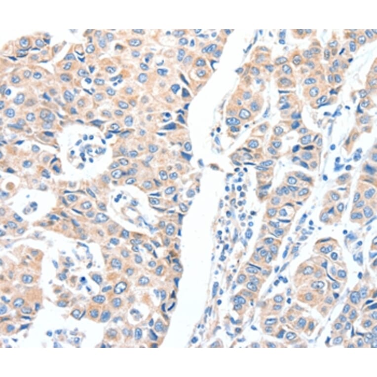
Immunohistochemistry - Anti-ADCK1 Antibody (A45939)
Immunohistochemical analysis of paraffin-embedded Human thyroid cancer tissue using #36048 at dilution 1/40.
Publishing research using Anti-ADCK1 Antibody (A45939)? Please
let us know
so that we can list the citation on this page.
Alternative products to Anti-ADCK1 Antibody (A45939)
(2)
A99185
Anti-ADCK1 Antibody
Rabbit polyclonal antibody to ADCK1 for WB, IHC, IF and ELISA.
(2)
A39636
Anti-ADCK1 Antibody
Rabbit polyclonal antibody to ADCK1 for WB and ICC/IF.
A42144
Anti-ADCK1 Antibody
Rabbit polyclonal antibody to ADCK1 for WB.
(2)
A99185
Anti-ADCK1 Antibody
Rabbit polyclonal antibody to ADCK1 for WB, IHC, IF and ELISA.
(2)
A39636
Anti-ADCK1 Antibody
Rabbit polyclonal antibody to ADCK1 for WB and ICC/IF.
A42144
Anti-ADCK1 Antibody
Rabbit polyclonal antibody to ADCK1 for WB.
Proteins predicted to interact with ADCK1
Predicted protein interactions based upon String database. Revelancy score correlates with probability of interaction.
COQ3 Antibodies
83.4% Relevancy Score
ADCK2 Antibodies
62.5% Relevancy Score
COQ9 Antibodies
61.7% Relevancy Score
MTCO1 Antibodies
55.4% Relevancy Score
NDUFV2 Antibodies
54.9% Relevancy Score
NDUFS3 Antibodies
53.5% Relevancy Score
PDSS2 Antibodies
51.9% Relevancy Score
MTCO2 Antibodies
51.8% Relevancy Score
COQ7 Antibodies
50.9% Relevancy Score
Top