ISO 9001:2015 Certified
Live Customer Support
4.5/5 on Trustpilot
100% Quality Guarantee

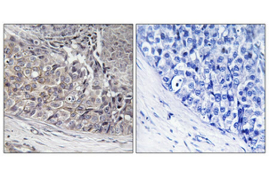
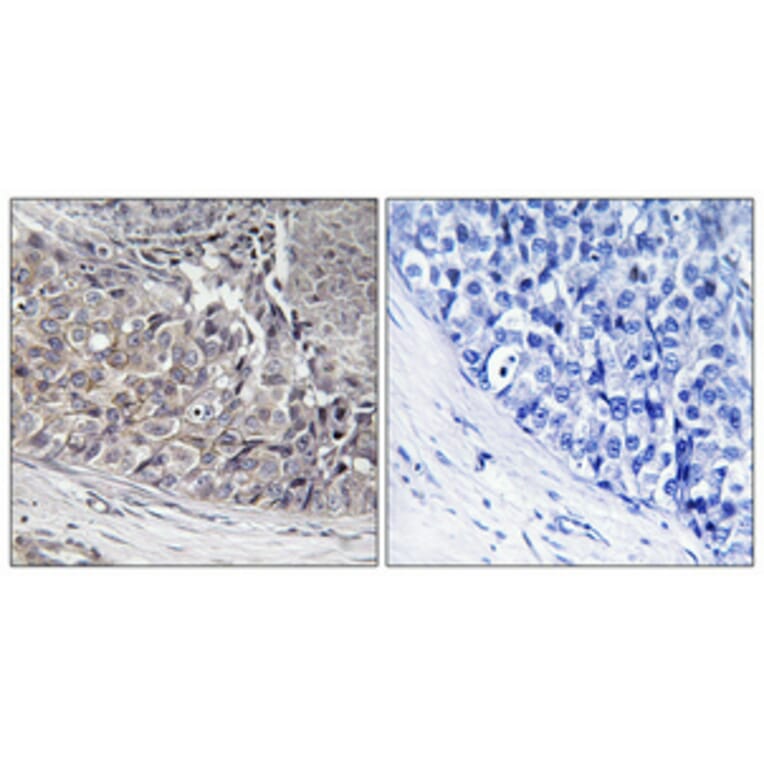
Anti-ADCK4 Antibody (A96093)

Rabbit polyclonal antibody to ADCK4 for WB, IHC, IF and ELISA.

Shipping Information

$40
Dispatched from St. Louis, MO.
Lead Time: 6-8 business days.
Name
Anti-ADCK4 Antibody
Description
Rabbit polyclonal antibody to ADCK4.
Applications
WB, IHC, IF, ELISA
Dilutions
WB: 1:500~1:1000, IF: 1:100~1:500, ELISA: 1:10000
Reactivity
Human, Mouse, Rat
Cross Reactivity
No reported cross-reactivity.
Immunogen
Synthetic peptide derived from human ADCK4 (amino acids 31-80).
Host
Rabbit
Clonality
Polyclonal
Isotype
IgG
Conjugate

Unconjugated

Purification
Purified from rabbit serum by antigen affinity chromatography using the immunizing peptide.
Molecular Weight
60kDa
Product Form
Liquid
Formulation
Supplied in Phosphate Buffered Saline (without Mg2+ and Ca2+), pH 7.4, with 150mM NaCl, 0.02% Sodium Azide, and 50% Glycerol.
Storage
Shipped at 4°C. Upon delivery aliquot and store at -20°C. Avoid freeze / thaw cycles.
Synonyms
AarF domain-containing protein kinase 4, Atypical kinase COQ8B, mitochondrial, Coenzyme Q protein 8B, COQ8B
Disclaimer
This product is for research use only. It is not intended for diagnostic or therapeutic use.
Publishing research using Anti-ADCK4 Antibody (A96093)? Please let us know so that we can list the citation on this page.

Alternative products to Anti-ADCK4 Antibody (A96093)

Proteins predicted to interact with ADCK4

Predicted protein interactions based upon String database. Revelancy score correlates with probability of interaction.
96% Relevancy Score
94.7% Relevancy Score
90.1% Relevancy Score
86.1% Relevancy Score
72.6% Relevancy Score
71.6% Relevancy Score
62.6% Relevancy Score
61.4% Relevancy Score
58.2% Relevancy Score