Primary Antibodies
Secondary Antibodies
Proteins & Peptides
ELISA Kits
About Us
Contact Us
Sign In/Register
0
ISO 9001:2015 Certified
Live Customer Support
4.5/5 on Trustpilot
100% Quality Guarantee
Home
Primary Antibodies
Adenylate Cyclase 1 Antibodies
Anti-ADCY1 Antibody (A38025)
Anti-ADCY1 Antibody (A38025)
Overview
Specifications
Images
Enlarge Image
Enlarge Image
$430
Product Datasheet
Rabbit polyclonal antibody to ADCY1 for WB and IHC.
100% Guarantee
Price Match Guarantee
Product Size:
100µl
Quantity:
1
2
3
4
5
6
7
8
9
10
Add To Cart
Request a Quotation
Custom or Bulk Request
Shipping Information
Freight/Packing Charges:
$40
Dispatched from St. Louis, MO.
Lead Time: 6-9 business days.
Specifications
Name
Anti-ADCY1 Antibody
Description
Rabbit polyclonal antibody to ADCY1
Specificity
The antibody detects endogenous levels of total ADCY1 protein.
Applications
WB
,
IHC
Reactivity
Human
Immunogen
Synthetic peptide corresponding to a region derived from internal residues of human adenylate cyclase 1 (brain)
Host
Rabbit
Clonality
Polyclonal
Conjugate
Unconjugated
Purification
Antigen affinity purification.
Concentration
2.4 mg/mL
Formulation
Supplied in PBS, pH 7.3, containing 0.05% sodium azide and 50% glycerol.
Storage
Shipped at 4°C. Upon delivery aliquot and store at -20°C. Avoid freeze/thaw cycles.
Synonyms
Adenylate cyclase type 1, Adenylate cyclase type I, Adenylyl cyclase 1, ATP pyrophosphate-lyase 1, Ca(2+)/calmodulin-activated adenylyl cyclase
Suitable Secondaries
Goat Anti-Rabbit IgG H&L Antibody (AP) (A294874)
Goat Anti-Rabbit IgG H&L Antibody (Biotin) (A294795)
Goat Anti-Rabbit IgG H&L Antibody (FITC) (A294887)
Goat Anti-Rabbit IgG H&L Antibody (HRP) (A294888)
See all Anti-Rabbit IgG Secondaries →
Disclaimer
This product is for research use only. It is not intended for diagnostic or therapeutic use.
Scientific Validation Data
Validation Data
(2)
Enlarge Image
Anti-ADCY1 Antibody (A38025)
Gel: 8% SDS-PAGE Lysate: 40ug 293T cell Primary antibody: 1/1000 dilution Secondary antibody dilution: 1/8000 Exposure time: 10 minutes
Enlarge Image
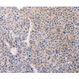
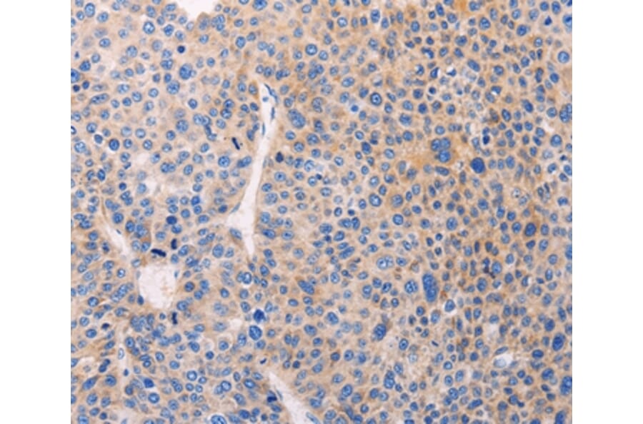
Immunohistochemistry - Anti-ADCY1 Antibody (A38025)
Immunohistochemical analysis of paraffin-embedded Human liver cancer tissue using #37317 at dilution 1/60.
Publishing research using Anti-ADCY1 Antibody (A38025)? Please
let us know
so that we can list the citation on this page.
Alternative products to Anti-ADCY1 Antibody (A38025)
(3)
A99184
Anti-ADCY1 Antibody
Rabbit polyclonal antibody to ADCY1 for WB, IHC, IF and ELISA.
A52727
Anti-Adenylate cyclase 1 Antibody
Rabbit polyclonal antibody to Adenylate cyclase 1 for ELISA, IP and WB.
A42188
Anti-ADCY1 Antibody
Rabbit polyclonal antibody to ADCY1 for WB.
(3)
A99184
Anti-ADCY1 Antibody
Rabbit polyclonal antibody to ADCY1 for WB, IHC, IF and ELISA.
A52727
Anti-Adenylate cyclase 1 Antibody
Rabbit polyclonal antibody to Adenylate cyclase 1 for ELISA, IP and WB.
A42188
Anti-ADCY1 Antibody
Rabbit polyclonal antibody to ADCY1 for WB.
Proteins predicted to interact with Adenylate Cyclase 1
Predicted protein interactions based upon String database. Revelancy score correlates with probability of interaction.
G Protein alpha S Antibodies
97.9% Relevancy Score
GNAS Antibodies
97.9% Relevancy Score
CALML5 Antibodies
97.6% Relevancy Score
CALML6 Antibodies
97.5% Relevancy Score
PRKACG Antibodies
96.3% Relevancy Score
EPAC1 Antibodies
95.8% Relevancy Score
PRKACB Antibodies
94.9% Relevancy Score
PKA C alpha Antibodies
94.8% Relevancy Score
EPAC2 Antibodies
94.6% Relevancy Score
Top