ISO 9001:2015 Certified
Live Customer Support
4.5/5 on Trustpilot
100% Quality Guarantee

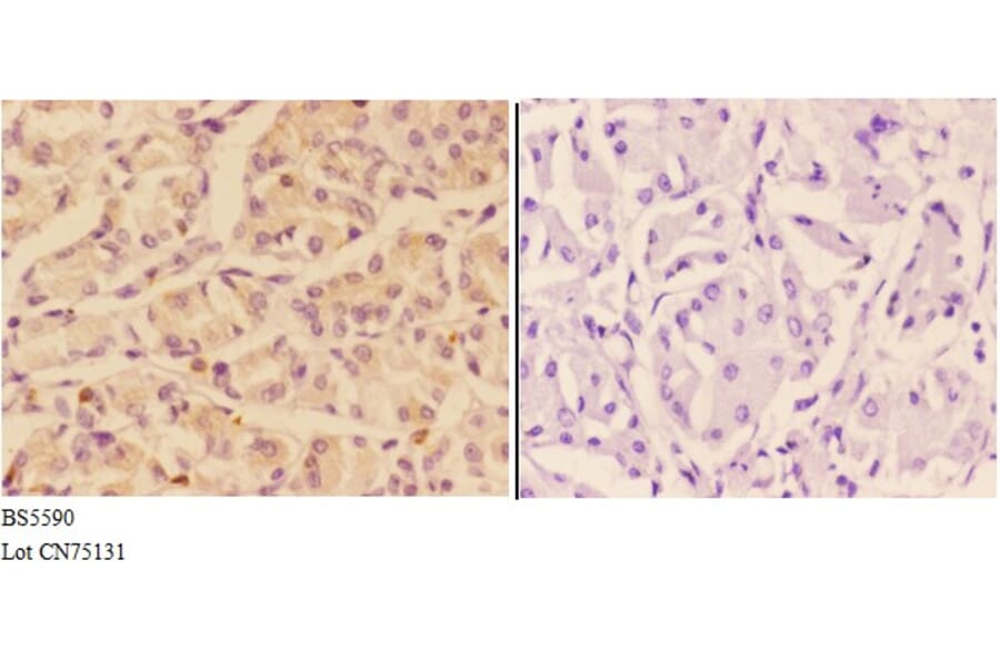
Anti-ADCY9 Antibody (A27861)

$390

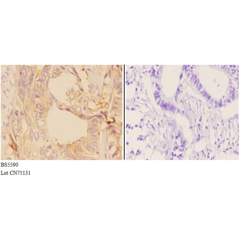
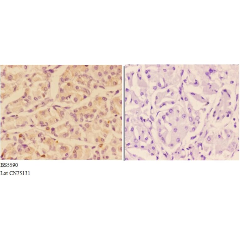
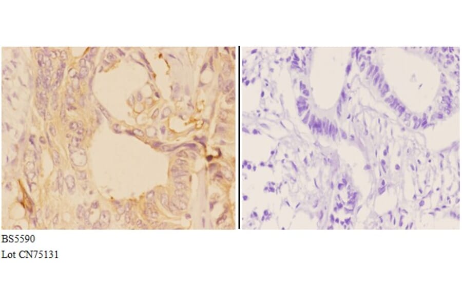
Rabbit polyclonal antibody to ADCY9 for WB and IHC.

Shipping Information

$40
Dispatched from St. Louis, MO.
Lead Time: 7-10 business days.
Name
Anti-ADCY9 Antibody
Description
Rabbit polyclonal antibody to ADCY9
Specificity
ADCY9 pAb detects endogenous levels of ADCY9 protein.
Applications
WB, IHC
Reactivity
Human, Mouse, Rat
Immunogen
A synthetic peptide corresponding to residues in Human ADCY9.
Host
Rabbit
Clonality
Polyclonal
Conjugate

Unconjugated

Molecular Weight
~ 161 kDa
Purity
The antibody was affinity-purified from rabbit antiserum by affinity-chromatography using epitope-specific immunogen and the purity is > 95% (by SDS-PAGE).
Product Form
1mg/ml in PBSwith0.1%SodiumAzide,50%Glycerol.
Synonyms
AC9, ACIX, Adenylate cyclase type 9, Adenylate cyclase type IX, Adenylyl cyclase 9, ATP pyrophosphate-lyase 9, KIAA0520
Disclaimer
This product is for research use only. It is not intended for diagnostic or therapeutic use.
Publishing research using Anti-ADCY9 Antibody (A27861)? Please let us know so that we can list the citation on this page.

Alternative products to Anti-ADCY9 Antibody (A27861)

Proteins predicted to interact with ADCY9

Predicted protein interactions based upon String database. Revelancy score correlates with probability of interaction.
98.6% Relevancy Score
98.6% Relevancy Score
98.6% Relevancy Score
95.8% Relevancy Score
95.2% Relevancy Score
95% Relevancy Score
95% Relevancy Score
94% Relevancy Score
93.5% Relevancy Score