ISO 9001:2015 Certified
Live Customer Support
4.5/5 on Trustpilot
100% Quality Guarantee

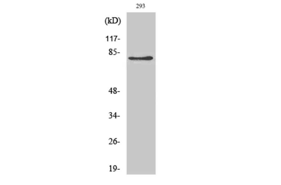
Anti-ADD2 Antibody (A96422)

Rabbit polyclonal antibody to ADD2 for WB, IF and ELISA.

Shipping Information

$40
Dispatched from St. Louis, MO.
Lead Time: 6-8 business days.
Name
Anti-ADD2 Antibody
Description
Rabbit polyclonal antibody to ADD2.
Applications
WB, IF, ELISA
Dilutions
WB: 1:500~1:1000, IF: 1:100~1:500, ELISA: 1:1000
Reactivity
Human, Mouse, Rat
Cross Reactivity
No reported cross-reactivity.
Immunogen
Synthetic peptide derived from human ADD2 (amino acids 471-520).
Host
Rabbit
Clonality
Polyclonal
Isotype
IgG
Conjugate

Unconjugated

Purification
Purified from rabbit serum by antigen affinity chromatography using the immunizing peptide.
Molecular Weight
80kDa
Product Form
Liquid
Formulation
Supplied in Phosphate Buffered Saline (without Mg2+ and Ca2+), pH 7.4, with 150mM NaCl, 0.02% Sodium Azide, and 50% Glycerol.
Storage
Shipped at 4°C. Upon delivery aliquot and store at -20°C. Avoid freeze / thaw cycles.
Synonyms
ADDB, Beta-adducin, Erythrocyte adducin subunit beta
Disclaimer
This product is for research use only. It is not intended for diagnostic or therapeutic use.
Publishing research using Anti-ADD2 Antibody (A96422)? Please let us know so that we can list the citation on this page.

Alternative products to Anti-ADD2 Antibody (A96422)

Proteins predicted to interact with Adducin 2

Predicted protein interactions based upon String database. Revelancy score correlates with probability of interaction.
99.6% Relevancy Score
99.3% Relevancy Score
99.2% Relevancy Score
96% Relevancy Score
94.8% Relevancy Score
94.4% Relevancy Score
90.2% Relevancy Score
80.6% Relevancy Score
79.9% Relevancy Score