Western Blot - Anti-Adenine Nucleotide Translocator 2/ANT 2 Antibody (A89260)
Western blot analysis of various lysates, using Anti-Adenine Nucleotide Translocator 2/ANT 2 Antibody (A89260) at 1:1,000 dilution. The secondary antibody was Goat Anti-Rabbit IgG H&L Antibody (HRP) at 1:10,000 dilution. Lysates/proteins were present at 25µg per lane. The blocking buffer used was 3% non-fat dry milk in TBST. Detection was with a ECL Basic Kit. Exposure time: 20s.
Western Blot - Anti-Adenine Nucleotide Translocator 2/ANT 2 Antibody (A89260)
Western blot analysis of various lysates, using Anti-Adenine Nucleotide Translocator 2/ANT 2 Antibody (A89260) at 1:1,000 dilution. The secondary antibody was Goat Anti-Rabbit IgG H&L Antibody (HRP) at 1:10,000 dilution. Lysates/proteins were present at 25µg per lane. The blocking buffer used was 3% non-fat dry milk in TBST. Detection was with a ECL Basic Kit. Exposure time: 60s.
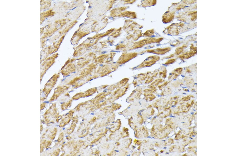
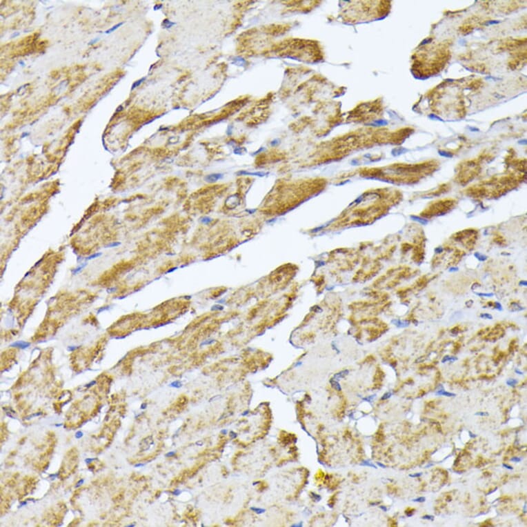
Immunohistochemistry analysis of paraffin-embedded rat heart using Anti-Adenine Nucleotide Translocator 2/ANT 2 Antibody (A89260) at a dilution of 1:100 (40x lens). Perform microwave antigen retrieval with 10 mM PBS buffer pH 7.2 before commencing with IHC staining protocol.
Immunohistochemistry analysis of paraffin-embedded mouse heart using Anti-Adenine Nucleotide Translocator 2/ANT 2 Antibody (A89260) at a dilution of 1:100 (40x lens). Perform microwave antigen retrieval with 10 mM PBS buffer pH 7.2 before commencing with IHC staining protocol.
Immunofluorescence analysis of HeLa cells using Anti-Adenine Nucleotide Translocator 2/ANT 2 Antibody (A89260) at a dilution of 1:100 (40x lens). DAPI was used to stain the cell nuclei (blue).
Publishing research using Anti-Adenine Nucleotide Translocator 2/ANT 2 Antibody (A89260)? Please let us know so that we can list the citation on this page.