Adenosine A2b Receptor/ADORA2B expression in A431 cells analyzed by immunofluorescence. Cells were permeabilized with 0.15% Triton. Staining was performed with Anti-Adenosine A2b Receptor/ADORA2B Antibody (A84130) at 10µg/ml for 1 hour and Alexa Fluor 488 secondary antibody at 2µg/ml. Cytoplasmic staining shown and nuclei were stained with DAPI (blue). Negative control: Goat IgG Isotype Control at 10µg/ml followed by Alexa Fluor 488 secondary antibody at 2µg/ml.
Adenosine A2b Receptor/ADORA2B expression in U2OS cells analyzed by immunofluorescence. Cells were permeabilized with 0.15% Triton. Staining was performed with Anti-Adenosine A2b Receptor/ADORA2B Antibody (A84130) at 10µg/ml for 1 hour and Alexa Fluor 488 secondary antibody at 2µg/ml. Cytoplasmic staining shown and nuclei were stained with DAPI (blue). Negative control: Goat IgG Isotype Control at 10µg/ml followed by Alexa Fluor 488 secondary antibody at 2µg/ml.
Adenosine A2b Receptor/ADORA2B expression in Kelly cells (blue line) analyzed by flow cytometry. Cells were fixed in PFA and permeabilized with 0.5% Triton. Staining was performed with Anti-Adenosine A2b Receptor/ADORA2B Antibody (A84130) at 10µg/ml for 1 hour and Alexa Fluor 488 secondary antibody at 2µg/ml. Negative Control: Goat IgG Isotype Control (black line) followed by Alexa Fluor 488 secondary antibody.
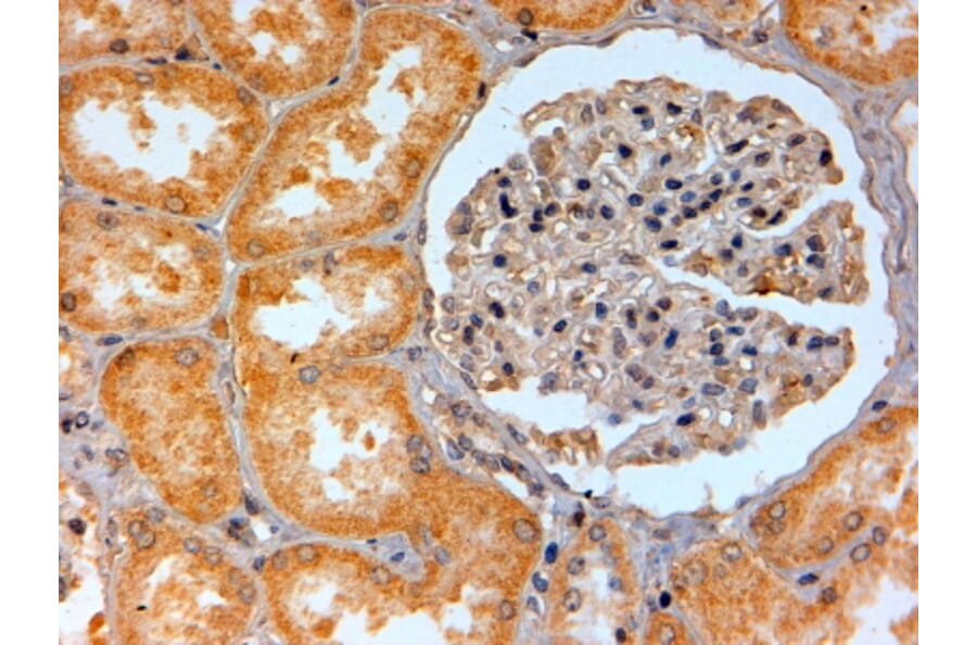
Adenosine A2b Receptor/ADORA2B expression in Human Kidney analyzed by immunohistochemistry. Tissue was paraffin-embedded, and antigen retrieval was achieved by steaming in citrate buffer, pH 6. Staining was performed with Anti-Adenosine A2b Receptor/ADORA2B Antibody (A84130) at 2µg/ml and revealed with horseradish peroxidase (HRP).
Publishing research using Anti-Adenosine A2b Receptor/ADORA2B Antibody (A84130)? Please let us know so that we can list the citation on this page.