Primary Antibodies
Secondary Antibodies
Proteins & Peptides
ELISA Kits
About Us
Contact Us
Sign In/Register
0
ISO 9001:2015 Certified
Live Customer Support
4.5/5 on Trustpilot
100% Quality Guarantee
Home
Primary Antibodies
ADH4 Antibodies
Anti-ADH4 Antibody (A46742)
Anti-ADH4 Antibody (A46742)
Overview
Specifications
Images
Enlarge Image
Enlarge Image
$430
Product Datasheet
Rabbit polyclonal antibody to ADH4 for IHC.
100% Guarantee
Price Match Guarantee
Product Size:
100µl
Quantity:
1
2
3
4
5
6
7
8
9
10
Add To Cart
Request a Quotation
Custom or Bulk Request
Shipping Information
Freight/Packing Charges:
$40
Dispatched from St. Louis, MO.
Lead Time: 6-9 business days.
Specifications
Name
Anti-ADH4 Antibody
Description
Rabbit polyclonal antibody to ADH4
Specificity
The antibody detects endogenous levels of total ADH4 protein.
Applications
IHC
Reactivity
Human
Immunogen
Fusion protein corresponding to residues near the C terminal of human alcohol dehydrogenase 4 (class II), pi polypeptide
Host
Rabbit
Clonality
Polyclonal
Conjugate
Unconjugated
Purification
Antigen affinity purification.
Concentration
0.9 mg/mL
Formulation
Supplied in PBS, pH 7.3, containing 0.05% sodium azide and 50% glycerol.
Storage
Shipped at 4°C. Upon delivery aliquot and store at -20°C. Avoid freeze/thaw cycles.
Synonyms
ADH2, Alcohol dehydrogenase 2, Alcohol dehydrogenase 4, Alcohol dehydrogenase class II pi chain, All-trans-retinol dehydrogenase [NAD(+)] ADH4
Suitable Secondaries
Goat Anti-Rabbit IgG H&L Antibody (AP) (A294874)
Goat Anti-Rabbit IgG H&L Antibody (Biotin) (A294795)
Goat Anti-Rabbit IgG H&L Antibody (FITC) (A294887)
Goat Anti-Rabbit IgG H&L Antibody (HRP) (A294888)
See all Anti-Rabbit IgG Secondaries →
Disclaimer
This product is for research use only. It is not intended for diagnostic or therapeutic use.
Scientific Validation Data
Validation Data
(2)
Enlarge Image
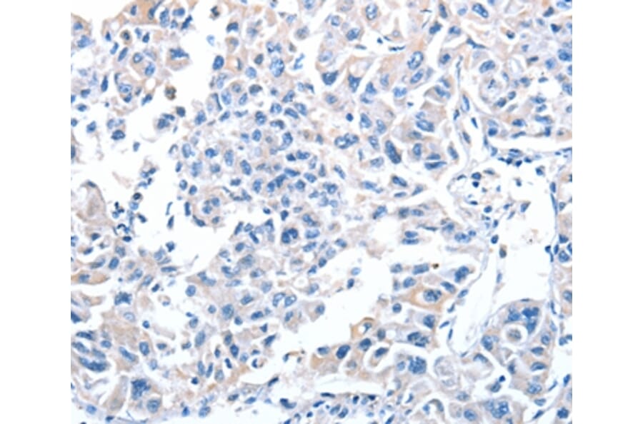
Immunohistochemistry - Anti-ADH4 Antibody (A46742)
Immunohistochemical analysis of paraffin-embedded Human thyroid cancer tissue using #36052 at dilution 1/25.
Enlarge Image
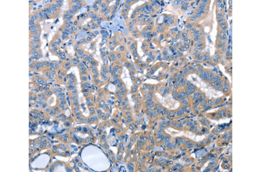
Immunohistochemistry - Anti-ADH4 Antibody (A46742)
Immunohistochemical analysis of paraffin-embedded Human lung cancer tissue using #36052 at dilution 1/25.
Publishing research using Anti-ADH4 Antibody (A46742)? Please
let us know
so that we can list the citation on this page.
Alternative products to Anti-ADH4 Antibody (A46742)
A344343
Anti-ADH4 Antibody [24GB5120]
Recombinant rabbit monoclonal [24GB5120] antibody to ADH4 for WB, Flow Cytometry and ICC/IF.
A14772
Anti-ADH4 Antibody
Rabbit polyclonal antibody to ADH4 for WB.
A344343
Anti-ADH4 Antibody [24GB5120]
Recombinant rabbit monoclonal [24GB5120] antibody to ADH4 for WB, Flow Cytometry and ICC/IF.
A14772
Anti-ADH4 Antibody
Rabbit polyclonal antibody to ADH4 for WB.
Proteins predicted to interact with ADH4
Predicted protein interactions based upon String database. Revelancy score correlates with probability of interaction.
ALDH2 Antibodies
97.9% Relevancy Score
CYP2E1 Antibodies
96.1% Relevancy Score
ALDH1A1 Antibodies
94.9% Relevancy Score
Vasopressin Antibodies
94.7% Relevancy Score
Aldehyde Oxidase Antibodies
93.7% Relevancy Score
CYP26A1 Antibodies
93.3% Relevancy Score
MAOA Antibodies
92.5% Relevancy Score
MAOB Antibodies
91.9% Relevancy Score
LRAT Antibodies
91.7% Relevancy Score
Top